Prontos a culminar el año 2015, hemos querido realizar un repaso por los principales problemas de salud bucal que aquejan a las personas de nuestro país, cuáles han sido nuestros logros y los retos que aún nos esperan en los próximos años. La condición de Salud Bucal en el Perú, atraviesa una situación crítica debido a la alta prevalencia de enfermedades Odontoestomatológicas, tenemos así que la prevalencia de caries dental es de 90%, la enfermedad periodontal llega a un 85% y las mal oclusiones a un 80%, constituyendo un problema de salud pública. Además en lo que se refiere a caries dental el índice de dientes cariados, perdidos y obturados (CPOd), a los 12 años es de aproximadamente 6, ubicándose según la OPS en un País en estado de emergencia.
La incidencia de las enfermedades infecciosas y su consecuente costo en vidas y recursos económicos en las últimas décadas ha hecho que su prevención sea una de las principales preocupaciones de las entidades encargadas de atención en salud a nivel nacional. Como todas las ciencias médicas, la odontología sabe que su mejor arma es la prevención. Es precisamente los procedimientos que con menor frecuencia se realizan en el consultorio, a pesar de que en la actualidad exista una mayor conciencia y conocimiento de las consecuencias que traen la perdida dentaria.
Con el objeto de solucionar el estado deficiente de Salud Bucal en el Perú, el Gobierno Peruano emitió la Resolución Ministerial No 538 – 2005/MINSA del 18 de Julio del 2005 considerando que la Salud Bucal en nuestra población atraviesa una situación crítica debido principalmente a la alta prevalencia de patologías Odontoestomatológicas, por lo que en el marco de las mencionadas políticas y estrategias, es necesario implementar un Plan Nacional, a efecto de priorizar y consolidar acciones de atención en el Campo de la Salud Bucal.
Dentro de los lineamientos de la política del Ministerio de Salud se establece impulsar las actividades preventivas y promociónales de la salud a fin de reducir los altos índices de morbimortalidad en especial en la población infantil. La estrategia de Salud Bucal como parte de la Dirección de Salud de las Personas desarrolla actividades preventivo promociónales, recuperativas y rehabilitación enfocadas en las etapas de vida más vulnerables como son la etapa de vida niño, adolescente, adulto mayor incluyendo mujer gestante dentro de un marco de atención integral de salud. (fig. 1-3).
A pesar de que en la actualidad el número de cirujanos dentistas se ha incrementado hasta llegar a ser un poco más de 30 mil cirujanos dentistas colegiados, las prevalencias de las principales enfermedades odontoestomatológicas se mantiene y no muestran una disminución significativa. Esto nos llama a reflexionar que aún hay muchas cosas por hacer, desde políticas publicas preventivas, hasta llegar a la población con programas recuperativas que devuelvan la funcionalidad y estética en la personas.
Fig. 1 la prevalencia de caries dental es de 90%, es la enfermedad infecciosas más prevalente y una de las principales causas de perdida dentaria durante le vida. Es necesario incentivar la prevención mediante sesiones educativas y actividades preventivas a gran escala mediante el adecuado uso del cepillo dental el uso de pastas fluoradas y la consulta anual al odontólogo.
Fig. 2 Otras de las principales enfermedades odontoestomatológicas con una alta prevalencia (85%) es la enfermedad periodontal, dentro de ellas la periodontitis constituye también una causa común de perdida dentaria y mal aliento.
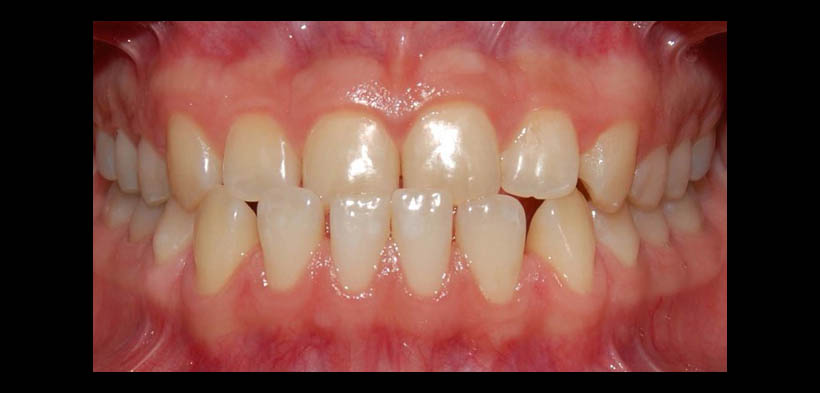
Fig. 3 Las mal oclusiones representan un 80% de las principales enfermedades o alteraciones odontoestomatológicas. Las deformidades dentofaciales producen serios daños a nivel funcional, estético y psicológico para los pacientes, principalmente si son jóvenes. Es necesaria la intervención temprana del ortodoncista para su corrección y evitar tratamientos más agresivos a futuro.
REFERENCIA:
http://www.minsa.gob.pe/portalweb/06prevencion/prevencion_2.asp?sub5=13
Elaborado por : C.D. Luis Alberto Cueva Principe, Mg. Esp. C.D. Andrés Agurto Huerta.





