153 – Displasia fibrosa craneofacial (DFC)

Indice del articulo

La Displasia Fibrosa (DF) es una enfermedad fibrosa ósea. Fue originalmente descrito por Lichtenstein hace más de sesenta años. Se presenta con el reemplazo de las estructuras óseas con tejido celular fibroso que contiene focos de osificación. Los investigadores han revelado su asociación con la mutación en el gen Mthe (GNAS I).

Es evidente a partir de la literatura que con mayor frecuencia (en casi el 80% de los casos) la DF afecta a un solo hueso y esta forma se llama DF monostótica, mientras que en el caso en que haya múltiples huesos involucrados, se llama como FD poliostótica. La forma poliostótica también puede presentar características como pigmentación de la piel en forma de manchas café con leche y pubertad precoz en el síndrome de McCune-Albright, que afecta principalmente a mujeres jóvenes. Cuando se ven afectados los huesos esfenoides, cigomáticos, frontonasales o de la base del cráneo, la enfermedad se denomina DF craneofacial (DFC). La afectación craneofacial ocurre en alrededor del 30% de los casos de displasia fibrosa monostótica y típicamente afecta el maxilar, la mandíbula o rara vez, la calota. La forma poliostótica de la enfermedad tiene casi un 100% de afectación de los huesos craneofaciales

PRESENTACIÓN CLÍNICA

La presentación clínica de la DFC varía con el hueso primario involucrado y la extensión de la enfermedad. Además, es de interés saber que el alcance de esta enfermedad no tiene correlación con el inicio de la enfermedad, tiene su inicio durante los primeros años de vida, generalmente en la última infancia o la adolescencia temprana. Sin embargo, todavía no es raro que la enfermedad reanude la progresión continua en etapas posteriores, incluso después de la tercera década, se ha informado que la forma poliostótica tiene una clara predilección femenina. Otros signos y síntomas que se presentan dependen del área de implicación. La progresión de la enfermedad se detiene por sí sola después de la maduración del esqueleto craneofacial. La DFC puede incluso conducir a ciertas condiciones temidas como pérdida de visión u otros trastornos ópticos que pueden incluir pérdida de la visión del color, defectos periféricos / centrales del campo, defecto pupilar aferente, distopía, disestesias en la distribución del nervio trigémino, epífora y dolores de cabeza

EXAMENES POR IMÁGENES

La literatura revela que los márgenes, la estructura interna y el efecto sobre las estructuras adyacentes en la DF se caracterizan mejor en imágenes de TC. Los autores revelan que la densidad y el patrón trabecular del hueso en las lesiones con DF pueden variar debido a la combinación de elementos óseos y fibrosos. Las lesiones pueden ser más radiotransparentes en etapas iniciales que pueden presentarse como un patrón lítico de trabéculas. En etapas posteriores se vuelve radiopaco a medida que la lesión madura, que puede presentarse como un tipo esclerótico. La literatura destaca que el patrón más común observado es de tipo mixto con una incidencia del 40% mientras que el tipo esclerótico constituye el 35% de los casos informados. La base del cráneo es el lugar anatómico más frecuente para que esto ocurra. El patrón lítico es el patrón menos común observado, esto se puede atribuir al hecho de que la mayoría de las veces el paciente nunca presente signos o síntomas durante las etapas iniciales de la enfermedad.

Las lesiones maduras en casos raros pueden tener tabiques internos granulares que conducen a una apariencia multilocular de la lesión. El hueso afectado por DFC puede presentar trabéculas cortas, delgadas. Además, pueden ser numerosos en comparación con las trabéculas de hueso normal. Esto conducirá a un patrón radiográfico variado que puede ser granular, patrón denso amorfo y patrón de huella digital. El patrón granular es, además, una apariencia de vidrio esmerilado que se asemeja a pequeños fragmentos de parabrisas rotos.

La imagen radiográfica de DF varía con la morfología interna de la lesión y con el sitio anatómico involucrado. Los huesos delgados conducen a una expansión rápida y mayor de la corteza en comparación con los huesos gruesos. De ahora en adelante, los huesos más gruesos cuando se ven afectados por muestran menos radiotransparencia, cavitación y compartimentalización en comparación con los huesos delgados. Sin embargo, por el contrario, la DF localizado en la RM a menudo imita un tumor.

