El fibroma ameloblástico (FA) es una tumoración compuesta de ectomesénquima odontogénico que se asemeja a la papila dental con hebras y nidos epiteliales similares a la lámina dental y el órgano del esmalte, pero sin tejidos dentales duros. El fibrosarcoma ameloblástico (FSA) es una neoplasia con una estructura similar al FA, pero compuesta de un tejido mesenquimatoso maligno caracterizado por:
- Marcada celularidad, pleomorfismo nuclear y una mitosis acelerada.
- El componente mesodérmico muestra características del sarcoma.
El FSA se considera la contraparte maligna de la FA. El FA representa solo alrededor del 2% de las tumoraciones odontogénicas y el FSA se considera rara.
Un estudio epidemiológico de estos tumores raros es importante porque proporciona información que puede mejorar la precisión del diagnóstico, permitiendo a los patólogos y cirujanos tomar decisiones informadas y refinar los planes de tratamiento para optimizar los resultados clínicos. Por lo tanto, el objetivo del presente estudio fue integrar los datos disponibles publicados en la literatura sobre estas lesiones en un análisis comparativo completo y actualizado de sus características clínicas y radiológicas, así como la frecuencia de recurrencia.
El FA y FSA diferían significativamente con respecto a la expansión ósea adyacente al tumor, la presencia de síntomas clínicos, perforación ósea de cortical, tamaño de la lesión, edad media de los pacientes y tasas de recurrencia. El FSA se presenta con mayor frecuencia como una radiolucidez multilocular que el FA central (52,3% frente a 39,4%). Los pacientes con FSA se presentaron a una edad media más alta en comparación con aquellos con FA, junto con el hecho de que más del 50% de los casos reportados tenían documentación histológica de FA en el mismo sitio, se planteó la hipótesis de que existe un paso a paso de transformación maligna. El FSA tiene un mayor número y diversidad de alteraciones genéticas en comparación con AF, esta transformación maligna por etapas puede estar asociada con la inestabilidad cromosómica. Hubo más casos de dientes desplazados / retenidos por FSA primario que por FSA secundario.
La enucleación simple está relacionada con una tasa de recurrencia considerable para el FA, un hallazgo similar al observado en los tumores queratoquísticos odontogénicos. Dado que aproximadamente el 25% de los FSA se desarrollan de un FA recurrente, algunos creen que el FA es más agresiva de lo que se pensaba anteriormente y que se necesita un tratamiento más radical. La tendencia observada por los resultados de nuestra revisión sugiere que se utilizaron enfoques más conservadores para el FA en pacientes jóvenes, y las resecciones quirúrgicas se consideraron con mayor frecuencia en pacientes mayores y cuando el tumor es mas grande. También se debe considerar una cirugía más radical cuando el tumor recurre más de una vez.
La transformación maligna del FA puede ocurrir muchos años después del diagnóstico original y se han informado 10, 12 o 14 años después del diagnóstico inicial. El tiempo promedio entre el tratamiento de una FA y el inicio de un FSA fue de 55,1 meses. Por lo tanto, los pacientes con un diagnóstico de cualquier tumor dentro del grupo de FA deben someterse a un largo periodo de controles.
Se recomienda un seguimiento muy largo para las lesiones de FA, debido al riesgo de recurrencia o malignidad (transformación en FSA). La resección segmentaria es la terapia más recomendada para el FSA.
Figura 1: Radiografía panorámica que muestra morfología asimétrica del cóndilo mandibular derecho con borde irregulares en zona posterior (flecha negra) y una pequeña imagen radiopaca de densidad cálcica en forma de masa (flecha blanca).
Figura 2: Radiografía panorámica de un paciente pediátrico en el que se visualiza una lesión osteolítica agresiva en el cuarto cuadrante que ocasiona desplazamiento de piezas dentarias, del conducto dentario inferior, adelgazamiento del reborde basal mandibular y reabsorción radicular
Figura 3: Fotografía intraoperatoria que muestra la masa tumoral
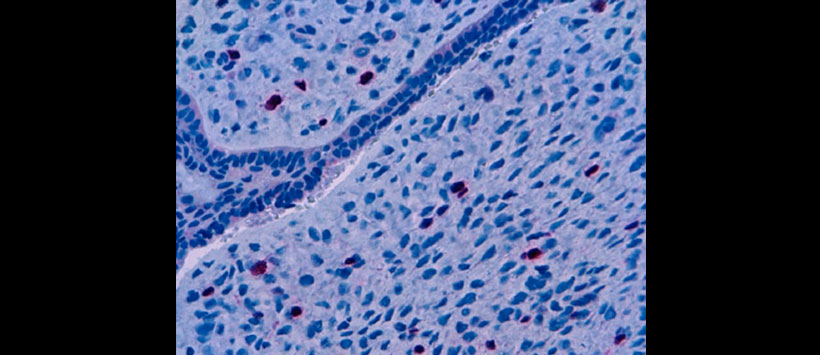
Figura 4: Inmunohistoquímica con Ki 67 que muestra las células malignas
Referencia:
- Servato João Paulo Silva, Faria Paulo Rogério de, Ribeiro Cássio Vinhadelli, Cardoso Sergio Vitorino, Faria Paulo Rogério de, Dias Fernando Luiz et al . Ameloblastic Fibrosarcoma: A Case Report and Literature Review. Braz. Dent. J. [Internet]. 2017 Apr [cited 2019 Aug 29] ; 28( 2 ): 262-272.
- Chrcanovic BR, Brennan PA, Rahimi S, Gomez RS. Ameloblastic fibroma and ameloblastic fibrosarcoma: A systematic review. J Oral Pathol Med. 2018 Apr;47(4):315-325.
Equipo de Investigación IDM






