163 – Cementoblastoma benigno asociado a dientes deciduos

Indice del articulo

Los tumores odontogénicos son los que surgen de los tejidos del aparato odontogénico. Estos tumores se derivan de tejido ectodérmico (tumores epiteliales) o de tejido mesodérmico (tumores de tejido conjuntivo) o están compuestos por ambos componentes (tumores odontogénicos mixtos o compuestos). Los cementoblastomas son lesiones benignas del ectomesénquima odontogénico que rara vez se presenta en la dentición primaria. El cementoblastoma es una verdadera neoplasia de cemento. La aparición de estas lesiones es más común en pacientes jóvenes, y aproximadamente el 50% de ellos se producen antes de los 20 años. La mayoría de los cementoblastomas están estrechamente relacionados y en parte rodean una raíz o raíces de un solo diente permanente en erupción.

El cementoblastoma es una lesión rara que representa <1% de los tumores odontogénicos. El área más afectada es la mandíbula (50% de área molar y premolar) y nunca se asocia con los dientes anteriores. En  una  búsqueda exhaustiva de los datos publicados recuperó un total de 14 casos que se han informado en relación con los dientes primarios, incluido el presente caso, en éstos casos las mujeres (78.5%) son más comúnmente afectadas que los hombres (21.5%).

La principal característica distintiva del cementoblastoma es su conexión con la raíz del diente final. Las características histológicas del cementoblastoma incluyen tejido similar al cemento con numerosas líneas de reversión y, entre estos tejidos duros mineralizados y trabeculares, está presente tejido fibrovascular con células similares a cementoblasto junto con células gigantes multinucleadas.

La apariencia radiográfica de un cementoblastoma es de una radiopacidad bien definida rodeada por una zona radiolucida. Clínicamente, implica la expansión de los huesos, la hinchazón y el dolor. No se repite si el tumor / lesión se elimina por completo. Se debe evitar la excisión y extirpación incompleta, ya que se ha informado una tasa de recurrencia tan alta como 37.1%.

Los cementoblastomas asociados con dientes temporales son extremadamente raros. Si bien el pronóstico del cementoblastoma es excelente, la recurrencia está estrechamente relacionada con la extirpación quirúrgica del tumor en masa. El seguimiento radiológico y clínico es, por lo tanto, un procedimiento de carácter obligatorio.

Figura 1: Fotografía intraoral que muestra un aumento de volúmen de la zona vestibular a nivel de las piezas 84 y 85 en un niño de 7 años.

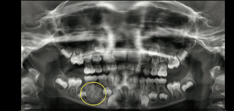
Figura 2: Radiografía panorámica preoperatoria, que muestra una imagen radiopaca de límites definidos rodeado de un halo radiolucido, asociada a la raíz mesial de la pieza 85, se visualiza el desplazamiento de los gérmenes dentarios de las piezas 44 y 45.r

Figura 3: Procedimiento quirúrgico. a) Elevación del colgajo, b) pieza dentaria comprometida, c) Excisión del tejido patológico.

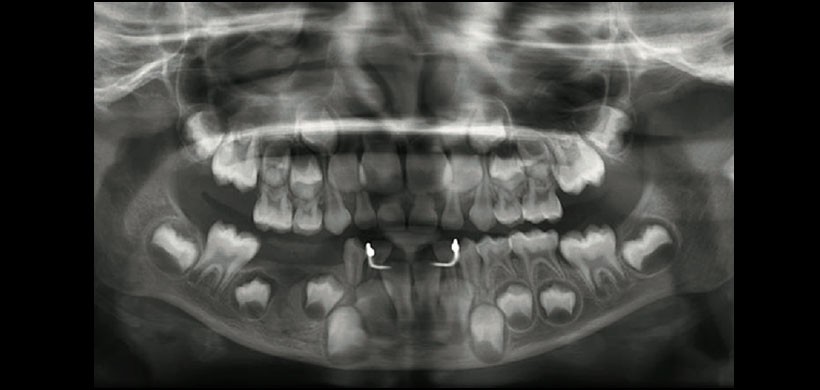
Figura 4: Radiografía panorámica post operatorio a los 6 meses, no se evidencia recurrencia.

Referencia:

  1. Nuvvula S, Manepalli S, Mohapatra, Mallineni S. Cementoblastoma Relating to Right Mandibular Second Primery Molar. Case Reports in Dentistry 2016:1-5.

Autores: C.D Luis Alberto Cueva, Mg. Esp. Andrés Agurto Huerta

Picture of C.D. Luis Alberto Cueva
C.D. Luis Alberto Cueva
Cirujano Dentista titulado de la Universidad Particular de San Martín de Porras. Miembro del Staff del Instituto de Diagnóstico Maxilofacial (IDM). Miembro del Colegio Odontológico del Perú. Cirujano Dentista en el Ministerio de Salud (MINSA). Autor del Artículo Científico en Colonización Microbiana de la cavidad bucal en Neonatos nacidos en el Instituto Nacional materno Perinatal, así como los factores que la condicionan. Rev. Peru. Investig. Matern. Perinatal. 2014; 3 (1): 8-12. Idioma Portugués cursado en el Centro Cultural Brasil - Perú CCBP.

Casos relacionados

Deja una respuesta

Tu dirección de correo electrónico no será publicada. Los campos obligatorios están marcados con *