El seno maxilar suele ser el mayor de los senos paranasales y se aloja principalmente en el cuerpo del maxilar superior. Tiene la función de dar resonancia a la voz, actuar como cámara para calentar, humedecer el aire que se inspira, aligerar el peso del cráneo y proteger las estructuras intracraneales de los traumatismos.
Existe una estrecha relación entre el piso del seno maxilar, el suelo de las fosas nasales y los ápices de los dientes superiores, ya que están tapizados con una mucosa delgada que se halla adherida al periostio (membrana sinusal). El diente que más se relaciona con el seno maxilar es el 2ª molar superior, siguiendo en importancia el 1ª molar, el 3ª molar, el 2ª premolar y por último el 1ª premolar.
Clásicamente, los mecanismos para realizar el diagnóstico de una comunicación bucosinusal han sido fundamentalmente clínicos. El paciente refiere que al enjuagarse la boca, el agua le sale por la nariz, lo que señala que la comunicación es significativa, así como la presencia de secreción muco purulenta y dolor de cabeza.
En algunos casos los signos clínicos son muy reducidos y para poner en evidencia la comunicación podemos realizar: Maniobra de Valsalva (ver burbujeo en el alvéolo). Signo del soplo (escuchar la salida de aire). Cateterismo con un estilete blando que se hunde unos 4 a 6cm. Reflujo de un líquido coloreado por la nariz.
Se realizan además estudios radiográficos, radiografía periapical, donde se observa la solución de continuidad en el piso del seno. Si recordamos, las radiografías convencionales representan objetos de 3D con imágenes de 2D con una significativa superposición de estructuras y magnificación impredecible. La tomografía cone beam CBCT permite una visualización real en 3D de las estructuras óseas y dentoalveolares, permitiendo realizar diagnósticos precisos y con la ventaja adicional de liberar una menor radiación que la CT convencional(1).
En muchos casos el diagnóstico certero de comunicaciones entre el seno maxilar y la cavidad bucal plantea dificultades, especialmente en la visualización exacta de la ubicación y la magnitud de la misma. En este sentido el uso de estudios 3D aporta ventajas cualitativas en estos diagnósticos.
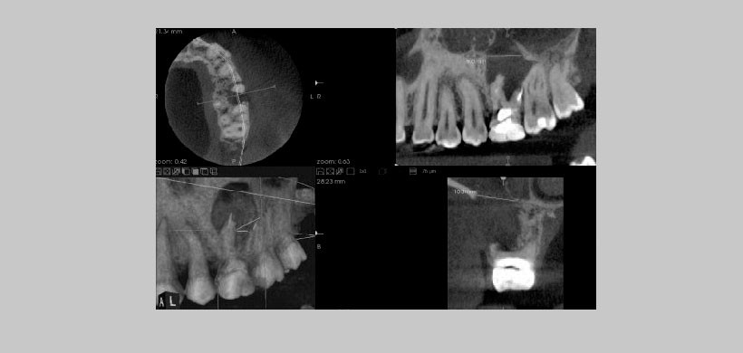
Fig 1. Estudio Cone beam revela la presencia de una comunicación buco-sinusal causada por la expansión del proceso periapical de la pieza 26. Se observa con claridad en los cortes transversales, además del velamiento por ocupación del seno maxilar izquierdo.
Fig 2. Se observa en corte sagital la extensión de la lesión apical y la proximidad y pérdida de la integridad del piso sinusal. Se puede observar además, la medición en milímetros de la perforación del piso de seno maxilar, posibilidad que permite este tipo de estudio por imágenes. En imagen de volumen rendering se observa la dimensión y localización de la lesión apical.
Elaborado por : C.D. Luis Alberto Cueva Principe, Mg. Esp. C.D. Andrés Agurto Huerta




