Los tumores de los nervios periféricos más comunes son los schwannomas benignos y losneurofibromas. Uno de los sitios más comunes de schwannomas es la cabeza y región del cuello, pero estos tumores rara vez se observa en la región extracraneal. Entre los schwannomas extracraneales, las lesiones en la vaina carotídea son comunes; sin embargo, los schwannomas en otros sitios son extremadamente raros. Los neurofibromas, que puede ocurrir en todo el cuerpo, ya sea como resultado de la neurofibromatosis o (raramente) como una lesión aislada, también se sabe que surgen en la cabeza y el cuello. Los neurofibromas en la región de la articulación temporomandibular (ATM) son extremadamente raros y en la literatura apenas se informan sobre el neurofibroma en el disco articular de la ATM, acompañado de la enfermedad de von Recklinghausen neurofibromatosis (Tipo 1).
Los schwannomas con cambios quísticos también se han reportado, por lo que los radiólogos deben considerar al schwannoma en base a su conocimiento de la anatomía y las características físicas de los nervios cercanos a la lesión bien definida: una, masa de tipo circular con una pared reforzada y componentes quísticos sin invasión de la masa en los tejidos adyacentes.
El exámen por imagen en el cual mejor se evidencia las estructuras blandas sin duda es la resonancia magnética y son precisamente en éstas imágenes en las que se observan mejor los hallazgos de los tumores neurogénicos. En la resonancia las lesiones se muestran como masas isointensas homogeneas. Los resultados para hacer el diagnóstico de neurofibroma mediante resonancia es controversial. Las señales de la lesión pueden varias, el patrón bifásico puede estar ausente y la masa puede mostrar una señal totalmente homogénea e hiperintensa en T2 SOF (Figura 3a, b). Un examen histopatológico definitivamente revela la lesión tumoral definitiva.
La ecografía también es un examen auxiliar que nos puede mostrar detalles de estas lesiones. Las imágenes normalmente muestran una lesión bien definida, ovoide o masa redonda, hipoecoica, principalmente homogénea sólida con o sin refuerzo acústico posterior moderado. La identificación de una lesión en la entrada de un nervio es patognomónica para un tumor de vaina nerviosa periférica y el nervio inmediatamente adyacente a los tumores neurogénicos puede espesarse y tienen pérdida de anisotropía, produciendo así un aspecto afilado a los tumores ovales.
Los schwannomas son tumores altamente vasculares con una gran cantidad de flujo de sangre que puede ser fácilmente borrado con una ligera presión de una sonda. También es importante señalar que la Ecografía Doppler con compresión podría resultar valiosa para diferenciar schwannomas de neurofibromas.
Los tumores neurogénicos como los schwannomas o los neurofibromas son lesiones patológicas muy raras, pero pueden presentarse en la región de cabeza y cuello, el paciente es consciente de la enfermedad cuando ésta se manifiesta con alguna sintomatología o aumento de volumen en un área en específico. Los exámenes auxiliares de imágenes como la tomografía computarizada (TC), la resonancia magnética (RM) y la ecografía son herramientas valiosas en las que se puede visualizar. Por tanto es importante el conocimiento adecuado de las características de estos tumores en cada examen realizado para poder acercarnos a al diagnóstico imagenológico.
Figura 1. Paciente masculino de 62 años de edad, se había dado cuenta de una inflamación indolora en el piso izquierda de su cavidad oral hace 1 mes. El diagnóstico histopatológico fue un schwannoma. (a) La masa de aislamiento en el piso bucal izquierda era ovalada, bien circunscrito y heterogéneo con baja captación de contraste e la tomografía computarizada (aproximadamente 14 HU). En la resonancia magnética (RM) (b) T1 ponderado imágenes (T1 SIO) mostraron isointensidad homogénea. (c) T2 imágenes ponderadas (T2 SIO) mostró periféricamente alta intensidad y centralmente intensidad relativamente baja, mientras que mostró gadolinio T1 SOF se mostró el ” signo de destino” (d). Lobulación se ve en la figura (c) y (d). (e) Las imágenes de una ecografía Doppler de potencia por el abordaje intraoral demostraron vascularización moderada de la lesión.
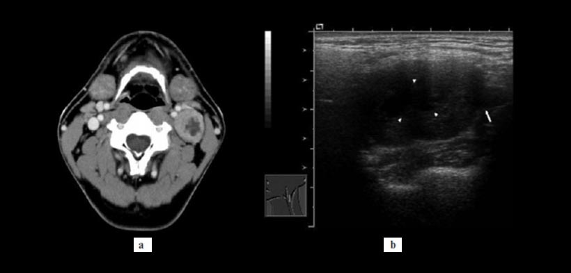
Figura 2. Paciente de sexo masculino de 41 años de edad, se había dado cuenta de una inflamación indolora en su región cervical superior izquierda hace aproximadamente 1 mes. El examen histopatológico indicó que el tumor era un schwannoma. Se osbervaron cambios quísticos, las Imágenes de la TC con contraste reveló una lesión de masa en forma redonda en la vaina carotídea izquierda con límites bien definidos y una zona homogénea de baja densidad más o menos en el centro de la masa. (a) El valor de la TC para la región central de la masa fue de aproximadamente 20 UH y de la periferia fue de 77 UH. (b) La ecografía mostró una masa que era ovoide, hipoecoica y sobre todo homogéneo con un eco interno ligero, pero no tenía región ecogénico en el centro (puntas de flecha). Imágenes Doppler de potencia no revelaron vascularización interna.
Figura 3. Paciente femenino de 37 años de edad, se dio cuenta de la hinchazón al abrir la boca en su región temporomandibular izquierda. No se observó limitación de la apertura bucal (42 mm de máxima apertura interincisal). Un examen histopatológico indicó que el tumor era un (a) Imágenes de resonancia magnética (RM) T1 demostraron una lesión bien circunscrita ovalada de masas que fue homogénea y isointensas al músculo delante de la articulación temporomandibular derecha. (b) T2 imágenes ponderadas mostraron la lesión es homogénea e hiperintensa. (c) las imágenes de ecografía mostraron una lesión bien definida, ovoide, hipoecoica y principalmente homogénea, pero con un ligero eco interno, lesión de masa con realce acústico posterior.
REFERENCIA:
Kami YK, Chikui T, Okamura K, Kubota T, Oobu K, Yabuuchi H, et al. Imaging findings of neurogenic tumours in the head and neck región. Dentomaxillofacial Radiology. 2012; 41: 18–23.
Elaborado por : C.D. Luis Alberto Cueva Principe, Mg. Esp. C.D. Andrés Agurto Huerta





