La rinosinusitis micótica (RM) es usalmente clasificada en invasiva y no invasiva. A diferencia de la RM invasiva, la no invasiva se caracteriza por la ausencia de invasión al tejido epitelial por hifas de hongos y consiste principalmente en una masa entrelazadas de hongos (bola fúngica) o por la producción de mucina alergica (rinosinusitis no invasiva alérgica).
La bola fúngica (BF) intrasinusal es la presentación más frecuente de una rinosinusitis crónica micótica no invasiva visto en la practica clínica. Un solo seno está involucrado en el 94% de los casos, y se observa una lesión unilateral de bola fúngica se aprecia en el 99%. La cirugía de seno endoscópico (CES) para erradicar la bola de fúngica generalmente logra buenos resultados, incluyendo baja recurrencia y altas tasas de ausencia de síntomas. El diagnóstico preciso es importante para evitar terapias médicas innecesarias y retrasos en el tratamiento.
Según los criterios desarrollados por deShazo et al. la única oportunidad para el diagnóstico preoperatorio de BF es un examen radiológico donde como hallazgo se aprecia una opacificación sinusal con o sin calcificaciones asociadas. La tomografía computarizada (TC) de los senos es la primera opción para el diagnóstico preoperatorio de la rinosinusitis crónica y para planificar la CES debido a su capacidad para delinear las estructuras óseas finas de los senos, la lámina orbitaria y la base del cráneo. Varios estudios han informado sobre las características de tomográficas de la BF, que incluyen hiperdensidad intrasinusal, manchas de calcificación, erosión de la pared del seno interno, superficie irregular del material y esclerosis de la pared del seno.
Sin embargo, todavía es difícil diagnosticar la BF preoperatoriamente si las hiperdensidades o manchas de calcificación no están presentes en las imágenes de TC de los senos paranasales.
Ho et al (2018). idearon un algoritmo para ayudar a diagnosticar la sinusitis con BF en pacientes sin signos de opacificación o calcificación en imágenes de TC preoperatorias. La erosión de la pared del seno interno y la superficie irregular del material fueron los indicadores más confiables en pacientes con opacificación maxilar total y parcial, respectivamente. El conocimiento de estas características de CT nos permitirá mejorar la precisión diagnóstica de y garantizar el tratamiento adecuado.
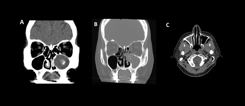
Figura A, corte coronal de TC que muestra una imagen hiperdensa (punto de calcificación), asociado a contenido en el seno maxilar izquierdo.
Figura B, corte coronal de TC que muestra una imagen hiperdensa (puntos de calcificación), asociado a contenido en el seno maxilar izquierdo con erosión de la pared lateral de la fosa nasal izquierda.
Figura C, corte axial de TC que muestra opacificación del seno maxilar derecho con esclerosis de las paredes anterior y posterior.
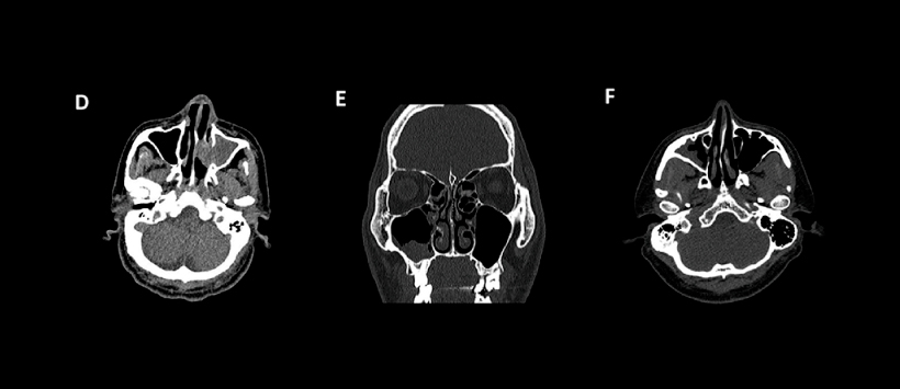
Figura D, corte axial de TC que muestra opacificación del seno maxilar derecho con erosión de la pared medial.
Figura E, corte coronal de TC que muestra engrosamiento irregular de la mucosa en el seno maxilar derecho con esclerosis de la pared anterior.
Figura F, corte coronal de TC que muestra engrosamiento irregular de la mucosa sinusal en el lado derecho.
Referencia:
Ho C, et al. Diagnosis of a Maxillary Sinus Fungus Ball Without Intralesiona Hyperdensity on Computed Tomography. Laryngoscope 2019; 1-5.
C.D Esp. Luis Alberto Cueva Principe




