Paciente femenino de 63 años de edad es referido al Instituto de Diagnostico maxilofacial (IDM) por un aumento de volumen en la encía así como leve molestia en lado derecho del maxilar superior.
A la evaluación clínica intraoral, se observa un aumento de volumen en zona vestibular, a nivel de la pieza 17, de forma redondeada y sin alteración de la temperatura y coloración. (Figura 1)
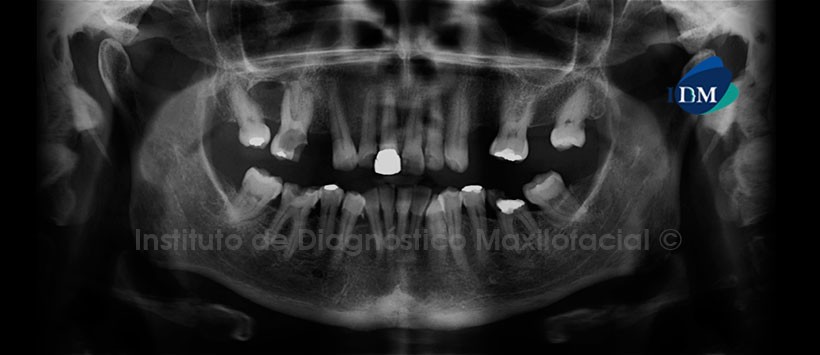
En la evaluación panorámica, se aprecian la ausencia de múltiples piezas dentarias, corona protésica en la pieza 11, lesión cariosa en las piezas 21, 22 y 46 con aparente compromiso pulpar, material de restauración en las piezas 26, 35 y 35, remanente radicular de la pieza 36 y presencia de placa dental mineralizada en zona cervical de las piezas 44 y 46. Siendo dos hallazgos lo más resaltante de esta imagen, la primera es la presencia de lesión cariosa amplia de la pieza 16 con compromiso pulpar, ocasionado la presencia de lesiones periapicales con osteítis circundante y segundo, la presencia de una imagen radiolucida en zona proximal de las piezas 16 y 18 de limites definidos parcialmente corticalizado ocasionando el borramiento de la lámina dura de ambas piezas. (Figura 2)
Posteriormente a la evaluación tomográfica, se observó en los cortes axiales que la extensión de la lesión comprometía parte de tejido óseo como tejido blando, obteniendo una medición volumétrica referencial de 5.4 mm3 (Figura 3). En los cortes transaxiales y tangenciales evidenciamos dos hallazgos de suma importancia, el primero es la perdida de tabal ósea vestibular y parte del piso de seno maxilar derecho por la lesión previamente descrita y lo segundo es la presencia de sinusitis de origen odontogénico, debido a los procesos periapicales de la pieza 16 así como el compromiso de a nivel de furca.(Figura 4 y Figura 5)
Finalmente en las reconstrucciones 3D se aprecia de manera ilustrativa lo previamente descrito así como su repercusión en las estructuras óseas y dentales adyacentes. (Figura 6 y Figura 7)
Conclusión: Ameloblastoma
Paráfrasis:
Se sabe que el ameloblastoma es un tumor de origen epitelial, que intraoralmente se observa una masa de tamaño variable, la cual da la apariencia de un ensanchamiento óseo. Esta entidad tiende a infiltrarse, apareciendo la mucosa de color normal y en algunos casos ulcerándose, comprometiendo generalmente la tabla ósea vestibular y siendo más prevalente en un 80% en el maxilar inferior y de un 15 %- 20 % en el maxilar inferior.
El presente caso resalta la localización de este tumor ya que como se menciona anteriormente, es menos frecuente que aparezca en el maxilar superior específicamente en zona vestibular de la pieza 16.
Referencia
- Ramos D. “Ameloblastoma: A case report” Odonto. Sanmarquina 2008; 11 (1). 32-34
Enlace aquí - Koh K, Park H Kim K “Desmoplastic variant of ameloblastoma of the maxilla: A case report” IMaging Sci Dent 2015; 45 (49): 241 – 245
Enlace aquí
Autor. CD Eduardo Calle Velezmoro y Mg Esp. Andrés Agurto Huerta









