060 – Uso de la Calcitonina en el Tratamiento del Querubismo: Seguimiento mediante Radiografía Panorámica y Tomografía Computarizada

Indice del articulo

El Querubismo es un desorden infrecuente de herencia autosómica dominante, que se manifiesta en la infancia temprana, y se caracteriza por una progresiva proliferación ósea de tipo quístico, ocasionada por el funcionamiento anormal de osteoblastos y osteoclastos durante el remodelamiento óseo; esta patología afecta la mayoría de los huesos faciales, pero compromete principalmente el maxilar inferior, desarrollándose un desmesurado crecimiento que deteriora el balance funcional y estético de la cara. El Querubismo está clasificado dentro del grupo de lesiones osteo-fibrosas benignas, diferenciándose de las lesiones osteo-cementarias y las displasias fibrosas debido a su particular presentación clínica y radiológica. Ueki y cols. identificaron que las mutaciones en el gen SH3BP2 causaban el Querubismo y sentaron las bases genéticas para clasificar la patología como una entidad separada a las demás lesiones fibro-óseas. El término Querubismo fue sugerido por Jones, con el propósito de describir la apariencia de las personas afectadas que tienen semejanza a la de un querubín del arte renacentista.

La enfermedad se caracterizada por el aumento de tamaño no doloroso, de la mitad inferior de la cara, que inicia alrededor del tercer a cuarto año de la vida hasta la adolescencia. El volumen facial aumentado se acentúa debido al exagerado crecimiento de los ganglios sub-mandibulares. En la mayoría de los casos el crecimiento se detiene al final de la adolescencia, así el aspecto típico del Querubismo desaparece cuando las lesiones involucionan y alrededor de los 20 años las lesiones residuales no son reconocibles y la deformidad residual de los maxilares es infrecuente.

Las radiografías revelan la presencia de cambios quísticos multiloculares en los huesos de la cara e infrecuentemente en la región anterior de las costillas. De acuerdo a imágenes radiológicas y sintomatología similar el diagnóstico diferencial debe hacerse con la displasia fibrosa, granuloma de células gigantes, osteosarcoma, fibroma osificante juvenil, osteoma fibroso, quiste odontogénico e hiperparatirodismo. La histopatología se caracteriza por la presencia de células osteoclásticas gigantes, diseminadas en tejido conectivo, con la presencia de células fusiformes y trabéculas osteoides.

A pesar de que, la enfermedad ha sido investigada, la comunidad médica y odontológica no ha establecido un consenso para la mejor forma de tratamiento para el Querubismo. Algunos investigadores han estudiado el efecto del tratamiento con calcitonina en el metabolismo óseo y sus valores terapéuticos para el tratamiento del granuloma central de células gigantes. Esta hormona inhibe la resorción ósea, actuando directamente en las células osteoclástica. Fernández GM, et al realizaron un reporte de caso de un Querubismo agresivo en una paciente femenino de 18 años cuyo tratamiento fue el curetaje quirúrgico con la administración de calcitonina a una dosis de 200 UI durante un año, obteniendo resultados favorables a los largo. La secuencia de exámenes radiográficos y tomográficos se muestran en las figuras 1-6 (1).

El Querubismo tiene una presentación clínica casi patognomónica que permiten acercarse al diagnóstico, sin embargo el examen radiográfico es indispensable y es útil para realizar el diagnóstico definitivo, realizar el seguimiento y los controles finales. La radiografía panorámica muestra la lesión bilateral que pasa por los tres estadios, radiolúcido, mixto y radiopaco, la tomografía computarizada permite la evaluación tridimensional y la expansión de las tablas óseas y realizar el planeamiento quirúrgico final.

Fig. 1 Radiografía panorámica de una paciente femenina de 18 años, que muestra el crecimiento bilateral de la lesión en el cuerpo, rama, y las apófisis coronoides de la mandíbula, produce la erupción atípica de los terceros molares inferiores, y la reabsorción de la raíz distal del primer molar inferior izquierdo.

Fig. 2 A) Reconstrucción 3D de las imágenes de la TC, muestra el aspecto erosivo y múltiples depresiones en el hueso cortical vestibular bilateral de la región retromolar. B) vista axial de la TC, revela la imagen grande heterogénea con características expansivas e invasiva, la lesión es osteolítica, multilocular con perforación del hueso cortical en el ángulo y la rama de la mandíbula

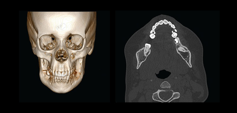
Fig. 3 Radiografía panorámica del paciente anterior posterior a la cirugía y a la administración de calcitonina, se observa la formación y la sustitución de la lesión por tejido óseo neoformado.

Fig. 4 En la reconstrucción en 3D y en la vista axial de la TC, se muestra una regresión significativa de la lesión con hueso cortical se conserva en el ángulo y la rama de la mandíbula.

REFERENCIA:

1. Fernandes Gomes M, Ferraz de Brito Penna Forte L, Hiraoka CM, Augusto Claro F, Costa Armond M. Clinical and surgical management of an aggressive cherubism treated with autogenous bone graft and calcitonin. ISRN Dent. 2011;2011:340960.

Elaborado por : C.D. Luis Alberto Cueva Principe, Mg. Esp. C.D. Andrés Agurto Huerta.

Picture of C.D. Luis Alberto Cueva
C.D. Luis Alberto Cueva
Cirujano Dentista titulado de la Universidad Particular de San Martín de Porras. Miembro del Staff del Instituto de Diagnóstico Maxilofacial (IDM). Miembro del Colegio Odontológico del Perú. Cirujano Dentista en el Ministerio de Salud (MINSA). Autor del Artículo Científico en Colonización Microbiana de la cavidad bucal en Neonatos nacidos en el Instituto Nacional materno Perinatal, así como los factores que la condicionan. Rev. Peru. Investig. Matern. Perinatal. 2014; 3 (1): 8-12. Idioma Portugués cursado en el Centro Cultural Brasil - Perú CCBP.

Casos relacionados

Deja una respuesta

Tu dirección de correo electrónico no será publicada. Los campos obligatorios están marcados con *