
235 – Diagnóstico de sinusitis micótica maxilar con presencia de bola fúngica
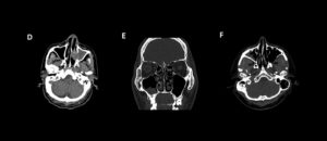
La rinosinusitis micótica (RM) es usalmente clasificada en invasiva y no invasiva. A diferencia de la RM invasiva, la no invasiva se caracteriza por la

La rinosinusitis micótica (RM) es usalmente clasificada en invasiva y no invasiva. A diferencia de la RM invasiva, la no invasiva se caracteriza por la

El examen radiográfico representa una parte esencial del manejo contemporáneo de los problemas endodónticos, desde el diagnóstico y la planificación del tratamiento hasta la evaluación

Las glándulas salivales son glándulas exocrinas que producen saliva para humedecer la boca, ayudar a la digestión y ayudar a proteger los dientes de las

La reconstrucción mandibular asistida por computadora con placas de reconstrucción fabricadas con CAD / CAM parece ser un enfoque prometedor para la reconstrucción mandibular. Se

El fibroma ameloblástico (FA) es una tumoración compuesta de ectomesénquima odontogénico que se asemeja a la papila dental con hebras y nidos epiteliales similares a

La Condromatosis Sinovial (CS) es un proceso metaplásico en el que la sinovial de una articulación produce y finalmente secreta cuerpos cartilaginosos en el espacio

El Queratoquiste Odontogénico (QO), es una entidad patológica cuyo tratamiento sigue siendo controversial. La enucleación es el método de tratamiento más utilizado sin embargo representa

El objetivo principal del tratamiento del conducto radicular es la limpieza mecánica y química completa de toda la cavidad de la pulpa y su relleno

DefiniciónLa sinusitis maxilar de origen odontogénico o dental, también conocida como sinusitis crónica de maxilar de origen dental, o sinusitis maxilar odontogénica, es una enfermedad

La displasia fibrosa (DF) es un trastorno óseo raro congénito no hereditario que puede afectar a un solo hueso (monostótico) o que se extiende a

El torus palatino (TP) es una exostosis generalmente asintomática que ocurre comúnmente en la línea media del paladar duro. Su etiología aún no está plenamente

El Linfoma es el término genérico dado a los tumores malignos del sistema linfoide. Esta lesión puede afectar los ganglios linfáticos, el bazo y, a

La reabsorción cervical invasiva (RCI) es una complicación patológica grave, una forma poco frecuente y a menudo agresiva de reabsorción radicular externa que incluye dientes

La utilización de la tomografía computarizada de haz cónico (TCHC) en la planificación de implantes dentales ha sido desde sus inicios muy controvertida, la Asociación

El cáncer es un importante problema de salud pública en todo el mundo. En 2012, se diagnosticaron 14.1 millones de casos nuevos, con 8.2 millones

La tomografía computarizada de haz cónico (CBCT) ha promovido cambios en los enfoques en endodoncia y ha mejorado la toma de decisiones en casos clínicos

Un traumatismo de incisivos maxilares se evidencia en uno de cada cuatro adultos. Las principales complicaciones después de la lesión dentoalveolar incluyen la desvitalización de

La hipertrofia adenoidea nasofaríngea (HA) es una lesión benigna típica en la infancia y con frecuencia puede detectarse de manera incidental en las imágenes. Debido

La rinosinusitis (inflamación de la mucosa de la cavidad nasal y los senos paranasales al mismo tiempo) es una enfermedad común en los niños. Por

La osteonecrosis maxilar se caracteriza por la exposición y la desvitalización del hueso durante más de 8 semanas, se han asociado casos al consumo de
© Copyright 2025