La hipertrofia adenoidea nasofaríngea (HA) es una lesión benigna típica en la infancia y con frecuencia puede detectarse de manera incidental en las imágenes.
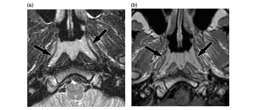
Debido a la involución, el tejido linfático nasofaríngeo generalmente no se encuentra en adultos mayores de 30 años a 40 años de vida. Sin embargo, ocasionalmente se ha reconocido la HA después del año 50 o 60, a ésta edad, la diferenciación entre la HA y las lesiones nasofaríngeas malignas puede ser difícil. Anteriormente, las apariciones de imágenes de resonancia magnética (RM) de HA se han descrito en solo unas pocas series. Además, la frecuencia de HA no se ha informado anteriormente. Típicamente, la HA se manifiesta como una lesión simétrica con franjas y quistes de retención, sin embargo, la HA también puede presentar engrosamiento de la mucosa asimétrica y puede ser diagnosticada erróneamente como neoplasia maligna.
Surov A, et al, realizaron un estudio con el objetivo de identificar la frecuencia de HA y analizar sus hallazgos en la RM en diferentes grupos de edad. Desde 2007 hasta 2011, se realizaron 6693 exámenes de RM. La RM se obtuvo con un dispositivo de RM de 1,5 T. Se identificó HA en el 18,0% de los pacientes, la frecuencia varió de 60.3% a 1.0% en los diferentes grupos de edad; el tamaño medio de la HA fue de 23,2 ± 4,5 mm en sentido cráneo-caudal, 31,1 ± 5,2 mm en sentido de izquierda-derecha y 14,2 ± 4,1 mm en la dirección anterior-posterior. Los tamaños izquierdo-derecho y cráneo-caudal de fueron mayores en el grupo de 0 a 9 años y disminuyeron con la edad.
En las imágenes T1-w, la mayoría de las lesiones (95,4%) fueron hipointensas en comparación con la musculatura adyacente. En las imágenes saturadas de grasa T2-w, el 82,4% de las lesiones eran hiperintensas. Después de la administración intravenosa de medio de contraste, la mayoría de las lesiones mostraron una ligera mejoría (58,6%). Se observó una mejora moderada en el 32,4% y se identificó una mejora marcada en el 9,0%. En el grupo de 0 a 9 años de edad, la mayoría de las lesiones mostraron una leve mejoría. Se identificaron quistes dentro de la HA en 433 casos (35.9%). La frecuencia de los quistes aumentó continuamente con la edad, es decir, del 10,9% al 65,2%.
La HA es una lesión benigna frecuente tanto en niños como en adultos se puede encontrar en el 18% de todas las investigaciones de RM de la cabeza. Además, se observa una disminución de la frecuencia de HA con el aumento de la edad del 60,3% al 1%. La RM muestra un aumento de los cambios
Dpto. de Investigación IDM





