La enfermedad de Paget, u osteitis deformante, es un trastorno crónico, lentamente progresivo y de etiología desconocida pese a las muchas teorías que se han formulado con el correr de los años. Paget creía que la enfermedad era inflamatoria, y su punto de vista es sostenido por algunos autores posteriores. Estas teorías acerca de su origen incluyen autoinmunidad, anomalías endocrinas, etc.
Los maxilares se encuentran afectados en el 17 % de los casos, por lo general, de manera bilateral y simétrica, pero es dos veces más frecuente en el maxilar superior que en la mandíbula; también se puede encontrar, crecimiento de maxilar, mandíbula y cráneo. En la Cavidad Bucal las afecciones son comunes. El agrandamiento de la cresta alveolar en un paciente desdentado determina que las prótesis pierdan paulatinamente su asiento, puede ser el primer síntoma de la enfermedad. Los dientes pueden migrar, ocasionalmente se aflojan, y pueden desarrollarse diastemas.
CARACTERISTICAS RADIOGRÁFICAS
La enfermedad de Paget ocurre con más frecuencia en la pelvis, fémur, cráneo y vértebras y en raras ocasiones en los maxilares. Afecta con mayor frecuencia al maxilar superior. Aunque la enfermedad es bilateral puede existir un solo maxilar afectado. La estructura interna se puede observar en tres estadios, el primero radiolúcido, un segundo estadio granular y el tercero se observa como un estadio aposicional tardío más denso y radiopaco. Las trabéculas suelen estar alteradas en cuanto al número y la forma. La densidad media de los maxilares puede disminuir o aumentar dependiendo del número de trabéculas.
COMPLICACIONES
- Fracturas: Son las complicaciones más frecuentes.
- Degeneración, complicación más grave, pero afortunadamente poco frecuente
- Hipercalciuria-hipercalcemia
- Hiperparatiroidismo
- Insuficiencia cardíaca o Infarto agudo de Miocardio.(1,2)
La prevalencia de la enfermedad demostrada radiográficamente es < 1%. Sin embargo la prevalencia es del 3 al 5% y aumenta con la edad. Usualmente el diagnóstico se lleva a cabo a partir de los 50 años. La historia familiar puede ser positiva para la enfermedad de Paget en casi un 40% de los sujetos.
Fig 1. Radiografía oclusal lateral que muestran osteosclerosis y un aspecto de copos de algodón.
Fig 2. Vista posteroanterior del cráneo, revelan opacificación del antro maxilar, radiopacidades de forma irregular que involucran todo el cráneo, Dando una apariencia de copos algodón.
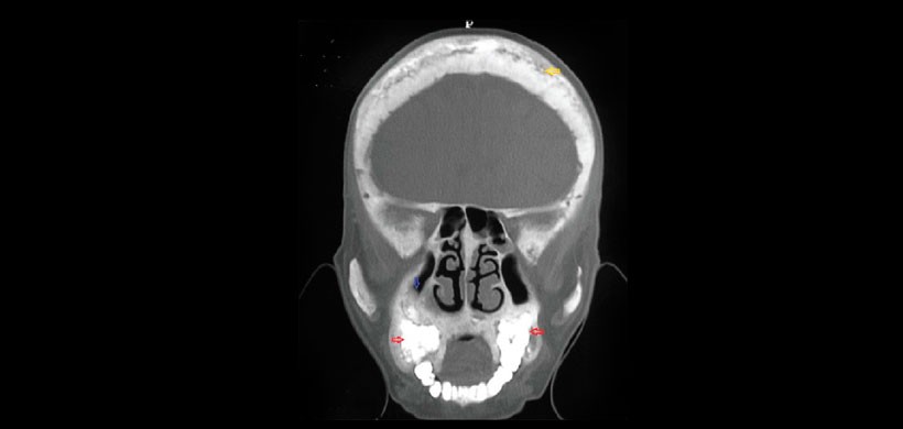
Fig 3. Vista coronal de la tomografía computarizada en la que se zonas escleróticas y lesiones líticos en la bóveda craneal ósea que dan una apariencia de copos algodón (flecha amarilla) con obliteración del seno maxilar a la derecho.
REFERENCIA:
- González DC, Mautalen CA. Short-Term Therapy with Oral Olpadronate in Active Paget’s Disease of Bone. J Bone Miner Res. 1999 Dec 1;14(12):2042–7.
- Langston AL, Campbell MK, Fraser WD, MacLennan GS, Selby PL, Ralston SH. Randomized trial of intensive bisphosphonate treatment versus symptomatic management in paget’s disease of bone. J Bone Miner Res. 2010 Jan 1;25(1):20–31.
Elaborado por : C.D. Luis Alberto Cueva Principe, Mg. Esp. C.D. Andrés Agurto Huerta.





