El accidente cerebrovascular sigue siendo uno de las principales causas de muerte y la principal causa de discapacidad a largo plazo en la mayoría de los países. El accidente cerebrovascular es generalmente el resultado de un émbolo o trombo liberado de una placa ateromatosa carotidea, o más raramente debido a los cambios hemodinámicos derivados de la considerable contracción de la luz carótidas. El ateroma carotideo calcificado (CCA) se compone de una placa calcificada compuesta de colesterol y grasa en la arteria carótida, y los factores de riesgo conocidos incluyen la diabetes mellitus, la hipertensión, la hiperlipidemia, la obesidad y el tabaquismo.
Aunque el derrame cerebral se puede evitar, un reto importante es descubrir métodos eficientes para detectar la presencia de ateromas carotideos en pacientes que tienen factores de riesgo. La mayoría de los accidentes cerebrovasculares no cardiogénicos ocurren como resultado de las placas de ateroma en la arteria carótida interna, la calcificación de los cuales se pueden detectar en la radiografía panorámica (PR). En los estudios de Cohen y colaboradores dan mucho énfasis a la radiografía panorámica como una herramienta utilizada como marcador para el diagnóstico de ateromas e importante también para seguir los eventos vasculares; estos autores recomendaron que los pacientes a quienes se les encontraba un CCA debe ser referidos al médico competente para una evaluación cerebrovascular y evaluación cardiovascular.
En una rutina mediante radiografía panorámica, la CCA puede ser detectada principalmente por el profesional especialista en radiología. Casi el 5% de las radiografías de pacientes mayores de 30 años muestran CCA. Esta calcificación puede aparecer en la forma nodular, o una radio opacidad vertical y lineal en la parte inferior a la mandíbula a nivel del ángulo, adyacente a la unión intervertebral C3-C4. Sin embargo, la radiografía panorámica se limita al diagnóstico del ateroma y no puede identificar su ubicación exacta o el grado de obstrucción que causa en la arteria carótida. Un mejor diagnóstico puede hacerse por medio de la ecografía doppler, como técnica no invasiva y relativamente barata.
Muchos estudios indican la utilidad y la eficacia de la PR para la identificación de pacientes con accidente cerebrovascular en relación con enfermedades sistémicas; junto a las radiografías cervicales, o el análisis de la ecografía, brindan información valiosa para el clínico.
Casi todos los pacientes en odontología son sometidos a una radiografía panorámica (PR) como parte de sus exámenes dentales de rutina y tratamiento, y esta técnica puede ser utilizado como un método de diagnóstico inicial en la búsqueda de ateromas en la arteria carótida (CCA), los dentistas deben ser conscientes que el ateroma es una de las principales causas del accidente cerebrovascular, sobre todo en pacientes de edad avanzada que presenten también factores de riesgo como la obesidad, la diabetes mellitus, la hipertensión y el tabaquismo. El diagnóstico precoz de un ateroma, especialmente en pacientes hipertensos, podría potencialmente aumentar la duración y la calidad de vida de los individuos. Por todo lo mencionado anteriormente es importante el conocimiento de esta patología con lo que podríamos potencialmente disminuir la morbilidad y mortalidad en la población.
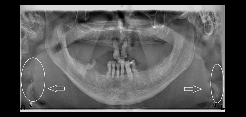
Fig. 1. Radiografía panorámica de un paciente de 76 años de edad. Se evidencia múltiples radiopacidades bilaterales compatibles con probables ateromas dentro de la arteria carótida (círculos blancos).
Fig. 2. Radiografía panorámica de un paciente de 56 años de edad. Se evidencia una imagen radiopaca unilateral derecha, por debajo del ángulo mandibular, compatibles con probable ateroma dentro de la arteria carótida (círculos blancos).
Fig. 3. imagen de una ecografía Doppler de un paciente de 76 años de edad. Se evidencia la presencia de un ateroma carotideo.
REFERENCIA:
Atalay Y, Asutay F, Serkan K, Koparal M, Adali F. Evaluation of calcified carotid atheroma on panoramic radiographs and Doppler ultrasonography in an older population. Clinical Interventions in Aging 2015:10 1121–1129.
Elaborado por : C.D. Luis Alberto Cueva Principe, Mg. Esp. C.D. Andrés Agurto Huerta





