La Condromatosis Sinovial (CS) es un proceso metaplásico en el que la sinovial de una articulación produce y finalmente secreta cuerpos cartilaginosos en el espacio articular. Se encuentra con mayor frecuencia en articulaciones más grandes, como la rodilla, la cadera, el codo, la muñeca, el tobillo y el hombro, ocurre dos veces más en hombres que en mujeres, y tiene una edad media de aparición de articulaciones grandes en la quinta década de vida.
Se considera que la CS rara vez afecta la articulación temporomandibular (ATM). El primer caso reportado fue en 1933, cuando Axhausen reportó condrogénesis metaplásica en la membrana sinovial. Los documentos posteriores se caracterizaron principalmente por informes de casos aislados, con aproximadamente 100 casos informados hasta la fecha.
La CS puede clasificarse como primaria o secundaria. Los pacientes con CS primarias no tienen influencias predisponentes conocidas, mientras que los pacientes CS secundarias tienen antecedentes de trauma, artritis degenerativa o trastorno interno. Ciertas características se han resumido para ambos tipos de la enfermedad.
Los síntomas y signos clínicos más comunes son dolor unilateral, hinchazón y crepitaciones en la articulación. La CS en la ATM generalmente se limita al espacio articular superior.
Debido a que no hay características clínicas típicas, la SC se confunde fácilmente con otras enfermedades en la región de la ATM. Por lo tanto, los exámenes radiológicos juegan un papel importante en el diagnóstico.
Los principales exámenes de imagen para esta enfermedad suelen ser la tomografía computarizada (TC) y la resonancia magnética (RM). En la actualidad, se encuentran cada vez más casos durante los exámenes de enfermedades orales, porque la TC de haz cónico (CBCT) es el método de examen general para la ATM indicadas por los cirujanos dentistas. CBCT puede revelar con precisión la morfología anatómica de la ATM y tiene un amplio potencial de aplicación. Solo la CBCT puede mostrar claramente la estructura y el curso de las trabéculas óseas en el cóndilo. En el presente trabajo, se presentan tres casos de SC en la ATM con diferentes tipos de imágenes radiológicas, especialmente imágenes CBCT, para resumir las características de imagen y analizar sus diferencias.
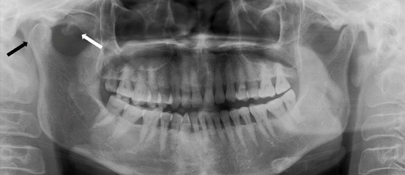
Caso 1: Mujer de 60 años fue remitida con motivo principal de incomodidad durante la masticación durante 3 años. El examen físico mostró asimetría facial y una ligera desviación de la línea media de la mandíbula hacia el lado izquierdo. También presentó sensibilidad en el área derecha de la ATM (Figura 1, 2 y 3).
Caso 2: Mujer de 30 años con hinchazón del lado derecho que se había desarrollado en los últimos 6 meses. Hace un mes fue diagnosticada con artritis de ATM y se encuentra con medicación que no tuvo efecto positivo (Figura 4 y 5).
Caso 3: Mujer de 38 años con hinchazón pre-auricular izquierda desde hace 2 meses con sensibilidad y dolor a la palpación (Figura 6, 7 y 8).
En conclusión se mostraron tres casos de CS cuyas presentaciones clínicas mostraban hinchazón y dolor de la articulación afectada. Se observó que todo partido de una radiografía panorámica para complementarlo con una tomografía computarizada. Los dentistas generales deben ser conscientes de la enfermedad y tener en cuenta sus diversas apariencias en las imágenes para llegar a un diagnóstico correcto.
