
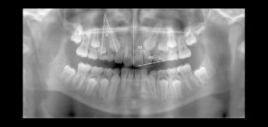
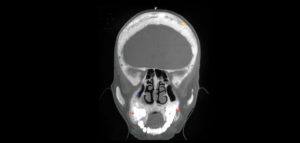
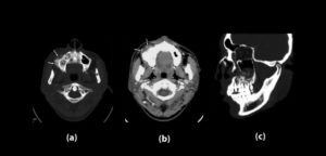
86 – Exactitud de los diferentes tipos de diseño de las guías quirúrgicas en la colocación de implantes
El número de pacientes que requieren prótesis sobre implantes ha aumentado considerablemente en los últimos años. La osteointegración de los implantes dentales es el requisito


















