
185 – Manejo endodóntico del dens invaginatus Tipo IIIB
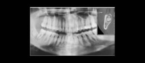
El “Dens invaginatus” es una anomalía del desarrollo que puede presentarse con una compleja anatomía del conducto radicular. Se ha descrito como un plegamiento del

El “Dens invaginatus” es una anomalía del desarrollo que puede presentarse con una compleja anatomía del conducto radicular. Se ha descrito como un plegamiento del

En el curso de un ensayo clínico controlado que tenia por objetivo de evaluar la morbilidad prequirurgica y posquirurgica de apicectomías realizadas, se observó un

Las lesiones fibro-óseas de los maxilares son de particular interés para cirujanos, radiólogos y patólogos orales y maxilofaciales, ya que enfatizan el papel crucial de

El término osteomielitis de Garré (OG) se refiere al diagnóstico de osteomielitis asociada a una reacción periostial proliferativa; se considera como una infección crónica de

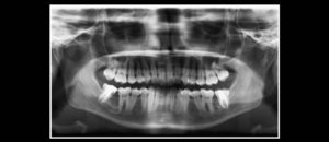
La interrupción en el proceso de odontogénesis da como resultado un diente supernumerario. Esto puede ocurrir por la división del órgano del esmalte o por

El autotransplante es el reposicionamiento de un diente autógeno que ya erupcionó, que esta erupcionando o que no ha erupcionado, de un sitio a otro

El conocimiento de la bifurcación del conducto dentario inferior (CDI) es importante, ya que ofrece posibles explicaciones para el fracaso de la anestesia, y para

La osteonecrosis maxilar (ONM) asociado a medicación es un efecto secundario fara la administración de ciertos medicamentos, caracterizado por falta de un flujo sanguíneo que

Los tumores odontogénicos son los que surgen de los tejidos del aparato odontogénico. Estos tumores se derivan de tejido ectodérmico (tumores epiteliales) o de tejido

En el proceso de crecimiento y desarrollo de una persona existen grandes cambios nivel de los diferentes sistemas, a nivel de la nasofaringe en la

La reabsorción es la combinación de factores fisiológicos o patológicos que conducen a la pérdida de esmalte, dentina, cemento o hueso alveolar por la acción

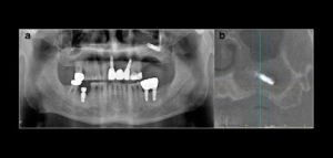
La neumatización severa del seno maxilar y el hueso alveolar residual delgado pueden provocar el desplazamiento de los implantes dentales hacia el seno maxilar durante

La lesión central de células gigantes (GCCG) es una lesión intraósea proliferativa y asintomática benigna. Es más común en las mujeres, en la tercera década,

La Displasia Fibrosa (DF) es una enfermedad fibrosa ósea. Fue originalmente descrito por Lichtenstein hace más de sesenta años. Se presenta con el reemplazo de

La hiperplasia condilar (HC) es un trastorno poco frecuente que se caracteriza por un crecimiento óseo excesivo que generalmente se presenta de forma unilateral y

Para la obtención de imágenes en otorrinolaringología, se han establecido diferentes modalidades: por ejemplo, para la representación de estructuras óseas, la tomografía computarizada es ampliamente

Las anomalías dentales son las anormalidades de las estructuras dentales humanas que resultan de las alteraciones durante la formación del diente. La herencia, sistémica y

El síndrome de Eagle (SE) fue descrito en 1937 por el otorrinolaringólogo alemán Eagle en pacientes que habían sido sometidos previamente a una amigdalectomíase, se

El atlas (C1) es la primera vértebra cervical (más superior) de la columna vertebral. Tiene varias características morfológicas que lo diferencian de otras vértebras, incluyendo

La compleja anatomía del sistema de conductos radiculares ha sido ampliamente estudiada, en esta ocasión nos enfocaremos en uno en particular, el CONDUCTO MEDIO MESIAL. Las
© Copyright 2025