En anatomía, los senos nasales o paranasales son un conjunto de cavidades aéreas que se encuentran en los huesos frontales, esfenoides, etmoides, y maxilar superior, que comunican con las fosas nasales. Estas cavidades son estructuras que influyen en la respiración, la fonación, el calentamiento y la olfacción adecuados. Existen 8 senos paranasales, 4 a cada lado de la nariz y están cubiertos por epitelio respiratorio con moco (epitelio pseudoestratificado cilíndrico ciliado con células caliciformes).
Las patologías de los senos paranasales constituyen una amplia gama, desde alteraciones morfológicas y del desarrollo, hasta patologías adquiridas como las lesiones infecciosas, quísticas o tumorales; a continuación mencionamos las principales patologías asociadas a ls senos paranasales:
| Patología | Definición |
| Aplasia | La falta de osificación de los senos paranasales. |
| Hipoplasia | Subdesarrollo de los senos paranasales. |
| Mucositis | Engrosamiento de la mucosa sinusal |
| Quiste de retención mucoso | Pliegue irregular denominado pólipo, localizado en el piso del seno. |
| Antrolito | Masa intrasinusal compuesto de depósitos de sales minerales |
| Sinusitis | Infección de uno o más senos paranasales |
| Fistula oroantral | Comunicación entre la cavidad bucal con el seno maxilar |
| Osteoma | Proliferacion de hueso compacto o esponjoso dentro del seno. |
| Periostitis | Exudado de lesiones dentarias a través del periostio |
| Lesiones quísticas o tumorales | Generalmente odontogénicos que pueden comprometer los senos paranasales. |
El conocimiento adecuado de las patologías de los senos paranasales y su evaluación mediante la tomografía cone beam es fundamental para el correcto diagnóstico y mejor tratamiento de los pacientes.
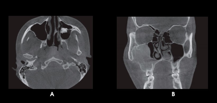
Fig 1. CBCT. A) Aplasia del seno esfenoidal derecho. B) Hipoplasia del seno frontal derecho.
Fig 2. CBCT. A) quiste de retención mucoso en seno maxilar derecho. B) Osteoma en seno etmoidal izquierdo.
Fig 3. CBCT. A) Sinusitis en seno frontal. B) Periostitis en seno maxilar derecho.
Fig 4. CBCT. A) Antrolito en seno maxilar izquierdo. B) Lesión quística en seno maxilar derecho.
Fig 5. CBCT. Fístula o comunicación bucosinusal. A nivel del seno maxilar derecho.
Referencia:
1. Rheem S NIL, Oberoi S. Incidental findings in the maxillofacial region identified on conebeam computed tomography scans. Journal of Orthodontic Research 2013;1(1):33-39.
Elaborado por : C.D. Luis Alberto Cueva Principe, Mg. Esp. C.D. Andrés Agurto Huerta.







