La interrupción en el proceso de odontogénesis da como resultado un diente supernumerario. Esto puede ocurrir por la división del órgano del esmalte o por la proliferación celular no coordinada. La etiopatogenia exacta de los dientes supernumerarios es aún desconocida; sin embargo, pueden tener tendencias familiares. La hiperactividad de la lámina dental, la mutación genética, la dicotomía o los factores ambientales también pueden contribuir.
Los dientes supernumerarios provocan una variedad de complicaciones, como impactación de los dientes adyacentes, apiñamiento severo, espaciamiento entre piezas permanentes, desplazamiento, rotación de los dientes, interferencias de la oclusión, caries, problemas periodontales, problemas de masticación, problemas estéticos.
Otras características patológicas asociadas con múltiples dientes supernumerarios son la formación de un quiste dentígero con destrucción ósea asociada, desplazamiento de los dientes adyacentes, reabsorción de raíz y fístula entre cavidad oral y nasal. Los quistes dentígenos representan uno de los quistes odontogénicos más comunes, frecuentemente asociado con dientes impactados como los caninos o terceras molares y en ocasiones mas raras con dientes supernumerarios y odontomas. La aparición de quistes dentígenos con dientes deciduos es un fenómeno raro.
Se ha observado ocasionalmente quiste dentígero asociado con diente supernumerario y mesiodens. Alrededor del 5% de todos los quistes dentígenos son atribuidos por los quistes dentígenos con dientes supernumerarios. Suelen aparecer en la región anterior del maxilar en asociación con mesiodens. La aparición de quiste dentígero con dientes supernumerarios fue descrita por primera vez por Pitts en 1924 y la asociación del quiste dentígero con los dientes supernumerarios fue observada por Lustman y Bodner en 1988. Se presenta un raro caso de quiste dentígero con mesiodens impactados invertidos en un paciente masculino de 32 años
El quiste dentígero es un quiste odontogénico de desarrollo común, asociado principalmente con dientes permanente como las terceras molares mandibulares y caninos maxilares impactados, sin embargo se debe considerar que también pueden aparecer junto a piezas supernumerarios. El diagnóstico y el tratamiento oportunos son obligatorios para prevenir complicaciones.
Figura 1: Fotografía extraoral que muestra un aumento de volúmen en la región anterior del maxilar superior que ocasiona el borramiento del surco naso labial.
Figura 2: Fotografía intraoral que muestra un aumento de volumen a nivel de la tabla ósea vestibular con borramiento del fondo de surco que se extiende de la zona de pieza 11 a la zona de la pieza 24.
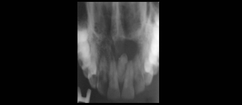
Figura 3: Radiografía oclusal superior que muestra la presencia de un diente supernumerario (mesiodens) en posición invertida con una imagen radiolucida pericoronal de limites definidos que se extiende de pieza 11 a pieza 22.
Figura 4: Fotografía intraoperatoria que muestra la cavidad quistica.
Figura 5: Fotografía de la pieza quirurgica posterior a la enucleación.
Figura 6: Examen histopatológico que muestra una pared quística con epitelio escamoso estratificado no queratinizado.
Referencia:
- Hasan S, Ahmed SA, Reddy LB. Dentigerous cyst in association with impacted inverted mesiodens: Report of a rare case with a brief review of literature. International Journal of Applied and Basic Medical Research. 2014;4(1):61-64.
doi:10.4103/2229-516X.140748.
Autores: C.D Luis Alberto Cueva, Mg. Esp. Andrés Agurto Huerta








