La salud bucal es uno de los factores más importantes en la vida de los seres humanos y la higiene bucal ha sido la medida preventiva más eficaz sobre el control de las diversas enfermedades, principalmente la caries dental, que aparecen en las primeras etapas de la vida. A continuación mencionaremos los principales factores a considerar para tener una buena salud bucal en esta etapa importante de la vida:
LACTANCIA MATERNA: Se debe fomentar la lactancia materna exclusiva hasta el sexto mes de vida, desaconsejar la lactancia materna nocturna después de la erupción del primer diente.
USO DEL BIBERÓN: Debe utilizarse sólo como vehículo para la leche, los demás líquidos deben ofrecerse solo en tacitas, No agregar ningún tipo de azúcar o miel. Abandonar el biberón alrededor del año y definitivamente cuando erupcionen sus molares.
USO DE CHUPETES: Debe ser anatómico y abandonarse alrededor del año y definitivamente antes de los 2 años.
TRANSIMISIÓN BACTERIANA: Desaconsejar hábitos como: compartir cucharas con el bebé, limpiar el chupón con la saliva, soplar sobre la comida o besar en la boca en los primeros años de vida.
ALIMENTACIÓN CARIOGÉNICA: Evitar toda fuente de azúcares refinados los primeros dos años de vida, desaconsejar la ingestión de azúcares entre comida y aquellos con consistencia pegajosa.
HIGIENE BUCAL: Debe ser iniciado a partir del cuarto mes de vida, mediante dedales o gasas. La higiene debe ser realizada por los padres hasta que el niño sea autónomo (6 o 7 años de vida). Si el niño no sabe escupir realizar el cepillado solo con agua, se debe utilizar pasta fluorada (100 – 1450 ppm)
USO DE FLÚOR: Se desaconseja el uso de flúor sistémico durante el embarazo, el odontopediatra puede prescribir flúor tópico de acuerdo al riesgo de caries de cada infante.
VISITA AL ODONTOPEDIATRA: Todo niño debe ser visitado por un odontopediatra antes de su primer año de vida.
La educación basada en el control de los factores de riesgo debe ofrecerse no solamente a los padres y familiares, sino que también debe estar presente en todos los ambientes que rodean al infante: servicios sanitarios, guarderías, escuelas, programas comunitarios y políticos, etc. Dicha educación debe empezar precozmente, idealmente durante el embarazo y los primeros años de vida del infante.
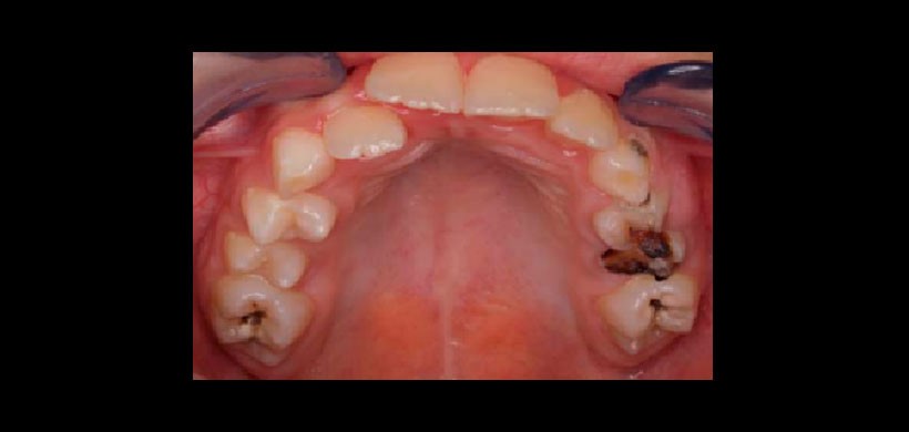
Fig 1. Caries de aparición temprana, es una enfermedad que altera la salud bucal en la primera infancia, conlleva a pérdidas prematuras dentarias y a problemas futuros de maloclusiones.
Fig 2. Higiene bucal, debe ser iniciada al cuarto mes d vida mediante el uso de dedales y posteriormente cambiarlas por un cepillo anatómico, el cepillado dental debe ser realizado por los padres hasta que el niño sea autónomo (alrededor de los 6 a 7 años de vida)
Fig 3. Pasado los 2 años (una vez que el niño aprenda a escupir), es imprescindible el cepillado con una pasta fluorada (1000 – 1450 ppm) en cantidad equivalente a un guisante.
Fig 4. Todo niño debe ser visitado por un odontopediatra antes de su primer año de vida.
REFERENCIA:
http://www.odontologiapediatrica.com/img/SEOP__Camila_Palma.pdf
http://www.dentistryforbabies.com/pdf/Guia%20para%20la%20salud%20bucal.pdf
Elaborado por : C.D. Luis Alberto Cueva Principe, Mg. Esp. C.D. Andrés Agurto Huerta.






