El atlas (C1) es la primera vértebra cervical (más superior) de la columna vertebral. Tiene varias características morfológicas que lo diferencian de otras vértebras, incluyendo la ausencia de un cuerpo vertebral, una forma única en forma de anillo. El atlas normal es una estructura anular que consiste en dos masas laterales conectadas por un arco anterior corto y un arco posterior más largo. Es la vértebra cervical más ancha, con su arco anterior siendo aproximadamente la mitad de largo que el arco posterior.
El ponticulus posticus (PP) es un puente óseo que surge de la porción posterior del atlas, del proceso articular superior y la porción postero-lateral del margen superior del arco posterior del atlas que rodea total o parcialmente la arteria vertebral. El PP no fue motivo de preocupación para los cirujanos de columna hasta que su importancia quirúrgica surgió en la inserción de tornillos en la masa lateral del atlas. Se ha producido un aumento constante en el número de pacientes tratados con tornillos de masa lateral C1 a través del arco posterior. Aunque actualmente se utilizan comúnmente diferentes tipos de evaluaciones de maduración esquelética basadas en las vértebras cervicales para interpretar el potencial de crecimiento de los pacientes jóvenes, se presta una atención inadecuada a la anatomía radiológica de esta región con vistas a identificar la patología.
El conocimiento de la anomalía del PP es fundamental para los cirujanos que realizan fusiones atlantoaxiales posteriores. Young et al. informó que confundir el PP con un solo arco ancho posterior del atlas durante la colocación de tornillos podría causar lesión en la arteria vertebral.
Se ha informado que la prevalencia de PP está entre el 5,14% y el 37,83% en la población occidental. Paraskevas et al. creen que la prevalencia del PP está relacionada con la edad; sin embargo, no existen estudios que evalúen la presencia de esta formación en pacientes jovenes.
La caracterización exacta de PP es posible sólo con tecnología tridimensional, como la tomografía computarizada de haz cónico (TCHC). Este examen puede usarse para medir la longitud de las estructuras anatómicas de la región craneofacial. Se ha convertido en una herramienta importante para la imagen diagnóstica de las estructuras óseas orales y maxilofaciales y tiene una excelente calidad de imagen y mayor precisión diagnóstica y sensibilidad.
Los examenes por imágenes son importantes para el diagnóstico y la planificación adecuada del tratamiento. Tanto las imágenes en 2D como las imágenes tridimensionales brindan detalles anatómicos por el cual el cirujano dentista toma decisiones fundamentales para el paciente. En esta oportunidad hablamos del ponticulus posticus una variante anatómica de relevancia médica que puede ser visualizada en los examenes 2D como las radiografías cefalométricas como tambien en las tomografías volumétricas. Su identificación en importante para respectiva notificación y consideraciones a tener.
Figura 1. Ponticulus posticus, arco óseo que conecta el cóndilo articular superior y el arco posterior del atlas, podemos observar la presencia de un Ponticulus posticus en atlas seco y en radiografía de pieza anatómica en vistas laterales.
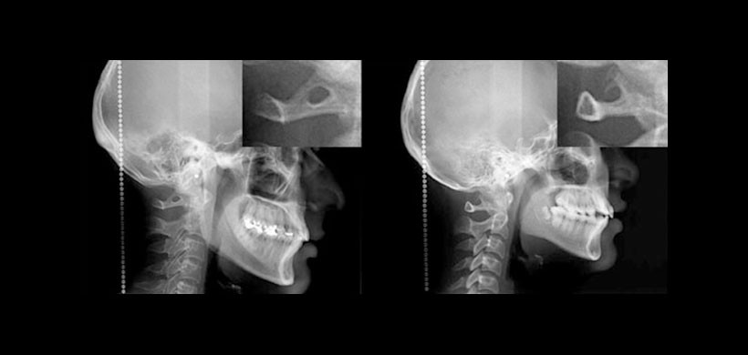
Figura 2. Presencia de ponticulus posticus en radiografías cefalométricas. En la imagen izquierda se observó un puente óseo completo mientras que la imagen derecha mostraba una osificación parcial.
Figura 3: Varios tipos morfológicos de ponticulus posticus vistos en la vista posterior de las imágenes de tomografía computarizada de haz de cono (a-c). Bilateral completo (a y b); bilateral parcial (c) y completa a la derecha y parcial a la izquierda (d)
Figura 4: Vista de un atlas. Vista superior posterior de la imagen de tomografía computarizada tridimensional del atlas (normal) (a); vista oblicua (postero-superior y derecha) permite ver diversos tipos morfológicos de ponticulus posticus. Estas perspectivas permiten una mejor evaluación estructural de los pnticulus posticus completos bilaterales (b) y (c)
Referencia:
- Buyuk SK, Sekerci AE, Benkli YA, Ekizer A. A survey of ponticulus posticus: Radiological analysis of atlas in an orthodontic population based on cone-beam computed tomography. Niger J Clin Pract 2017;20:106-10.
Autores: C.D Luis Alberto Cueva, Mg. Esp. Andrés Agurto Huerta






