La variante anatómica más importante que presenta el primer molar inferior es una tercera raíz adicional distolingual llamada radix entomolaris o bucal llamada radix paramolaris. En un tratamiento de endodoncia es importante tener la información completa sobre las variaciones de los conductos radiculares en la medida en que esta asegura el resultado sustancialmente.
La etiología de la formación del radix entomolaris (RE) es poco clara. La formación de raíces amorfas y supernumerarias podría estar relacionada con factores externos durante la odontogénesis o con la reaparición de un rasgo genético después de varias generaciones de ausencia, conocido como atavismo. Curzon sugirió que el “molar con tres raíces” tiene un alto grado de dominancia genética como se ve reflejado en el hecho de que prevalece en una misma raza. Esta estructura o raíz supernumeraria fue mencionada por primera vez en la literatura por Carabelli (1844) llamándola radix entomolaris (RE). Dicha raíz se encuentra disto lingual y en todos los casos el orificio de entrada al canal se encuentra mesio lingual del canal principal en la raíz distal.
Bolk reportó el hallazgo de una raíz adicional situada en vestibular: el radix paramolaris (RP). Esta raíz es muy rara y se encuentra con menor frecuencia que el RE. La prevalencia de RP, según lo observado por Visser, resultó ser del 0% para el primer molar inferior, 0.5% para el segundo y 2% para el tercer molar. Otros estudios, sin embargo, informan del hallazgo del RP en los primeros molares inferiores.
El primer molar mandibular por lo general tiene dos raíces, aunque algunos individuos pueden tener tres: el RE. La presencia de un RE en el primer molar inferior está asociada a determinados grupos étnicos. En las poblaciones de África se ha observado una frecuencia máxima del 3%, mientras que en Eurasia y la India la frecuencia es inferior al 5%. En poblaciones con características mongoloides (tales como los chinos, los esquimales y los indios americanos) informes señalan que el RE se produce con una frecuencia que oscila entre 5% o más del 30%. Debido a su alta frecuencia en estas poblaciones, el RE se considera una variante morfológica normal. En los caucásicos el RE no es común que se presente, la frecuencia máxima va del 3.4 a 4.2%, se considera una morfología inusual de la raíz o una raíz amorfa.
Para que un tratamiento endodóntico pueda tener éxito, es necesario localizar todos los conductos radiculares, limpiarlos a fondo y sellarlos completamente con un material inerte. El endodoncista debe conocer la morfología interna de los dientes permanentes y las posibles variaciones que estos puedan tener como es el caso de una raíz adicional situada en lingual (el radix entomolaris) o en vestibular (el radix paramolaris).
El presente caso clínico describe un primer molar inferior con RE sometido a tratamiento endodóntico con tres raíces: una mesial (con un conducto mesio vestibular y otro mesio lingual), una distal (con un conducto) y otra raíz disto lingual: radix entomolaris (con un conducto).
La anatomía del conducto radicular es muy compleja e impredecible, y la comprensión de la presencia de una raíz adicional es esencial ya que determinara el éxito del tratamiento endodóntico.
Figura 1: Fotos clínicas de primeros molares inferiores con presencia de una raíz supernumeraria a) Con dilaceración b) Con dilacercion mesial o distal c) y d) Raiz Supernumerario de una longitud menor.
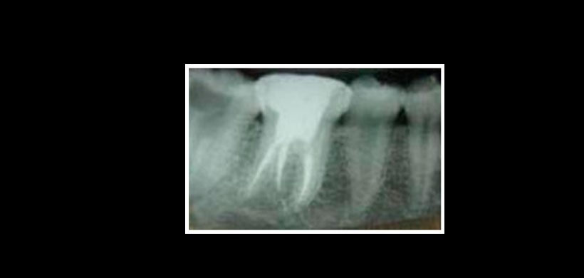
Figura 2: Radiografía inicial de la pieza 3.6.
Figura 3: Visualización de la entrada de los conductos radiculares.
Figura 4: Radiografía final pos tratamiento de coducto.
Figura 5: Tratamiento de conducto de la pieza 3.6 que presenta una raíz supernumeraria. A) Radiografía inicial, b) Visualización de la entrada de los conductos, c) Longitud de trabajo, d) Radiografía final.
Referencia:
- Thomas BJ, Nishad A, Paulaian B, Sam JE. Case reports and clinical guidelines for managing radix entomolaris. Journal of Pharmacy & Bioallied Sciences. 2016;8(Suppl 1):S160-S163. doi:10.4103/0975-7406.191949.
Autores: C.D Luis Alberto Cueva, Mg. Esp. Andrés Agurto Huerta







