El granuloma central de células gigantes (GCCG) fue identificado por Jaffe en 1953 por primera vez. La Organización Mundial de la Salud (OMS) ha definido al GCCG como una lesión intraósea que consiste en tejido fibroso celular que contiene múltiples focos de hemorragia, agregaciones de células gigantes multinucleadas, y en ocasiones, trabéculas de hueso reticular. El GCCG es una lesión poco frecuente, benigna y proliferativa, representa menos del 7% de todas las lesiones benignas de la mandíbula cuya etiología no está bien definida, pero la ocurrencia de CGCG en pacientes con enfermedades genéticas conocidas, tales como la neurofibromatosis tipo 1, Querubinismo, y el síndrome de Noonan, podrían indicar una posible etiología genética relacionados podría ser posible.
El GCCG generalmente ocurre predominantemente en niños y jóvenes adultos, con más del 60% de todos los casos que ocurren en las primeras 3 décadas de la vida y tiene una predilección en el sexo femenino, con una proporción entre mujeres-varones de 2: 1. Aunque la mayor parte de GCCGs de los maxilares son de crecimiento lento, las lesiones responden bien al simple curetaje, un número menor tiene un comportamiento clínico agresivo. Las lesiones son más frecuentes en la mandíbula que en el maxilar superior y es más común en la región anterior de la mandíbula y con frecuencia se extienden a través de la línea media. Las características radiológicas del GCCG no han sido claramente descritas y aparecen conflictos en la literatura.
Radiográficamente, el GCCG se presenta como lesión osteolítica, que pueden ser unilocular o multilocular con márgenes bien definidos o mal definidos, de distintos grados de expansión de las corticales. En algunos casos los dientes tienden a desplazarse o a producirse reabsorción radicular. Los hallazgos radiológicos no son específicamente de diagnóstico. Es importante recordar que el aspecto radiológico de la lesión no es patognomónico y se puede confundir con la de muchas otras lesiones de los maxilares, puede confundirse con quistes periapicales, ameloblastomas u otras lesiones multiloculares.
El curetaje local de la lesión es considerado como el tratamiento de elección para el tratamiento tradicional de la GCCG. La resección se realiza solo cuando existe recurrencia o cuando el GCCG es de tipo agresivo, es decir tiene sintomatología adicional como dolor, parestesia, etc. Muchas veces el GCCG puede resultar difícil de tratar, sobre en todo en niños ya sea debido a su gran tamaño, la dificultad de curetaje en los huesos faciales frágiles, o por el riesgo de alteración de los centros de crecimiento faciales o de los dientes en desarrollo. En tales casos, se requieren extensos procedimientos de reconstrucción anatómica para la restauración y rehabilitación para lograr la forma y función satisfactoria. Yuzbasioglu et al, en su reporte de caso nos muestra el seguimiento y tratamiento rehabilitador de una paciente en la que se le diagnostico GCCG, y se evidencia la importancia del manejo multidisciplinario para obtener éxito en los resultados del tratamiento (fig.1-7)(1).
El GCCG es una lesión de carácter fibro ósea benigna pero de crecimiento lento progresivo, y puede llegar a ser agresivo. El tratamiento generalmente es e curetaje pero en muchos casos puede a llegar a ser complejos sobre todo si la lesión ocurre en pacientes pediátricos, es importante realizar el tratamiento multidisciplinario para lograr el éxito en la rehabilitación funcional y estética.
Fig. 1. Situación clínica preoperatoria de una paciente niña de 9 años con diagnóstico de GCCG.
Fig. 2. Radiografía panorámica preoperatoria del caso anterior, que muestra le lesión osteolítica bien delimitada. La imagen adyacente muestra el procedimiento quirúrgico, en la que se evidencia la colocación de placas de titanio para la fijación mandibular.
Fig. 3. Radiografía panorámica en el postoperatorio inmediato, y al año del tratamiento quirúrgico, se puede observar poco hueso alveolar en las dimensionas verticales.
Fig. 4. Distracción osteogénica del hueso alveolar para ganar altura del reborde alveolar y la planificación futura de implantes dentales. Procedimiento realizado a los 4 años del diagnóstico inicial de GCCG.
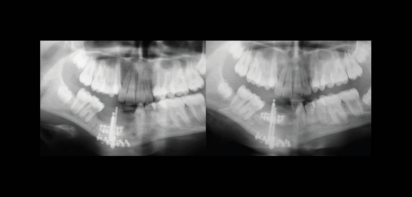
Fig. 5. Radiografías panorámicas antes y después de la distracción osteogénica, en la imagen de la derecha se muestra un mayor aumento en las dimensiones de la altura del hueso alveolar (radiografía tomada a los 6 meses después de la distracción osteogénica)
Fig. 6. Colocación de implantes dentales a 6 años del diagnóstico inicial de GCCG, confección de la prótesis parcial implantosoportada.
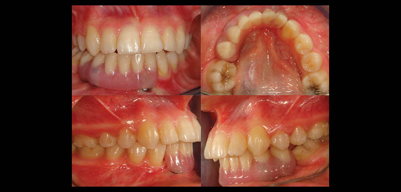
Fig. 7. Fotografía final del tratamiento multidisciplinario resultado del seguimiento de 6 años del diagnóstico inicial de GCCG.
REFERENCIA:
1. Yuzbasioglu E, Alkan A, Ozer M, Bayram M. Multidisciplinary approach for the rehabilitation of central giant cell granuloma: a clinical report. Niger J Clin Pract. 2014 Aug;17(4):528–33.
Elaborado por : C.D. Luis Alberto Cueva Principe, Mg. Esp. C.D. Andrés Agurto Huerta.









