Paciente femenino, 24 años de edad, es referido al Instituto de Diagnostico Maxilofacial (IDM) para evaluación por golpe en la zona ántero superior.
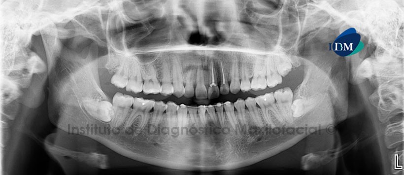
A la evaluación de la radiografía panorámica, se aprecia material de obturación de conductos en las piezas 2.1 y 2.2, en pieza 1.1 se observa espacio periodontal engrosado a nivel apical. Piezas 1.4 y 2.4 ausentes. La pieza 1.5 presenta obliteración parcial de cámara y conducto radicular. Alambre de fijación en el sector ántero inferior. (Figura 1).
A la evaluación de la tomografía volumétrica (CBCT) en cortes axiales (Figura 2), transaxiales (Figura 3) y tangenciales (Figura 4) se observa trazo de fractura que compromete de la tabla ósea vestibular a nivel de la pieza 1.1, la corona se encuentra hacia palatino y el tercio apical se ubica fuera del lecho alveolar desplazado hacia vestibular.. Así mismo se aprecia fractura corono-radicular que compromete tercio cervical de la pieza 2.1 y fractura coronaria en la pieza 2.2.
En las reconstrucciones 3D (Figura 5, 6 y 7), se aprecia claramente los trazos de fractura antes detallados así como el compromiso de estructuras adyacentes.
Conclusión: Signos sugerentes de LUXACION LATERAL en pieza 1.1. FRACTURA CORONO-RADICULAR de pieza 2.1 y FRACTURA CORONARIA de pieza 2.2
Paráfrasis
Los traumatismo dentoalveolares de la región antero superior, son los más frecuentes tanto en dentición decidua como permanente. Siendo las luxaciones las lesiones más prevalentes. Son considerados como una urgencia dentro de la asistencia de la consulta dental, que deben ser tratados de inmediato. Requieren de una exploración inmediata y controles a largo plazo, ya que pueden producir complicaciones y patología pasado un tiempo de haberlos padecido.
En el caso de las luxaciones laterales, el diente se desplaza axialmente y queda impactado en el hueso. El diente no es sensible al tocarlo ni tiene movilidad.
La evaluación imagenológica en estos casos es de vital importancia, por esta razón se recurre a un estudio mediante CBCT focalizada (5×5 cm) con alta resolución (75 micras) para una mejor visualización de la zona, que nos permita explorar detalles que el estudio convencional no nos permitiría.
El tratamiento consiste en aplicar anestesia local para colocar el diente en su posición inicial. El diente debe ser extruido (desenclavar el diente, de la impactación ósea, en dirección oclusal) y estabilizarlo con una férula flexible durante 3 semanas.
Referencias:
- Medrano G, Hernández J. Diagnóstico y tratamiento de luxaciones dentales en dentición decidua. Rev Estomatol Herediana. 2010; 20(2):107-111.
Enlace aquí - Mallqui L, Díaz M. Traumatismos dentales en dentición permanente.. Rev Estomatol Herediana. 2012; 22(1): 42-49
Enlace aquí - García C, Pérez L, Castejón I. Prevalencia y etiología de los traumatismos dentales. Una revisión. RCOE 2003; 8(2):131-141.
Enlace aquí
Autor: Mg. Esp. Andrés Agurto Huerta









