La neumatización severa del seno maxilar y el hueso alveolar residual delgado pueden provocar el desplazamiento de los implantes dentales hacia el seno maxilar durante la colocación o después de la restauración protésica sobre implantes. Las fuerzas de mordedura sobre la prótesis del implante y las estructuras circundantes también pueden provocar el desplazamiento del implante. El desplazamiento puede ocurrir con mayor frecuencia en pacientes sometidos a colocación de implantes simultáneos e injertos óseos después de la elevación del seno. Otro factor es la disminución de la altura del hueso alveolar residual, en particular la colocación de implantes en el hueso con una altura mínima de menos de 4 mm con injerto óseo simultáneo a través de la elevación del seno. Galindo et al. afirmó que las diferencias en la presión del aire entre el seno maxilar y la cavidad nasal y una reacción autoinmune a los implantes dentales, que causa la resorción ósea debido a la periimplantitis, también pueden provocar el desplazamiento del implante. Otros factores que influyen incluyen la falta de estabilidad primaria, la falta de experiencia del cirujano, el uso temporal de dentaduras postizas sin alivio, la sobredimensión y la aplicación inadecuada de fuerza durante la extracción de implantes no integrados.
El desplazamiento de los implantes dentales hacia el seno maxilar es raro, pero se produce principalmente en pacientes con neumatización severa del seno maxilar y / o deficiencia del proceso alveolar. Algunas complicaciones como la infección de los senos paranasales y la formación de la fístula oroantral pueden ir seguidas del desplazamiento de un implante dental. Por lo tanto, el implante desplazado debe retirarse inmediatamente con una intervención quirúrgica y debe considerarse otro plan de rehabilitación.
TRATAMIENTO
El tratamiento de elección, frente a ;esta complicación es la eliminación inmediata de implantes desplazados. Sin embargo, cuando la extracción se retrasa, la infección sinusal debe controlarse con antibióticos y descongestionantes nasales antes de la extracción del implante mediante el abordaje Caldwell-Luc o una técnica endoscópica. Después de la extracción del implante desplazado, la colocación del implante con injerto óseo se puede realizar etapa por etapa. Sin embargo, este enfoque convencional es extremadamente largo y retrasa la rehabilitación apropiada del área edéntula.
El procedimiento convencional para la extracción de un implante desplazado del seno maxilar implica el injerto óseo sinusal y la colocación de un nuevo implante en dos o más pasos con un espacio de tiempo significativo en el medio. La simplificación de estos procedimientos quirúrgicos puede disminuir la duración del tratamiento y la incomodidad del paciente.
En esta revisión, se discute las características anatómicas del seno maxilar y las complicaciones asociadas con el desplazamiento del implante en el seno y el tratamiento de la complicación. Se muestra la importancia de los exámenes por imágenes para el diagnóstico, tratamiento y control.
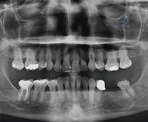
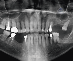
Figura 1: a) Vista panorámica preoperatoria y b) Vista de la tomografía computarizada cone beam (CBCT)
Figura 2: Ilustración que describe la ventana ósea extendida hacia arriba. a) La parte superior se utiliza para la eliminación del implante desplazado y la parte inferior se utiliza para la elevación de la membrana sinusal. b) La membrana del seno perforado se cubrió con una membrana de colágeno absorbible y los implantes se colocaron con injerto óseo sinusal
Figura 3: Fotografías intraoperatorias. a) una marca de ventana ósea. b) Extracción del implante desplazado a través de la parte superior. c) Elevación sinusal a través de la parte inferior. d) Instalación del implante con injerto óseo sinusal utilizando membrana reabsorbible y pegamento de fibrina
Figura 4: Ver CBCT posoperatorio 4 meses después.
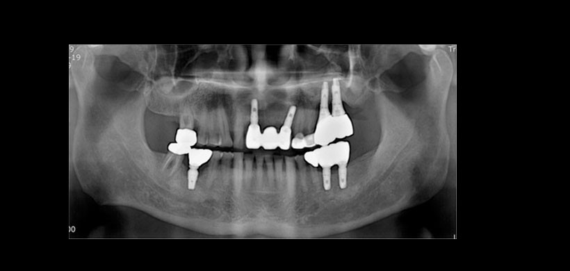
Figura 5: Vista panorámica postoperatoria 14 meses después
Referencia:
- An J-H, Park S-H, Han JJ, et al. Treatment of dental implant displacement into the maxillary sinus. Maxillofacial Plastic and Reconstructive Surgery. 2017;39(1):35. doi:10.1186/s40902-017-0133-1.
Autores: C.D Luis Alberto Cueva, Mg. Esp. Andrés Agurto Huerta







