042 – Diferenciación de lesiones Benignas y Malignas de la lengua mediante Resonancia Magnética

Indice del articulo

Una diferenciación temprana y precisa de los tumores malignos de la lengua a partir de las lesiones benignas es fundamental para la planificación del tratamiento y el pronóstico de la lesión. Ya que la ubicación de la lengua es superficial, la biopsia patológica es el procedimiento que se utiliza comúnmente para el diagnóstico definitivo pre-operatorio cuando se tiene una lesión. Sin embargo, la biopsia es invasiva, y los resultados no son siempre concluyentes puesto a que el procedimiento puede de alguna manera cambiar el comportamiento de la lesión, por lo cual se requiere un tratamiento casi inmediato a su ejecución.

Actualmente las imágenes pre-operatorias juegan un papel importante en la selección del tratamiento y la planificación quirúrgica de tumoraciones de la región de cabeza y cuello. La tomografía computarizada (TC) y la resonancia magnética (RM) convencional se utilizan para localizar lesiones tumorales linguales y delimitar su extensión. Sin embargo, el diagnóstico preciso y realizar la diferenciación maligna de patologías benignas es algo difícil de realizar debido a los hallazgos de imágenes inespecíficas.

Recientemente, la difusión ponderada en la resonancia magnética MRI (DWI) se ha introducido para encontrar diferenciación de las tumoraciones de la región de cabeza y cuello es una técnica relativamente nueva que representa la difusión molecular, que es el movimiento aleatorio de los protones del agua presentes en los tejidos biológicos. El movimiento aleatorio, clásicamente llamado movimiento browniano, se ve afectada por el embalaje celular, elementos intracelulares, membranas celulares y macromoléculas presentes en varios +compartimentos de tejido. El grado de difusión molecular se puede cuantificar en términos del coeficiente de difusión aparente (ADC). Los valores de ADC reflejan la microestructura o estado fisiopatológico de un cuerpo por ejemplo el de un papel y se correlacionan inversamente con la celularidad del tejido. Algunos estudios informaron que la aplicación de la DWI con el cálculo del ADC es eficaz para la diferenciación entre las lesiones tumorales benignas de cabeza y cuello con aquellas lesiones malignas.

Sin embargo, la mayoría de los estudios utilizaron la fuerza del campo de 1.5-T. Sin embargo, se informó que los valores cuantitativos de ADC obtenidos en la secuencia 1.5 T pueden no ser transferibles a una secuencia 3.0 T. Cheng, et al realizaron un estudio con el objetivo evaluar los valores obtenidos de las ADCs calculados a partir de la DWI para distinguir entre lesiones benignas y malignas de la lengua en, las imágenes evaluadas fueron de un campo de 3.0-T. El estudio concluyó que la DWI es útil para diferenciar lesiones benignas de los tumores malignos de la lengua en la secuencia 3.0 T. Los valores de ADC son más bajos en los tumores malignos que en las lesiones benignas de la lengua. Un valor ADC de ≤1.31×10-3mm2s-1 se puede utilizar para predecir tumores malignos de la lengua.

Es importante el conocimiento de las técnicas de imágenes para evaluar lesiones benignas y malignas de la región de cabeza y cuello, en este caso lesiones que se encuentran en la lengua. Se puede notar que van apareciendo nuevos sistemas de imágenes como la difusión ponderada de la resonancia magnética que permite hacer diferenciación de las lesiones benignas con lesiones malignas de la lengua.

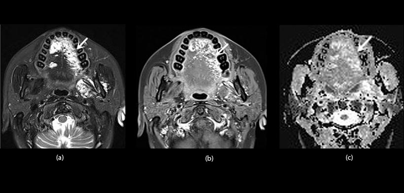
Fig. 1. Paciente varón de 55 años de edad con diagnóstico de carcinoma de células escamosas. (a) vista axial T2, imagen ponderada con supresión de grasa muestra una masa homogénea hiperintensa (flecha) en la parte lateral derecha de la lengua, que se extiende a través de la línea media, (b) Imagen con mayor contraste, vista axial de RM ponderada en T1 con supresión grasa demuestra realce heterogéneo (flecha). (c) coeficiente de difusión aparente (ADC), revela una masa hipointensa (flecha). El valor ADC es 1.17x103mm2s-1.

Fig. 2. Paciente femenino de 43 años de edad con una malformación vascular en la lengua. (a) vista axial en T, imagen ponderada con supresión de grasa muestra múltiples lesiones heterogéneamente hiperintensas (flecha) en el dorso de la lengua. (b) Imagen con mayor contraste, vista axial de RM ponderada en T1 con supresión grasa demuestra realce heterogéneo (flecha). (c) coeficiente de difusión aparente (ADC) revela heterogéneamente lesiones hiperintensas (flecha). El valor ADC es 1.51x103mm2s-1.

Fig. 3. Paciente varón de 17 años de edad con un quiste en la base de lengua. (a) vista axial en T2, imagen ponderada con supresión de grasa muestra una lesión hiperintensa homogénea (flecha) en la raíz de la lengua. (b) una mayor contraste de imagen de RM, vista axial en T1, imagen ponderada demuestra heterogéneamente realce periférico (flecha). (c) coeficiente de difusión aparente (ADC) revela una lesión hiperintensa (flecha). El valor ADC es 2.17x103mm2s-1.

REFERENCIA:

S Li, J Cheng, Y Zhang and Z Zhang. Differentiation of benign and malignant lesions of the tongue by using diffusion-weighted MRI at 3.0. Dentomaxillofacial Radiology. 2015; 44(6): 20140325

Elaborado por : C.D. Luis Alberto Cueva Principe, Mg. Esp. C.D. Andrés Agurto Huerta.

Picture of C.D. Luis Alberto Cueva
C.D. Luis Alberto Cueva
Cirujano Dentista titulado de la Universidad Particular de San Martín de Porras. Miembro del Staff del Instituto de Diagnóstico Maxilofacial (IDM). Miembro del Colegio Odontológico del Perú. Cirujano Dentista en el Ministerio de Salud (MINSA). Autor del Artículo Científico en Colonización Microbiana de la cavidad bucal en Neonatos nacidos en el Instituto Nacional materno Perinatal, así como los factores que la condicionan. Rev. Peru. Investig. Matern. Perinatal. 2014; 3 (1): 8-12. Idioma Portugués cursado en el Centro Cultural Brasil - Perú CCBP.

Casos relacionados

Deja una respuesta

Tu dirección de correo electrónico no será publicada. Los campos obligatorios están marcados con *