El Queratoquiste Odontogénico (QO), es una entidad patológica cuyo tratamiento sigue siendo controversial. La enucleación es el método de tratamiento más utilizado sin embargo representa la tasa más alta de recurrencia. La descompresión y marzupialización se utilizan como tratamientos conservadores, reducen significativamente el vokumen del quiste y disninuyen los riesgos de lesionar ciertas estructuras incluyendo dientes y nervio dentario inferior, la recurrencia disminuye significativamente. Finalmente un enfoque agresivo como le resección segmentaria reduce significativamente los riesgos a la recurrencia y debe realizarse bajo ciertos parametros: a) lesión primaria de gran tamaño con perforación de corticales localizado en región de molares y rama, multilocular, b) lesión rrecurrente con o sin perforación de corticales y sin importar la ubicación.
La resección agresiva debe limitarse a lesiones que han tenido mas de dos recurrencias o aquellas que han mostrdo signos de maligniación. Aunque la resección radicula ofrece la mayor tasa de curación, produce morbilidad significativva incluyendo la pérdida de continuidad de la mandibula o la desfiguración facial.
Bushabu N, et al. (2019) realizó un estudio donde evaluó 565 casos de pacientes con QO, el objetivo fue evaluar los casos que requirieron resección agresiva. El uso de la resección radical se basó en la evidencia clínica y / o radiográfica de tamaño, perforación cortical, afectación de tejidos blandos, y en la historia de recurrencia previa de la misma lesión.
La recurrencia fue el principal factor de justificación para la resección y los resultados funcionales y estéticos de los pacientes después de la reconstrucción mandibular se evaluaron sistemáticamente. Hubo 26 casos en la región molares mandibulares, ocho en la región anterior-premolar inferior y una en las molares inferiores y en las regiones molares anteriores. Entre los 35 pacientes, 20 tse trataron de lesiones primarias y 15 fueron lesiones recurrentes. Un total de 31 pacientes se sometieron a una mandibulectomía segmentaria, de los cuales 28 se reconstruyeron inmediatamente con un colgajo vascularizado, mientras que cuatro pacientes se sometieron a una mandibulectomía marginal. Los resultados funcionales y estéticos de los pacientes fueron evaluados como satisfactorios.
La duración del período de seguimiento varió de 2 a 17 años después de la operación (promedio, 5,82 años). La recurrencia se identificó en un paciente que había sido tratado con mandibulectomía marginal. En conclusión, los hallazgos del estudio sugirieron que la resección radical puede recomendarse para pacientes con QO y características agresivas a nivel local.
El estudio de Bushabu N, et al. demostró que la resección radical del QO debe realizarse unicamente cuando la lesión es agresiva, recurrente, perfora tablas óseas, exista extensión hacia los tejidos blandos, multilocularidad, fracaso a tratamientos conservadores. El seguimiento a largo plazo sigue siendo el factor importante para controlar posible recurrencia.
- Figura 1: Protocolo frente a situaciones clinicas para el adecuado manejo del Queratoquiste Odontogénico, es imprescindible los examenes por imágenes como la panorámica y la tomografía computarizada de haz cónico (TCHC).
- Figura 2: Las características del QO determinaron el régimen de tratamiento. (A) Una radiografía panorámica preoperatoria de una gran lesión multilocular que se extiende desde el tercer molar izquierdo hasta la rama ascendente contralateral de la mandíbula. Vistas intraoperatorias de (B) una mandibulectomía segmentaria y (C) el colgajo del peroné. (D) Imagen de la mandíbula reconstruida después de la cirugía.
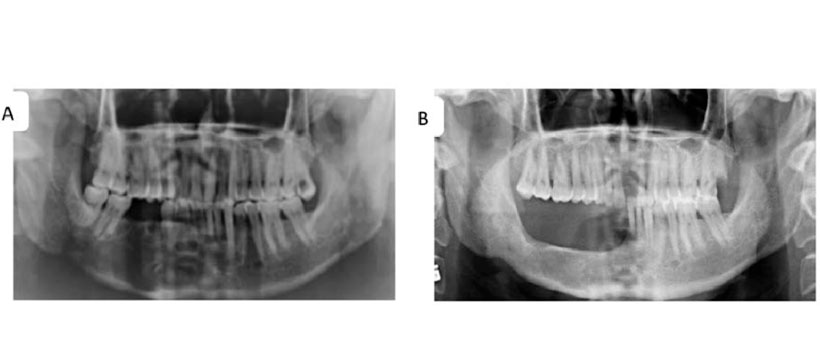
- Figura 3: Mandibulectomía marginal de un Queratoquiste recurrente de la mandíbula derecha. (A) Radiografía panorámica muestra múltiples lóculos con una delgada línea esclerótica en el hueso alveolar de los dientes anteriores mandibulares derechos, el segundo premolar y los primeros sitios de extracción molar, lo que indica recurrencias. (B) Radiografía panorámica luego 18 meses después de la cirugía.
- Figura 4: Evaluación del resultado postoperatorio. (A) Fotografías de perfil antes y (B) después de la cirugía. (C) Una imagen de la mandíbula reconstruida a los 6 meses después de la operación
Referencia:
Fidele NB, Bing L, Sun Y, Wu T, Zheng Y, Zhao Y. Management of mandibular odontogenic keratocyst through radical resection: Report of 35 cases. Oncol Lett. 2019;18(1):733–741. doi:10.3892/ol.2019.10367
Equipo de Investigación IDM






