Las lesiones fibro-óseas de los maxilares son de particular interés para cirujanos, radiólogos y patólogos orales y maxilofaciales, ya que enfatizan el papel crucial de estos especialistas en el proceso de diagnóstico y la terapia. El diagnóstico diferencial es importante porque un diagnóstico erróneo puede conducir a un tratamiento endodóntico innecesario, una biopsia incisional o una extirpación quirúrgica. El término lesión fibroósea es una designación genérica de un grupo de trastornos.
En estas lesiones, el hueso es reemplazado por una matriz benigna de tejido conectivo que muestra grados variables de mineralización en forma de hueso tejido o de estructuras cilíndricas acelulares intensamente basófilas indistinguibles de los cementículos. El término de lesión fibro-ósea en la región maxilofacial se aplica a la displasia cemento-ósea (DCO), la displasia fibrosa (DF) y el fibroma cemento-osificante (FCO) y sus subtipos. La DCO representa un proceso reactivo en el cual el hueso normal es reemplazado por un material de cemento poco celularizado y tejido conectivo fibroso celular. Se clasifican, según los hallazgos clínicos y radiográficos, en tres subtipos: periapical (limitado a la mandíbula anterior), focal (lesión única) y florida.
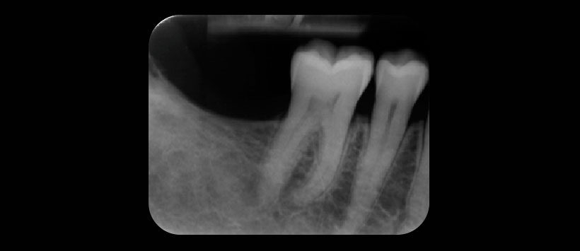
En la evaluación radiográfica, durante la etapa inicial, una lesión de DCO puede detectarse como radiolucidez apical redonda u ovalada con un borde radiopaco bien definido. En la segunda etapa mixta, una lesión radiotransparente puede incluir radiopacidades. En la etapa madura, el área mixta interna se vuelve completamente radiopaca con una periferia radiotransparente delgada.
Comúnmente, no se requiere tratamiento y solo se recomiendan exámenes de seguimiento regulares.
En la edición de 2017, la clasificación de tumores odontogénicos de la Organización Mundial de la Salud (OMS) clasifica en función de la ubicación:
- Displasia Cemento-Ósea Periapical (DCP)
- Displasia Cemento-Ósea Focal (DCO focal)
- Displasia Cemento-Ósea Florida (DCOF es una forma generalizada multicuadrante). El término «florida» relacionado con la displasia cemento-ósea se introdujo para describir las manifestaciones extensas de la enfermedad en múltiples cuadrantes del área de las mandíbulas que llevan dientes.
Las poblaciones más afectadas por esta lesión benigna son las mujeres negras de mediana edad. Las lesiones de la DCOF tienen una tendencia hacia una localización bilateral, a menudo bastante simétrica, y no es raro encontrar lesiones extensas en los 4 cuadrantes posteriores de la mandíbula. Generalmente es asintomático y se diagnostica accidentalmente en el examen radiográfico dental de rutina. Dolor sordo, drenaje, exposición de la lesión en la cavidad oral, expansión focal y deformidades faciales están presentes cuando ocurre la infección. La imagen radiográfica de la DCOF muestra radiopacidades lobulares que crecen con la maduración de la lesión rodeada de área radiotransparente y localizada principalmente en la región premolar-molar mandibular. Esta imagen se llama apariencia de «algodón» y también se ve en la enfermedad de Paget.
En los casos asintomáticos no se requiere tratamiento y el paciente debe tener un seguimiento regular, pero en casos sintomático puede ser necesario proceder con la intervención quirúrgica. El tratamiento quirúrgico en el caso sintomático tiene un pronóstico favorable y se tiene que asegurar el seguimiento correspondiente para su erradicación definitiva. El articulo concluye que la elección del tratamiento debe ser selectiva según los sitios de la enfermedad.
Figura 1: Radiografìa panorámica que muestra múltiples imágenes radiopacas a nivel periapical de la región anteroinferior y molar posteriore. Corte transaxial a nivel distal de la pieza 47. Muestra una imagen heterogenea, signos radiográficos sugerentes de displasia cemento-ósea florida. Imágenes correspondientes a una paciente femenino de 49 años de edad cuyo motivo de consulta es el dolor mandibular en la region mandibular derecha.
Figura 2: Remoción de la lesión junto a la exodoncia de la pieza 4.7. Confirmación histopatológica de displasia cemento-ósea.
Figura 3: Radiografía de control. Postoperatorio 2 años.
Referencia:
- Aiuto R, gucciardino F, Rapetti R, Siervo S, Bianchi A-E. Management of symptomatic florid cemento-osseous dysplasia: Literature review and a case report. J Clin Exp Dent. 2018;10(3):291-5.
Dpto. de Investigación IDM





