La sialografía digital convencionalmente se ha considerado el “gold estándar” para la representación de la enfermedad ductal de la glándula salival. La sialografía digital puede representar con precisión la anatomía ductal y la patología hasta el cuarto orden de ramificación. Las principales desventajas de la sialografía convencional incluyen exposición a la radiación, la necesidad de canular el orificio del conducto, y dolor durante la inyección de la solución de contraste. La canulación del conducto requiere un operador con experiencia, especialmente en pacientes con cálculos cerca del orificio del conducto y la presencia de alguna estenosis papilar. Las potenciales complicaciones de la sialografía convencional incluyen trauma al conducto, ruptura del sistema ductal, el desplazamiento del cálculo, infección y reacciones adversas al material de contraste.
La sialografía en la resonancia magnética (RM) es una herramienta no invasiva prometedora para la evaluación del sistema ductal de las glándulas salivales mayores. Esta técnica produce imágenes sialográficas similares a los de sialografía convencional sin el uso de medios de contraste o radiación. Los principios subyacentes son exactamente los mismos que los utilizados en las técnicas desarrolladas recientemente de imagen fluida utilizando secuencias de pulsos muy fuertemente potenciadas en T2 como urografía por RM y colangiopancreatografía en RM.
La sialografía en RM es rápida y demuestra todo el sistema ductal que es similar a la sialografía convencional. Se ha realizado utilizando diferentes secuencias como la adquisición modificada rápida (RARE), la secuencia rápida spin-eco, la secuencia de interferencia constructiva en estado estacionario (CISS), y la adquisición por medio de un turbo-spin eco (HASTE), la secuencia de pulsos de disparo único para la evaluación de enfermedades de las glándulas salivales benignas. Mohamed, et al realizaron un estudio con el objetivo de establecer la precisión diagnóstica de la sialografía en RM (en todas las secuencias mencionadas anteriormente), en comparación con el “gold estándar” de la sialografía convencional. (fig.1-3)(1).
La sialografía convencional es precisa para la detección de los cálculos y la estenosis pero es invasiva y algunos conductos son difíciles de canular. En muchos países se están optando por procedimientos no invasivos que permitan legar a la misma conclusión diagnóstica, es así que hoy en día podemos hablar de una sialografía en resonancia magnética (RM) con una secuencia fuertemente potenciada en T2, permite tener un gran éxito en la visualización no invasiva del sistema ductal de las glándulas salivales mayores en los casos en que no podía ser examinado por sialograma convencional. Es útil para el diagnóstico de esta patología. Sin embargo, los hallazgos de sialografía en RM que arrojen un resultado de normalidad, no permiten la exclusión de pequeños cálculos. Por lo tanto, en pacientes con fuerte sospecha clínica de presencia cálculos la sialografía en RM es una herramienta eficaz y útil.
Fig. 1. (a) La ecografía de la glándula submandibular izquierda muestra una imagen hiperecoico dentro del conducto dilatado compatible con cálculo. (b), sialograma (c) RM del mismo caso muestra la señal del cálculo dentro del conducto dilatado de la glándula submandibular izquierda (vista oblicua sagital). Resonancia magnética del mismo caso, (d) vista sagital T2 imagen ponderada muestra el conducto dilatado de la glándula submandibular izquierda y la presencia de un cálculo en su extremo proximal. (e) vista axial en T2 imagen ponderada muestra la señal del cálculo; (f) vista axial muestra el conducto dilatado.
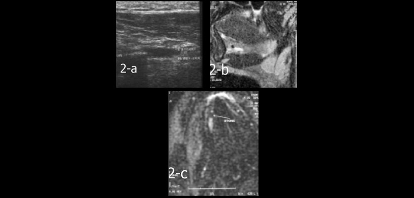
Fig. 2. a) Ecografía de la glándula submandibular derecha muestra un conducto dilatado y una imagen hiperecoica dentro de ella. La resonancia magnética del mismo caso muestra un conducto dilatado de la glándula submandibular derecha con presencia de un cálculo en su extremo, (b) vista sagital en T2, imagen ponderada muestra la presencia del cálculo. (c) sialograma RM, vista coronal muestra los mismos datos.
Fig. 3. Sialografía convencional del mismo caso anterior, vista lateral, reveló una imagen hipodensa compatible con un sialolito, visto dentro del conducto principal que ocasiona la dilatación de la glándula submandibular izquierda, y la dilatación de los conductos secundarios y terciarios.
REFERENCIA:
1. Ibrahim NMA, Badry A el. Diagnostic accuracy of MR sialography in sialolithiasis and salivary ductal stenosis. Egypt J Radiol Nucl Med. 2013 Mar;44(1):45–50.
Elaborado por : C.D. Luis Alberto Cueva Principe, Mg. Esp. C.D. Andrés Agurto Huerta.





