Las anomalías dentales son las anormalidades de las estructuras dentales humanas que resultan de las alteraciones durante la formación del diente. La herencia, sistémica y familiar puede ser responsable de estos trastornos del desarrollo. La mayoría de estas influencias son genéticamente mediadas y por lo tanto, los dientes primarios y permanentes son afectados. Una de tales anomalías en la morfología del diente es el taurodontismo. Se trata de un trastorno del desarrollo del diente que carece de constricción a nivel de la unión ce- mentoenamel (UCA), caracterizado por cámaras pulpares verticalmente alargadas, desplazamiento apical del suelo pulpar y furcación de las raíces.
El término taurodontismo viene de la palabra latina tauros, que significa «toro» y el término griego odus, que significa «diente» o «diente de toro». Gorjanovic-Kramberger describió por primera vez este tipo de anomalía en 1908; sin embargo, el término taurodontismo fue introducido por Sir Arthur Keith en 1913 para describir dientes molares parecidos a los de ungulados, particularmente toros.
La etiología del taurodontismo no está clara, tiene diversas causas posibles que incluyen un patrón inusual de desarrollo, un retraso en la calcificación del suelo de la cámara pulpar, una alteración en la vaina de la raíz epitelial de Hertwig, junto con un aparente fracaso del diafragma epitelial para invaginarse en el horizonte normal, una unión tardía o incompleta de las aletas horizontales del diafragma epitelial. Ciertos informes recientes han descrito una asociación entre el taurodontismo, la herencia familiar y las malformaciones genéticas. Se dice que es más frecuente en individuos con fisura labial y palatina, síndromes como Down, Klinefelter, Apert, Mohr. Sin embargo, contemporáneamente se considera como una variante anatómica que podría ocurrir en una población normal.
Se ha informado que la prevalencia del taurodontismo en diferentes poblaciones oscila entre el 5,67% y el 60%. Sin embargo, se encontró que el 0,3% en los niños. Aunque los varones son comúnmente más afectados que las mujeres, no hay una predileccion por el sexo. La dentición permanente es más frecuentemente implicada que la dentición primaria, siendo la las piezas de la mandíbula las más frecuentemente implicadas que el maxilar. A pesar de que se ha informado de muy baja incidencia en la literatura con respecto a los dientes primarios, estudios anteriores presentan como un rasgo aislado con cualquiera de los arcos afectados, más frecuentemente con los segundos molares primarios.
A pesar de su baja incidencia, un diagnóstico adecuado del taurodontismo es crucial en la implementación de un plan de tratamiento adecuado. El presente reporte busca brindar información con respecto a que el turodontismo afecta tanto a la dentición permanente, como a la dentición decidua.
Figura 1: Diagrama de diente normal y 3 subtipos de diente taurodontico: hipo, meso e hipertaurodontico
Figura 2: Radiografías periapicales preoperatorias de un paciente pediatrico de 3 años de edad. Se realizó el examen radiográfico por presencia de múltiples lesiones de caries.
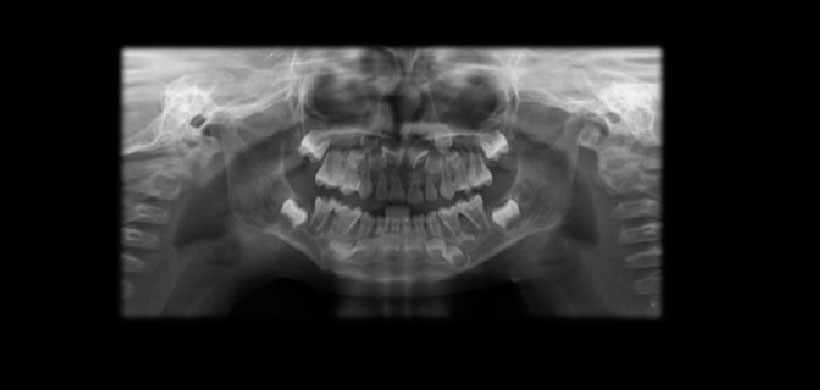
Figura 3: Radiografía panorámica mostrando las alteraciones en las dimensiones de la cámara pulpar de las molares deciduas mandibulares en ambos lados asociados a lesiones de caries.
Figura 4: Radiografías periapicales luego de los tratamientos pulpares y de la rehabilitacion de las piezas dentarias con coronas protésicas.
Referencia:
- Avula JS., Sreedevi E., Satya Gopal A., Naga Lakshmi M. A Rare Condition of Bimaxillary Primary Molar Taurodontism. J Dent Shiraz Univ Med Sci., 2017; 18(2): 153-156.
Autores: C.D Luis Alberto Cueva, Mg. Esp. Andrés Agurto Huerta






