La displasia fibrosa (DF) es un trastorno óseo raro congénito no hereditario que puede afectar a un solo hueso (monostótico) o que se extiende a múltiples huesos (poliostótico).
Las lesiones óseas son asintomáticas y detectadas accidentalmente en el examen radiológico de rutina, pero también pueden estar presentes en múltiples sitios esqueléticos y ser responsables de una amplia gama de síntomas clínicos, predominantemente dolor óseo, deformidades óseas y fracturas patológicas (Harris et al. 1962). En casos graves, las manifestaciones esqueléticas también pueden asociarse con manifestaciones extraesqueléticas en forma de endocrinopatías o signos clinicos como las “manchas de café con leche” en el sindrome de McCune-Albright o mixomas intramusculares en el sindrome de Mazabraud.
Majoor B, et al, realizaron una investigación con le objetivo de determinar el grado de dolor y los factores contribuyentes potenciales en pacientes de Austria y los Países Bajos que padecían DF. 197 pacientes completaron una encuesta sobre la presencia y la gravedad de su sitio. El sexo, la edad, el tipo de DF y la localización de las lesiones se examinaron clìnicamente y mediante examenes por imagenes para determinar la relación con la presencia y la gravedad del dolor.
El estudio obtuvo como resultados que el 76% de los pacientes tenían la variante monostótica, de ellos 91 (46%) informaron dolor en los sitios de lesiones. La severidad del dolor fue mayor en pacientes con lesiones presentes en las extremidades inferiores y costillas en comparación con las lesiones de las extremidades superiores o craneofaciales. Los tipos poliostoticas severos (síndrome poliostótico / McCune-Albright) se asociaron con mayor frecuencia con un dolor más severo.
Los datos sugieren que casi el 50% de los pacientes con DF padecen dolor en los sitios de lesión, lo que representa una manifestación clínica importante del trastorno. Las lesiones en extremidades inferiores y costillas resultaron más dolorosas. De la variante craneofacial un 26.3% manifesto dolor severo
Es importante realizar un adecuado diagnóstico clínico radiográfico de las lesiones presentes en la DF para determinar la variane monostótica o poliostotica. Estos resultados tienen implicaciones clínicas en el tratamiento de pacientes, ya que resaltan el hecho de que pequeñas lesiones monostóticas pueden ser la fuente de dolor severo en su ubicación anatómica.
Figura 1: Presencia y severidad del dolor en sitios de DF monostóticos (n = 144). La presencia de dolor (sí / no) y la amplitud media en el grupo de pacientes es mayor en pacientes con lesiones en las extremidades más bajas y por el contrario la severidad del dolor es más baja en pacientes con DF craneofacial.
Figura 2: Paciente con displasia monostótica fibrosa craneofacial del maxilar derecho. (A y B) Fotografía preoperatoria y tomografía l computarizada (TC) que muestra la expansión del maxilar derecho. La TC es notable por el aspecto característico de la lesión en “vidrio esmerilado”, que se extiende desde el hueso alveolar (flecha roja). (C y D) Fotografía postoperatoria y TC después de recontornear y reducir la lesión del maxilar derecho. Tenga en cuenta la simetría facial mejorada y el contorno del alvéolo superior derecho
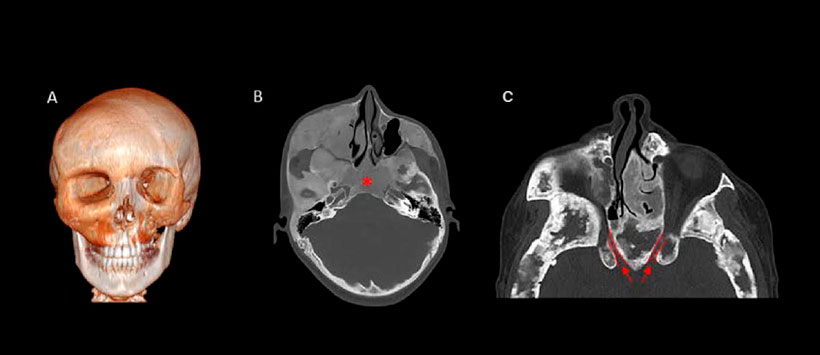
Figura 3: Displasia fibrosa poliostótica craneofacial. (A) TC 3D de un varón de 17 años, que muestra una enfermedad extensa de la asimetría orbital y de la parte media de la cara. (B) TC muestra la apariencia típica de “vidrio esmerilado” de la cara media izquierda y la base del cráneo, borrando la región de los senos esfenoidales (asterisco). (C) TC de una mujer de 33 años que muestra el estrechamiento de los canales ópticos bilaterales (delineado en rojo).
Figura 4: (A) Características de las máculas “café con leche” observadas en el síndrome de McCune-Albright. Los limites se conocen comúnmente como la «costa de Maine» y la lesión normalmente respeta la línea media, siguiendo las líneas de la migración celular (líneas de Blaschko). (B) Ecografía de la tiroides (vista transversal) que muestra lesiones hipoecoicas multiloculares (puntas de flecha), comunes en el síndrome de McCune-Albright
Referencia:
- Bas C J Majoor, Eva Traunmueller, Werner Maurer-Ertl, Natasha M AppelmanDijkstra, Andrea Fink, Bernadette Liegl, Neveen A T Hamdy, P D Sander Dijkstra & Andreas Leithner (2019): Pain in fibrous dysplasia: relationship with anatomical and clinical features, Acta Orthopaedica, DOI: 10.1080/17453674.2019.1608117
- Burke AB, Collins MT, Boyce AM. Fibrous dysplasia of bone: craniofacial and dental implications. Oral Dis. 2016;23(6):697–708. doi:10.1111/odi.12563