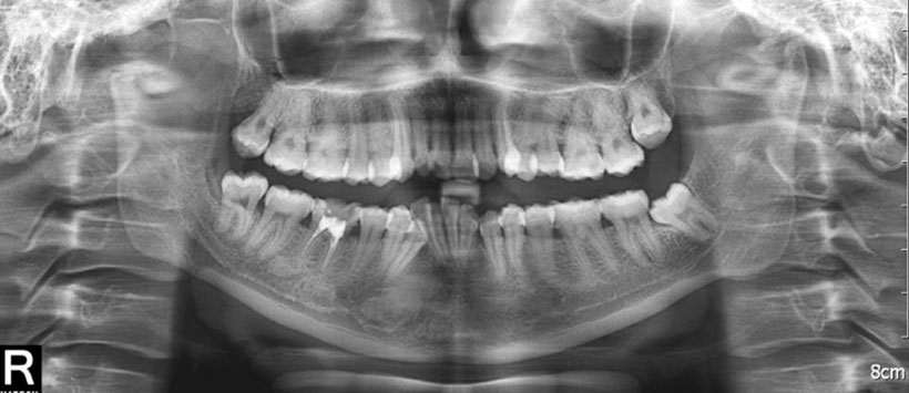
Figura 1: Radiografía panorámica que muestra morfología asimétrica del cóndilo mandibular derecho con borde irregulares en zona posterior (flecha negra) y una pequeña imagen radiopaca de densidad cálcica en forma de masa (flecha blanca).
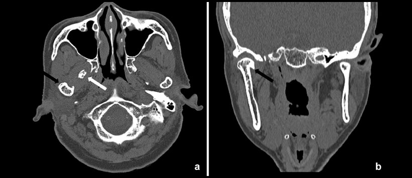
Figura 2: Tomografía Computarizada (TC) revelaron hiperplasia y esclerosis de la región anterior del cóndilo (flechas negras) y un cuerpo calcificado (flecha blanca) en los cortes axiales (a) y coronales (b)
Figura 3: Tomografía Computarizada (TC) en el que se observa ensanchamiento del espacio articular (flecha negra) en la ATM derecha (a) en comparación con la ATM izquierda (b)
Figura 4: Radiografía panorámica que muestra cóndilo mandibular irregular con ensanchamiento del espacio articular del lado derecho.
Figura 5: Tomografía Computarizada (TC) en la que se detectó una masa heterogénea (flechas blancas) alrededor del cóndilo mostrado en la reconstrucción tridimensional (a), horizontal (b), coronal (c) y sagital (d)
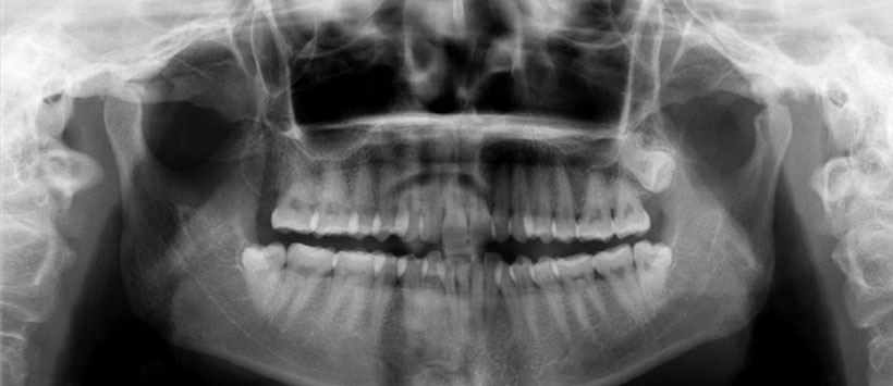
Figura 6: Radiografía panorámica que muestra posiciones asimétricas de ambos cóndilos mandibulares, sin otro mayor hallazgo.
Figura 7: Tomografía Computarizada (TC) en la que se aprecia múltiples masas hiperdensas irregulares y de diversas formas observados en la vista axial (a) y coronal (b).
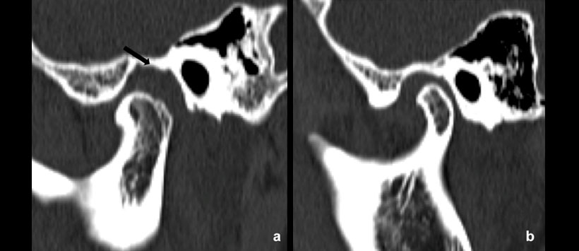
Figura 8: Tomografía Computarizada (TC) en la que se aprecia aumento del espacio articular del lado afectado con erosión severa de la cavidad glenoidea (flecha negra).
Referencia:
Tang B, Wang K, Wanh H, Zheng G. Radiological features of sinovial chondromatosis affecting the temporomandibular joint: report of three cases. Oral Radiology 2018; 35(2): 198-204.
Equipo de Investigación IDM










