La corrección de los problemas transversales del maxilar utilizando fuerzas ortopédicas fue descrita en la literatura hace más de 130 años. Krebs y después Wertz documentaron el incremento en la resistencia del maxilar para la expansión con el aumento de edad del paciente.
La expansión rápida de la maxila (ERM), un método descrito por primera vez en 1860. Muchos estudios basados en análisis lineal y angular confirman los cambios dentoalveolar y esquelético inducidos por este procedimiento. La dimensión transversal es clave no sólo para lograr la ganancia espacial para la alineación de los dientes, sino también para mejorar las funciones estomatognáticas, como la ampliación de la cavidad nasal, y favorecer una mejor posición de la lengua.
Dos tipos de expansores son los más utilizados. Debido a que el expansor (Haas) tiene una almohadilla acrílica en contacto con el paladar, distribuye las fuerzas expansivas a lo largo de los dientes posteriores y la bóveda palatal. Por el contrario, el expansor de diente (Hyrax) no tiene esta almohadilla de acrílico y, por esta razón, sólo presumiblemente suministra fuerzas al maxilar mediante dientes que soportan el aparato. Algunos autores reportaron efectos similares tanto para los expansores de Haas como de Hyrax ; Sin embargo, otros estudios sugieren una menor inclinación de los dientes cuando se utiliza un expansor de diente. Actualmente, se dispone de técnicas altamente desarrolladas basadas en imágenes tomográficas y modelos 3D para evaluar los cambios morfológicos dentofaciales.
Obwegeser y Steinhauser propusieron un método quirúrgico para separar la sutura media palatina y corregir las maloclusiones. En la expansión rápida palatina quirúrgicamente asistida se han reportado variaciones en la técnica quirúrgica. En 1959 Kole recomendaba la osteotomía selectiva en el hueso cortical para eliminar la resistencia dentoalveolar en los movimientos ortodónticos. Converse y Horowitz sugieren osteotomía en la cortical labial y palatal para la técnica de expansión en 1969. Timms y Vero recomendaron tres etapas para la expansión rápida palatina quirúrgicamente asistida basándose en la edad del paciente: Etapa 1 (osteotomía palatal) para pacientes de 25 años o más, o en pacientes jóvenes donde la expansión rápida palatina no ha funcionado; etapa 2 (osteotomía palatal y lateral) pacientes de 30 años o más; etapa 3 (osteotomía palatal, lateral y anterior) para pacientes de 40 años o más.
La expansión maxilar quirúrgicamente asistida en adultos es predecible y estable, por lo regular se obtiene una expansión de 3.5 mm en al área de caninos maxilares y 5.5 mm en el área de molares. La profundidad del paladar se reduce durante el tratamiento.
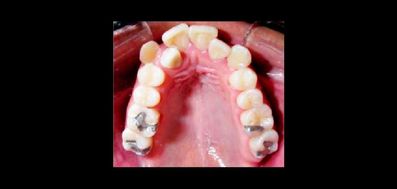
Figura 1: Arco superior, forma de arcada triangular, Incisivos laterales palatinizados, canino izquierdo fuera de arco. Apiñamiento severo.
Figura 2: A) La incisión se realiza por encima de los ápices de los incisivos en dirección de la espina nasal anterior. B) Separación del septo nasal; se realiza una osteotomía vertical, utilizando cincel.
Figura 3: Colocación y activación del tornillo de expansión
Figura 4: Tomografía cone beam. Postoperatorio, muestra la desmordida posterior a nivel de las primeras molares superiores.
Figura 5: Cambios transversales.
Referencia:
- Woller, J. L., Kim, K. B., Behrents, R. G., & Buschang, P. H. (2014). An assessment of the maxilla after rapid maxillary expansion using cone beam computed tomography in growing children. Dental Press Journal of Orthodontics, 19(1), 26–35. Enlace aquí.
- Pérez AA y col. Expansión rápida palatina asistida quirúrgicamente. Revista Odontológica Mexicana 2008;12 (4): 199-216
Autor. CD Eduardo Calle, Mg. Esp. Andrés Agurto







