El conocimiento de la bifurcación del conducto dentario inferior (CDI) es importante, ya que ofrece posibles explicaciones para el fracaso de la anestesia, y para el sangrado intraoperatorio, la formación de un hematoma, alteraciones sensoriales y después de la operación. La incidencia de la bifurcación del ha aumentado desde la introducción de los exámenes tridimensionales (de 0,08% a 66%), y muchos autores han concluido que la tomografía computarizada de haz cónico (TCHC) detecta estas y otras variaciones anatómicas (como un doble agujero mentoniano y foramen lingual) mejor que la radiografía panorámica dental.
La TCHC da una imagen detallada del canal del nervio, de sus tejidos circundantes y permite la identificación de una bifurcación, el sitio preciso y también muestra la dirección del conducto accesorio.
Shah, Murtadha y Brown realizaron un estudio descriptivo del estudio de la anatomía de la bifurcación del conducto dentario inferior, tuvieron como objetivos encontrar la incidencia y describir las características de la bifurcación y clasificarlas. También se comparó la sensibilidad y especificidad de la radiografía panorámica con la tomografía de haz cónico para identificarlos.
Dentro de todos los parámetros que se pueden evaluar la bifurcación del conducto dentario inferior, se pueden mencionar:
Tamaño: El tamaño se clasificó de acuerdo con el diámetro del canal de acceso. Un canal accesorio se consideraba grande si su diámetro era mayor o igual que el 50% del canal principal. Se consideró pequeño si era menos del 50%.
Sitio: El sitio de la bifurcación en relación con el tercer molar inferior. Se eligió una distancia de 2 mm desde la superficie de la raíz, en función del diámetro de una fresa de fisura quirúrgica comúnmente utilizada en la cirugía del tercer molar.
Dirección: La dirección del canal accesorio también se observó en relación con el canal principal. No se clasificaron las bifurcaciones que producen canales accesorios que ingresaron directamente en el ápice de una raíz.
Se muestra un artículo científico el cual muestra la utilidad de la tomografía de haz cónico en la evaluación anatómica de la bifurcación del conducto dentario inferior, sugierendo parámetrod de evaluación como la ubicación, dirección y tamaño
Figura 1: Medición del diámetro del conducto dentario inferior para clasificar al conducto accesorio en pequeño y grande.
Figura 2: Distribución de canales bífidos que surgen del canal del nervio dental inferior en relación con el tercer molar inferior. Las ubicaciones de los canales se pueden describir como tipo 1, tipo 2d, tipo 2m y tipo 3.
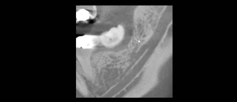
Figura 3: Bifurcación del conducto mandibular inferior, canal accesorio tipo 2D en una dirección superior.
Figura 4: Conducto dentario inferior bífido de tipo 3 que discurre en una dirección superior.
Referencia:
- Shah NP, et al. Bifurcation of the inferior dental nerve canal: an anatomical study. Br J Oral Maxillofac Surg (2017), Enlace aquí
Autores: C.D Luis Alberto Cueva, Mg. Esp. Andrés Agurto Huerta






