La periodontitis es una enfermedad multifactorial de los cuales la placa bacteriana es reconocida como el principal agente etiológico en la iniciación y progresión de la periodontitis. La eliminación del depósito bacteriano es el objetivo fundamental de la terapia periodontal. La prevalencia y la gravedad de las enfermedades periodontales son tratadas por reducción total de la placa bacteriana o por lo menos la eliminación de las bacterias patógenas.
Convencionalmente, la instrumentación mecánica subgingival mediante el raspado y alisado radicular (RAR) ha sido la principal modalidad de tratamiento en la terapia periodontal por el cual la mayoría de las enfermedades periodontales se pueden tratar con eficacia. La variación en la eficacia de raspado y alisado radicular dependen de factores como obtener acceso a las bolas muy profundas, bifurcaciones, o alteraciones morfológicas de la raíz que pueden dejar depósitos de placa residual con la posterior recolonización de las zonas tratadas con organismos patógenos. Esto ha llevado al uso de agente antibacteriano por lo general en forma de irrigantes subgingivales como un complemento del raspado y alisado radicular.
La irrigación subgingival tiene una acción no específica de lavado de los contenidos de las bolsas periodontales. Los estudios realizados en las últimas dos décadas han reportado mejoras en términos de los parámetros clínicos y microbiológicos con el uso adyuvante de agentes de irrigación subgingival como povidona yodada, peróxidos de hidrógeno, fluoruro de estaño, ácido bórico, clorhexidina, etc. El oxígeno molecular, oxígeno hiperbárico y el peróxido de hidrógeno se han aplicado como un sustituto para el riego convencional que puede contener a las bacterias subgingivales mediante la modificación del entorno subgingival anaeróbico.
Recientemente, el tratamiento con ozono está ganando popularidad en odontología. El ozono (O3) es un gas normalmente presente en la atmósfera superior. El uso del ozono se ha propuesto en la odontología debido a sus propiedades desinfectantes. El ozono tiene aplicación dental el tratamiento de la caries, hipersensibilidad, esterilización de cavidades y canales radiculares, blanqueo, tratamiento de lesiones de la mucosa, la periodontitis, periimplantitis etc. La aplicación periodontal de ozono se hace generalmente en forma gaseosa, acuoso y formas de petróleo. El uso de agua ozonizada es un procedimiento seguro y simple en comparación con el ozono gaseoso.
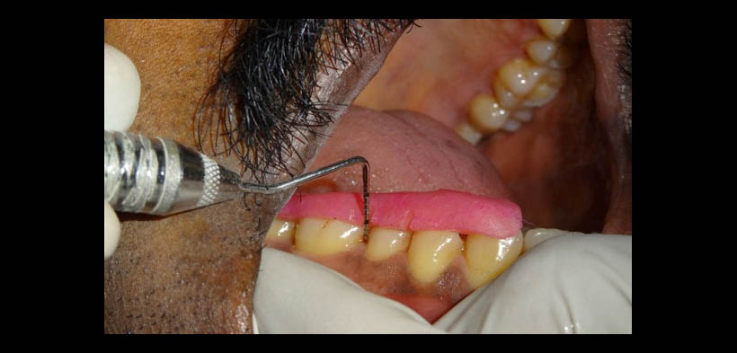
Issac AV, et al. realizaron un estudio experimental cuyo objetivo fue evaluar el efecto de la irrigación subgingival mediante el uso de agua ozonizada y evaluar los parámetros microbiológicos y los parámetros clínicos mediante el índice gingival, profundidad de sondaje y nivel de inserción clínica. Los resultados mostraron que los sitios de prueba en el que se aplicaron la irrigación subgingival con agua ozonizada tuvieron mayor reducción de la profundidad de la bolsa y la ganancia de inserción clínica en comparación con los sitios de control. Los recuentos totales anaerobias se redujeron significativamente (fig.1-3)(1).
La irrigación subgingival con agua ozonizada es eficaz en la mejora de la higiene bucal, la reducción de la inflamación gingival, disminuyendo la profundidad de las bolsas y el aumento de los niveles de inserción cuando se usa como un complemento de raspado y alisado radicular en pacientes con periodontitis crónica.
Fig. 1. Dispositivo de irrigación subgingival con agua ozonizada.
Fig. 2. Profundidad de bolsa al inicio del tratamiento y antes de la utilización de la irrigación subgingival mediante agua ozonizada.
Fig. 3. Profundidad de bolsa luego de 4 semanas del tratamiento de RAR con la utilización de irrigación subgingival mediante agua ozonizada.
REFERENCIA:
1. Issac AV, Mathew JJ, Ambooken M, Kachappilly AJ, PK A, Johny T, et al. Management of Chronic Periodontitis Using Subgingival Irrigation of Ozonized Water: A Clinical and Microbiological Study. J Clin Diagn Res JCDR. 2015 Aug;9(8):ZC29–33.
Elaborado por : C.D. Luis Alberto Cueva Principe, Mg. Esp. C.D. Andrés Agurto Huerta.





