El objetivo principal del tratamiento del conducto radicular es la limpieza mecánica y química completa de toda la cavidad de la pulpa y su relleno completo con un material de relleno inerte.
Vertucci (1984) propuso un método estandarizado para clasificar las variaciones anatómicas del conducto radicular, y Weine (2004) describió una clasificación clínicamente más relevante de la anatomía del conducto radicular. Recientemente, se informaron 14 nuevos tipos de canales adicionales (Sert y Bayirli 2004). Sin embargo, existen muchas variaciones, y es importante evaluar cada caso individual para las variaciones (Slowey 1974). La incapacidad para localizar y rellenar un conducto radicular puede llevar a una enfermedad posterior al tratamiento.
Estas variaciones de la morfología del conducto radicular, especialmente en dientes multiradiculares, son un desafío constante para el diagnóstico y la terapia exitosa. Por lo tanto, una comprensión clara de la anatomía y la morfología del conducto radicular de la dentición humana es un requisito previo para el éxito del tratamiento del conducto radicular.
Si bien todos los dientes son anatómicamente complejos, los primeros molares mandibulares son los primeros dientes posteriores permanentes en erupcionar y son los que más a menudo sufren caries, por lo que es muy probable que requieran tratamiento endodóntico (Cohen y Hargreaves 2005). Los dientes exhiben una considerable variación anatómica y anomalías en cuanto al número de raíces y canales radiculares (Ghoddusi et al. 2007, Chandra et al. 2009).
La mayoría de los primeros molares mandibulares tienen dos raíces, una mesial y una distal, y su distribución habitual del canal es dos en la raíz mesial y una o dos en la raíz distal (Vertucci et al. 2006). La variante principal en este tipo de diente es la presencia de una tercera raíz adicional; una raíz distolingual supernumeraria llamada radix entomolaris (De Moor et al. 2004).
La presencia de un tercer canal en la raíz mesial de los molares mandibulares se denomina canal medio mesial. Baugh y Wallace (2004), en una revisión de la literatura, informaron que la prevalencia de un canal medio mesial en el primer molar mandibular fue de 1 a 15%, pero la existencia de tres canales en la raíz distal del primer molar mandibular es poco común. Anteriormente, solo dos informes de casos se presentaron con tres orificios del conducto radicular dentro de la raíz distal del primer molar mandibular (Reeh 1998, Chandra et al. 2009).
Skidmore y Bjorndal (1971) informaron que el 88.8% de las raíces distales del primer molar mandibular tienen solo un canal, mientras que el 28.9% tiene dos canales. Si bien la mayoría de los estudios de laboratorio exhaustivos en el primer molar inferior (Vertucci 1984, Wasti et al. 2001, Peiris et al. 2007, Chen et al. 2009) no informaron la presencia de un tercer canal en la raíz distal, Quackenbush ( 1986) informaron la existencia de tres canales distales separados en dos primeros molares mandibulares extraídos. Solo hay unos pocos estudios exhaustivos que informan la incidencia de tres canales distales en el primer molar mandibular
El propósito del presente artículo es informar sobre el manejo exitoso no quirúrgico de dos primeras molares mandibular permanentes de dos raíces con cicno y seis conductos radiculares respectivamente.
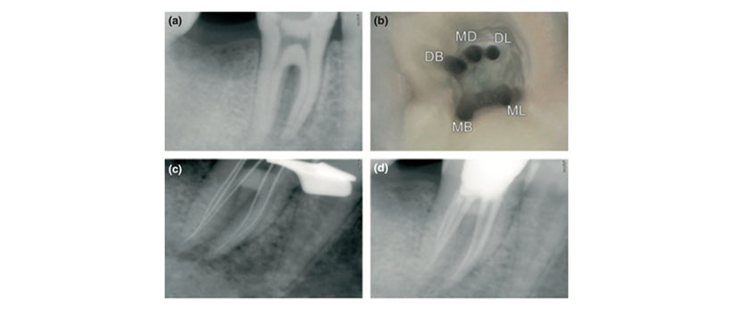
Figura 1: a) Radiografía preoperatoria del diente 46. (b) Abertura de acceso que muestra cinco canales (MB, Mesiobuccal; ML, Mesiolingual; DB, Distobuccal; MD, Distal medio; DL, Distolingual). (c) Radiografía de longitud de trabajo del diente 46 en angulación excéntrica. (d) Radiografía post-obturación del diente 46.
Figura 2: Fotografía de la abertura de acceso que muestra orificios de seis canales separados – DB: Distobucal, DL: Distolingual, MB: Mesiobucal, MD: Medio distal, ML: Mesiolingual y MM: Medio mesial.
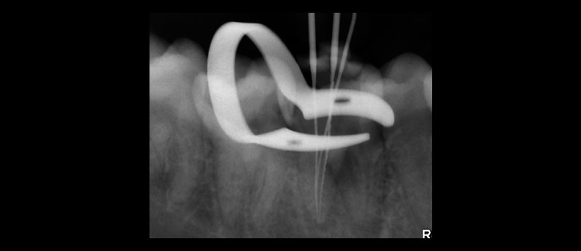
Figura 3. Longitud de trabajo en los conductos de la raiz distal
Referencia:
- Kottoor, J., Sudha, R., & Velmurugan, N. (2010). Middle distal canal of the mandibular first molar: a case report and literature review. International Endodontic Journal, 43(8), 714–722. doi:10.1111/j.1365-2591.2010.01737.x
- Alenezi MA. Endodontic management of a permanent mandibular first molar with six canals. Saudi Endod J 2016;6:36-9.
Equipo de Investigación IDM