La representación TCHC de FD es característica y consta de tres variedades: patrón de vidrio esmerilado (56%), patrón homogéneamente denso (23%) y variedad quística (21%). Las características de TC de DF incluyen la expansión del hueso involucrado con un patrón heterogéneo de densidades de TCHC asociadas con islas de formación ósea dispersas o confluentes. Dependiendo del contenido óseo y fibroso de la lesión, los investigadores han informado una atenuación en el rango de 34 a 513 HU.

Aunque la histopatología se considera el “gold estándar” para diagnosticar cualquier enfermedad, los exámenes por imágenes, en particular la TCHC, tiene un papel importante en el diagnóstico, planificación, tratamiento y en el seguimiento

Figura 1: Evaluación extraoral de un paciente con aumento de volumen, asintomático.

Figura 2: Radiografía submentovertex que revela la expansión de la mandíbula del lado izquierdo.

Figura 3: Corte axial de TC con ventana ósea que revela la participación de los huesos temporales, cigomáticos, frontales y etmoidales. El hueso esfenoidal también se ve comprometido e involucrado en el estrechamiento del canal óptico y en las fisuras orbitarias.

Figura 4: Corte coronal de TC  que revela la lesión que cruza la línea media en la región frontal con afectación de Crista Galli.

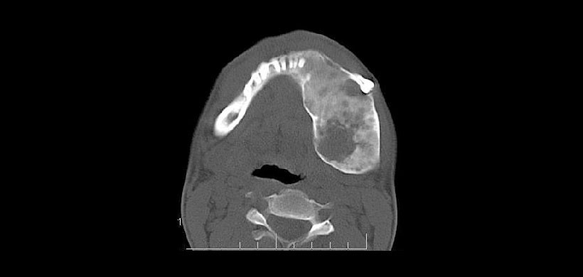
Figura 5: La sección axial de TC revela la expansión del cuerpo mandibular con erosiones y destrucción de las estructuras internas. El desplazamiento del diente también se observó.

Figura 6: Paciente con asimetría de la región maxilofacial.  Hinchazón a lo largo de la tibia izquierda de la tibia.

Figura 7: Vista Posteroanterior muestra una asimetría de la región maxilofacial.  

Figura 8: Vista lateral de la tibia con evidencia de esclerosis de la parte superior y media del eje de la tibia junto con áreas líticas en la irregularidad esclerótica del hueso.

Figura 9: Sección de TC coronal que muestra la afectación del lado derecho de la mandíbula con la ATM, la fosa glenoidea, el hueso temporal, el hueso frontal y el maxilar superior.

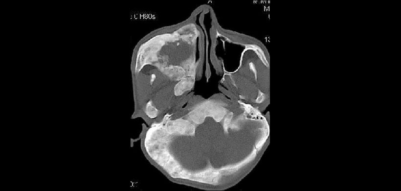
Figura 10: Corte axial de TC que muestra la afectación del seno maxilar derecho. Además, el arco zigomático, el cigoma, la base del cráneo, el proceso mastoideo, las placas pterigoides y el esfenoides del lado derecho también estuvieron involucrados. Hubo evidencia de participación de cóndilos occipitales de ambos lados y del clivus.

Referencia:

  1. Gupta D, Garg P, Mittal A. Computed Tomography in Craniofacial Fibrous Dysplasia: A Case Series with Review of Literature and Classification Update. The Open Dentistry Journal. 2017;11:384-403.

Authors: C.D Luis Alberto Cueva, Mg. Esp. Andrés Agurto Huerta

Picture of C.D. Luis Alberto Cueva
C.D. Luis Alberto Cueva
Cirujano Dentista titulado de la Universidad Particular de San Martín de Porras. Miembro del Staff del Instituto de Diagnóstico Maxilofacial (IDM). Miembro del Colegio Odontológico del Perú. Cirujano Dentista en el Ministerio de Salud (MINSA). Autor del Artículo Científico en Colonización Microbiana de la cavidad bucal en Neonatos nacidos en el Instituto Nacional materno Perinatal, así como los factores que la condicionan. Rev. Peru. Investig. Matern. Perinatal. 2014; 3 (1): 8-12. Idioma Portugués cursado en el Centro Cultural Brasil - Perú CCBP.

Casos relacionados

Deja una respuesta

Tu dirección de correo electrónico no será publicada. Los campos obligatorios están marcados con *