Paciente femenino, 20 años de edad acude al Instituto de Diagnóstico Maxilofacial (IDM) para su evaluación previo a tratamiento de ortodoncia.
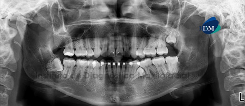
A la evaluación de la radiografía panorámica (Figura1) observamos a la pieza 3.5 impactada en posición disto angular sobre la cara mesial de la pieza 3.6, donde apreciamos a una imagen radiolúcida de limites bien definidos que compromete el reborde alveolar y se extiende hacia la basal correspondiente. Así mismo presenta aparatología fija para ortodoncia de la 3.4 a la 4.4.
Al estudio mediante tomografía computarizada de haz cónico (CBCT) en cortes axiales (Figura 2) y coronales (Figura 3) se evidencia que la imagen antes descrita expande ligeramente la tabla tablas ósea vestibular y desplaza a la pieza 3.5 hacia lingual (a nivel del tercio medio radicular). El tercio apical presenta dilaceracion hacia caudal y la porción coronal se encuentra hacia la tabla vestibular
En las reconstrucciones 3D se observa claramente las imágenes antes descritas y su relación con estructuras adyacentes. (Figuras 4, 5 y 6).
Conclusión: Lesión benigna por pieza impactada.
Paráfrasis
La erupción de los dientes permanentes forma parte de una compleja serie de acontecimientos controlados genéticamente. A través de estos fenómenos, un germen se desarrolla y el diente erupciona en la arcada en su posición funcional, según los tiempos establecidos. Sin embargo, durante este proceso evolutivo pueden producirse numerosos acontecimientos que pueden interferir en la erupción dentaria, provocando la impactación, que es un cuadro clínico muy frecuente.
Las razones por las que se presentan inclusiones, retenciones e impactaciones dentarias son consecuencia de factores locales como obstrucciones mecánicas (dientes, quistes, tumores, entre otros), espacio insuficiente en la arcada dental debido a incongruencias esqueléticas (micrognatia), pérdida prematura de dientes deciduos o discrepancias en el tamaño diente-arco, y/o factores sistémicos tales como desordenes genéticos, deficiencias endocrinas, e irradiación previa de la mandíbula.
La impactación, la retención y la inclusión dental son fenómenos frecuentes, sin embargo, hay una considerable variación en la topografía de estos según la región bucal.
La importancia de evaluar la impactación, retención e inclusión, radica en que la pieza dental mantiene su saco folicular, cuyo epitelio mantiene la capacidad de diferenciación con posible progresión a lesiones tumorales (formación de quistes dentígeros, queratoquiste odontogénico, ameloblastoma, entre otros), además la estructura dental puede presentar complicaciones como presencia de caries dental y enfermedad pulpar.
El diagnóstico de los dientes impactados debe realizarse mediante un examen clínico (inspección visual y palpación manual) y uno radiográfico . La combinación de varios métodos permitirá́ un mejor diagnostico y plan de tratamiento. La CBCT determina mejor la posición de dientes impactados y su relación con estructuras adyacentes.
Referencias:
- Castañeda D, Briceño C, Sánchez A, & col. Prevalencia de dientes incluidos, retenidos e impactados analizados en radiografías panorámicas de población de Bogotá. Universitas Odontológica 2015; 34 (73): 21-29
Enlace aquí - Cárdenas V, Sánchez A, Couto F. Patología mandibular. Lesiones de carácter odontogénico. In Anales de Radiología México 2005; 4(1): 47-54
Enlace aquí - Estrada, M. Lesiones quísticas asociadas a terceros molares retenidos que requirieron hospitalización. Revista Cubana de Estomatología 1998, 35(3): 97-101
Enlace aquí
Autor: Mg. CD Esp. Andrés Agurto Huerta








