El número de pacientes que requieren prótesis sobre implantes ha aumentado considerablemente en los últimos años. La osteointegración de los implantes dentales es el requisito más importante para las restauraciones sobre implantes, mientras que la colocación del implante óptimo es fundamental para el éxito estético y funcional de este tipo de restauraciones. La mala inserción del implante puede dar lugar a efectos adversos sobre la osteointegración, la previsibilidad a largo plazo, el éxito y los resultados estéticos de la prótesis.
La planificación prequirúrgica es esencial para lograr una excelente estética y resultados funcionales, con implantes dentales. Por mucho tiempo los cirujanos dentistas abocados a la colocación de implantes han utilizado generalmente radiografías convencionales (panorámica y periapicales) y guías quirúrgicas fabricadas convencionalmente. Éstas guías quirúrgicas convencionales fabricados en modelos de estudios de yeso no proporcionan información sobre los diferente grosores de la mucosa, la topografía del hueso subyacente, o las estructuras anatómicas; Además, no permanecen estable durante la cirugía.
En los últimos tiempos, la tomografía computarizada (TC) se ha introducido para la planificación prequirúrgica. Los profesionales pueden ahora simular la colocación del implante ideal y la planificación del tratamiento, incluida la evaluación de las dimensiones exactas del implante, la profundidad ideal, y la angulación que ésta tendrá. Además puede garantizar la colocación precisa de la prótesis. Las últimas investigaciones demuestran que las guías qururgicas diseñadas y asistidas por ordenador (CAD / CAM) ofrecen una ventaja significativa para el cirujano, mejorando la precisión y la minimización de las complicaciones
La precisión de la colocación del implante con el uso de guías quirúrgicas dentosoportadas es según los estudios, superior a la que con el uso de guías totalmente soportadas por la mucosa. Por ende son mucho más precisas, mientras tanto las guías parciales pueden simplificar la operación y ayudar en la colocación del implante en comparación de una guía total.
El conocimiento de las nuevas tecnologías es de suma importancia para su adecuada aplicación. Las guías quirúrgicas simplifican el acto quirúrgico dando una mejor predicibilidad de los resultados fisiológicos y estéticos de los implantes dentales.
Fig 1. Planificación del tratamiento y la selección del implante mediante un programa informático (SimPlant®) y mediante el uso de la tomografía computarizada de haz cónico (CBCT).
Fig 2. Diseño de la guía quirúrgica asistido por ordenador.
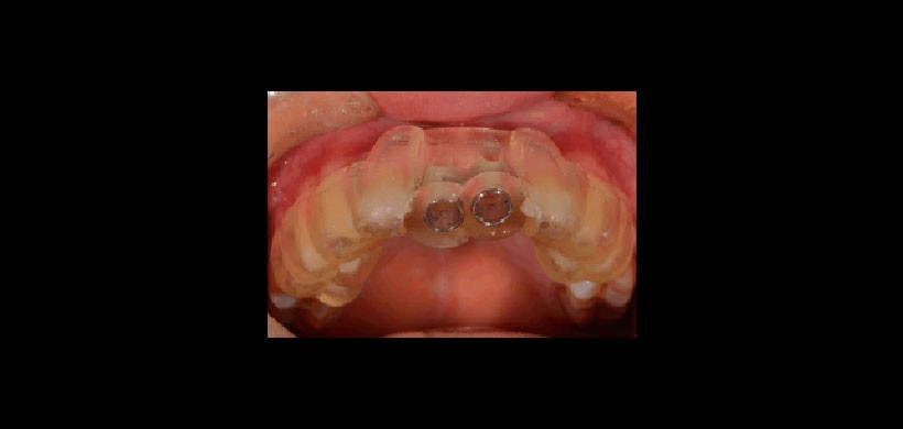
Fig 3. Guía quirúrgica dentosoportada, brinda mayor estabilidad.
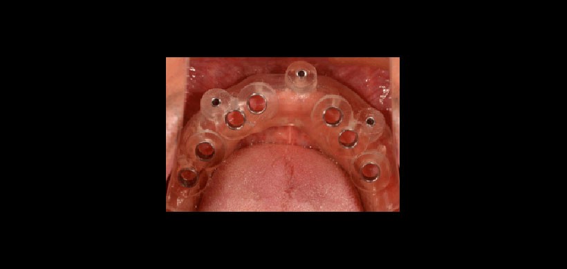
Fig 4. Guía quirúrgica mucosoportada, tiene menos estabilidad.
Referencia:
1.- Geng, W., Liu, C., Su, Y., Li, J., & Zhou, Y. Accuracy of different types of computer-aided design/computer-aided manufacturing surgical guides for dental implant placement. International Journal of Clinical and Experimental Medicine, 8(6), 8442–8449.
Elaborado por : C.D. Luis Alberto Cueva Principe, Mg. Esp. C.D. Andrés Agurto Huerta.






