El síndrome de Eagle (SE) fue descrito en 1937 por el otorrinolaringólogo alemán Eagle en pacientes que habían sido sometidos previamente a una amigdalectomíase, se refiere a una anomalía sintomática debida a la elongación del proceso estilóide o la mineralización del complejo estilohioideo. Aunque la longitud normal del proceso estilóide puede variar de 1,52 a 5 cm, se considera comúnmente como alargada cuando la longitud excede 3 cm. Existen relaciones entre cadena y elementos neurales (pares craneales V, VII, IX, X) y vasculares (Arteria carótida interna y vena yugular) que deben ser considerados.
EL SE originalmente se estimó una incidencia del 4% de mineralización del proceso estilohioideo en la población general. Únicamente entre el 4-10.3% de estos pacientes van a presentar sintomatología relacionada con el síndrome de Eagle. El SE es más comúnmente observado en las mujeres en la tercera a la quinta década de vida.
DIAGNÓSTICO
Síntomas
Los síntomas no específicos del SE pueden plantear desafíos diagnósticos al clínico.
Los síntomas neuropaticos y vasculares oclusivos se presentan con variabilidad, éstos síntomas incluyen dolor de garganta o faringe, disfagia, sensación de cuerpo extraño en la garganta, otalgia, tinnitus y dolor ocular. Por lo tanto, es crucial incluir al SE entre los diagnósticos diferenciales al evaluar pacientes con síntomas similares a otras afecciones.
Examenes por imagenes
Se han utilizado múltiples modalidades de estudio imagenológico para confirmar el diagnóstico clínico, incluyendo las radiografías lateral de cuello y anteroposterior de cráneo, panorármica, la tomografia computarizada de haz cónico (TCHC) y la tomografía espiral multicorte (TEM) La técnica de elección para el diagnóstico y evaluación del síndrome de Eagle es el TEM con reconstrucción 3D. Permite obtener información del tamaño, dirección y relación del complejo estiloideo con las estructuras vasculonerviosas cercanas
TRATAMIENTO
Una vez confirmado el diagnóstico, el plan de tratamiento debe ser adaptado de acuerdo con las necesidades individuales del caso y realizado sin demora. Se han descrito tanto métodos farmacológicos como quirúrgicos para el tratamiento de los pacientes. Sin embargo, para aquellos que sufren de síntomas persistentes, la extirpación quirúrgica del proceso estilohioideo alargado es el tratamiento de elección y se puede hacer con un enfoque intraoral o extraoral.
El síndrome de Eagle debe ser considerado en el diagnóstico diferencial del estudio de un paciente con dolor orofacial crónico. Considerando que las manifestaciones clínicas pueden ser muy variables, es muy común que el paciente consulte a varias especialidades médicas como: otorrinolaringología, neurología, cirugía maxilofacial u odontología, donde muchas veces son manejados en forma sintomática sin que se realice un diagnóstico adecuado.
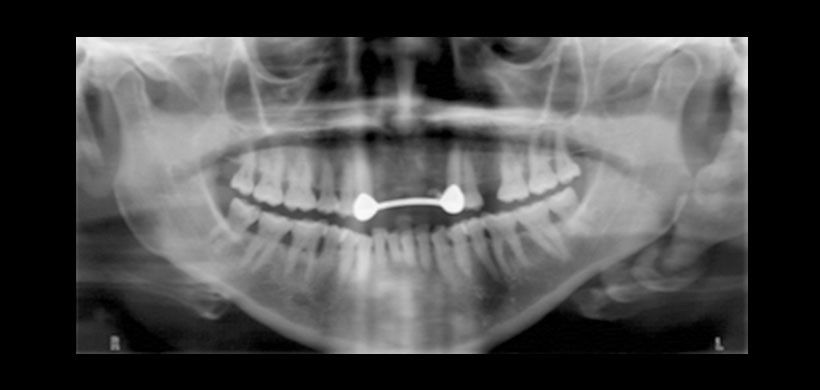
Figura 1. Radiografía panorámica, es el examen de imagen de mayor uso y en el cual se realiza la primera evidencia de la mineralización se los procesos estilohioideos.
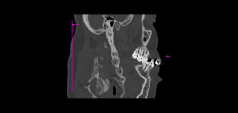
Figura 2. Tomografía de haz cónico (TCHC), es unos de los examenes ideales para determinar la mineralización, el grosor y la angulación de los procesos estilohioideos. En la imagen se muestra una vista sagital donde se visualiza una mineralización con un importante espesor del proceso estilohioideo del lado derecho.
Figura 3: Renderizado de la tomografía de haz cónico, muestra de manera grafica la mineralización, el cual se le puede mostrar al paciente de manera didactica para proceder con el tratamiento de elección.
Referencia:
- Elimairi I, et al. Eagle´ Syndrome. Head and Neck
Autores: C.D Luis Alberto Cueva, Mg. Esp. Andrés Agurto Huerta





