El término osteosarcoma se refiere a un grupo heterogéneo de neoplasmas malignos con formación ósea o tejido mesenquimal maligno que presenta evidencia histopatológica de diferenciación osteogénica. La etiopatogenia exacta de la enfermedad aún no se conoce; sin embargo, según Tossato et al., algunos factores de riesgo se han asociado con el desarrollo de osteosarcomas, como displasia fibrosa, retinoblastoma, exposición previa a la radiactividad y osteomielitis crónica. El sarcoma osteogénico post-radiación se ha relacionado en los huesos con enfermedades benignas preexistentes, como la displasia fibrosa y la enfermedad de Paget.
La Organización Mundial de la Salud (OMS) reconoce varias variantes que difieren en la ubicación, el comportamiento clínico y el grado de atipia celular. El osteosarcoma convencional o clásico es la variante que ocurre con mayor frecuencia. Esta neoplasia se desarrolla en la región medular del hueso y puede clasificarse en varios tipos histológicos a saber: Fibroblástico, condroblástico, osteoblástico, telangiectasico y mixto.
Los osteosarcomas que afectan a los huesos del cráneo son relativamente poco comunes, con sólo alrededor del 10% se producen en la cabeza y el cuello. Aproximadamente, el 5% aparecen en los huesos maxilares y la mandíbula es el sitio más comúnmente involucrado. El rango de edad de los casos parece ser variable en varios estudios. En un estudio realizado en Curitiba, Brasil, entre 1973 y 2000, basado en los prontuarios de pacientes con osteosarcomas de cabeza y cuello, el rango de edad fue de 13 a 66 años. Los síntomas más comunes del osteosarcoma incluyen dolor persistente, edema y parestesia / anestesia. Los signos generales de la enfermedad, como fiebre o pérdida de peso considerable, son raros.
En los exámenes de imagen, como radiografías y tomografías computarizadas, el osteosarcoma se ha mostrado como una masa radiopaca o mixta, homogénea y central, multilocular y con límites mal definidos. Puede haber destrucción del hueso cortical e implicación de tejidos blandos adyacentes.
El pronóstico para los pacientes con osteosarcoma ha mejorado mucho en las últimas décadas con la introducción de la quimioterapia intensiva. El uso de la quimioterapia antes y después de la cirugía para la extirpación del tumor se ha desarrollado para promover el control local del tumor mediante la reducción de su tamaño. Los parámetros de valor pronóstico incluyen la localización del tumor, su tamaño, la respuesta a la quimioterapia, la remisión quirúrgica y la metástasis. Los factores de pronóstico desfavorable incluyen la presencia de enfermedad metastásica en el diagnóstico, resección tumoral con márgenes comprometidos, ausencia de respuesta a la quimioterapia, tumores voluminosos y niveles elevados de lactato deshidrogenasa (LDH). El tratamiento de elección en los osteosarcomas orales es la resección quirúrgica. La obtención de un margen quirúrgico libre de tumor es uno de los principales factores de control local.
El propósito de este artículo es relacionar un caso raro de osteosarcoma condroblástico maxilar con énfasis en los aspectos clínicos radiográficos del tumor.
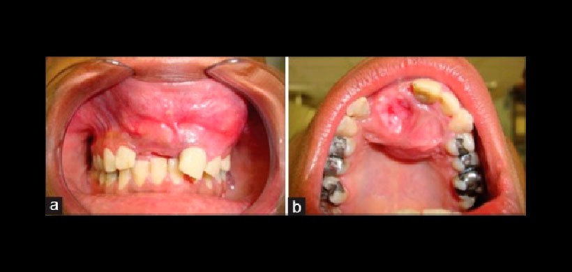
Figura 1: (A y b) Examen físico extraoral. Obsérvese asimetría facial, causada por la hinchazón en la región premaxilar izquierda, con protrusión del labio superior.
Figura 2: (A y b) El examen intraoral mostró un tumor en la región maxilar anterior que obliteraba el surco vestibular anterior. La mucosa palatina en la región del diente 11 se mostró ulcerada debido a la fricción masticatoria
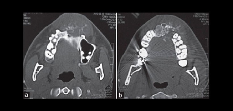
Figura 3: (A y b) La TC axial del maxilar mostró una lesión expansiva de carácter infiltrativo, con márgenes mal definidos, presentando un patrón variado de neoformación ósea causando la destrucción del hueso cortical.
Figura 4: La vista de baja potencia de la lesión muestra tejido condroide con áreas de diferenciación ósea en forma de trabéculas óseas. (Mancha H & E, × 40).
Referencia:
- Almeida E, Mascarenhas BA, Cerqueira A, Medrado ARAP. Chondroblastic osteosarcoma. Journal of Oral and Maxillofacial Pathology : JOMFP. 2014;18(3):464-468. doi:10.4103/0973-029X.151357.
Autores: C.D Luis Alberto Cueva, Mg. Esp. Andrés Agurto Huerta






