041 – Planificación y Tratamiento en Rehabilitación Oral con Prótesis sobre Implantes usando Análisis Cefalométrico

Indice del articulo

En los pacientes desdentados, que requieren una prótesis completa ya sea convencional o implanto soportada, los dientes artificiales se colocan en la prótesis completa por los ajustes que se realizan en los rodetes de cera y se trata de conseguir la disposición ideal de los dientes con el fin de lograr la estética y la armonía funcional. Sin embargo, existen  casos en los cuales algunos pacientes presentan algunas piezas dentarias, sobre todo en el sector anterosuperior, que tienen mala posición y que necesitan ser extraídas para seguir la rehabilitación con la colocación de una prótesis inmediata; en estos casos  es imposible utilizar los métodos convencionales de confeccionar rodetes  debido a la presencia de estos dientes en el arco.

Teniendo en cuenta lo anterior,  el planeamiento y tratamiento de pacientes edéntulos o parciamente desdentados puede ser realizado mediante el uso de la cefalometría para guiar el posicionamiento de los dientes en las prótesis totales. Steiner, en sus estudios cefalométricos, determina las mediciones estándar del ángulo formado por la intersección del eje largo del incisivo central superior (1 /) con línea  NA (del punto de la sutura frontonasal o Nasion hasta el punto más profundo del contorno anterior del maxilar conocido como punto A) y la distancia lineal de la punta de la corona del incisivo central maxilar hasta la línea de NA. Este análisis expresa la relación anteroposterior del incisivo central maxilar en relación a la línea  NA. Por lo tanto, en una planificación protésica en los pacientes, las mediciones que se realicen (en grados y mm) deben estar en el promedio de normalidad, lo cual indica donde  se debe colocar el incisivo central artificial. Además, la distancia desde el borde incisal al plano oclusal debe ser igual a cero, con todos estos parámetros ya tenemos la posición vertical del diente. A partir de entonces, la disposición de los otros dientes se guiará por la nueva posición de este incisivo central superior.

Con altas tasas de éxito tanto en la colocación de los implantes osteointegratables inmediatamente después de la extracción del diente, y en la aplicación de la carga inmediata, el uso de nuevos protocolos quirúrgicos y protésicos han permitido la simplificación y la rápida colocación de prótesis dental. Para la fabricación de una prótesis completa implantosoportada inmediata, algunos autores han descrito la fabricación de una subestructura metálica, pero esto depende de las etapas de laboratorio para la fundición, el montaje, la polimerización, el acabado y el pulido de las prótesis dentales, aumentando el tiempo de trabajo. Teniendo esto en cuenta, los dispositivos prefabricados se han desarrollado y que permitirá eliminar las etapas de laboratorio, lo que resulta en la fabricación y la conclusión de la dentadura tan pronto como la colocación del implante.

Borges, et al. realizaron un reporte de caso que muestra e uso de la cefalometría de Steiner en la planificación de una prótesis completa inmediata implantosoportada, se muestra en las figuras 1, 2 3 y 4.

La planificación y el tratamiento de los pacientes que necesitan extracciones dentales y la colocación de una prótesis  inmediata,  se facilitan con el uso del análisis cefalométrico de Steiner, permitiendo así que las prótesis se fabriquen con una base científica, y proporcionar una mejor satisfacción funcional y estética del paciente.

Fig. 1. Planificación pre protésica en un paciente que requiere la extracción de los dientes maxilares para la colocación de implantes junto a una prótesis inmediata. (A) cefalometría de Steiner. (B) Vista lateral de la nueva posición del incisivo central superior. (C) Vista oclusal de la nueva posición del incisivo central superior.

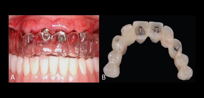
Fig. 2. (A) Matriz de acetato fabricado a partir del encerado diagnóstico para la fabricación de la dentadura temporal después de la colocación de implantes. (B) Vista oclusal de la dentadura temporal maxilar con los pilares fijos.

Fig. 3. A) Pilares tipo UCLA personalizados con una adecuada posición guiada por la cefalometría; (B) vista oclusal de la infraestructura de metal; (C) Realización de soldadura intraoral.

Fig. 4. (A) Fotografía inicial de la paciente; (B) Vista frontal luego de la realización de la prótesis inmediata guiada por la cefalometría; (C) Sonrisa de la paciente al inicio del tratamiento; (D) Sonrisa de la paciente al final del tratamiento.

REFERENCIA:

BORGES A, REGO M, CORRÊA A, TORRES M, TELLES D, SANTIAGO L. Planning and treatment in oral rehabilitation with implant-supported prostheses using cephalometric analysis. RGO: Revista Gaúcha De Odontologia. 2015; 62(2): 179-184.

Elaborado por : C.D. Luis Alberto Cueva Principe, Mg. Esp. C.D. Andrés Agurto Huerta.

Picture of C.D. Luis Alberto Cueva
C.D. Luis Alberto Cueva
Cirujano Dentista titulado de la Universidad Particular de San Martín de Porras. Miembro del Staff del Instituto de Diagnóstico Maxilofacial (IDM). Miembro del Colegio Odontológico del Perú. Cirujano Dentista en el Ministerio de Salud (MINSA). Autor del Artículo Científico en Colonización Microbiana de la cavidad bucal en Neonatos nacidos en el Instituto Nacional materno Perinatal, así como los factores que la condicionan. Rev. Peru. Investig. Matern. Perinatal. 2014; 3 (1): 8-12. Idioma Portugués cursado en el Centro Cultural Brasil - Perú CCBP.

Casos relacionados

Deja una respuesta

Tu dirección de correo electrónico no será publicada. Los campos obligatorios están marcados con *