La tomografía computarizada de haz cónico (CBCT) ha promovido cambios en los enfoques en endodoncia y ha mejorado la toma de decisiones en casos clínicos complejos. A pesar de los avances tecnológicos en el hardware CBCT, la interpretación de las imágenes adquiridas aún se ve comprometida al ver paquetes de software que a menudo tienen herramientas de navegación limitadas y carecen de filtros adecuados para superar algunos desafíos de la tecnología CBCT, como los artefactos.
Este estudio revisa las limitaciones actuales de CBCT y el potencial de nuevos software de CBCT (como el e-Vol DX, CDT-Brasil o el Romexis) para superar estos aspectos y apoyar el diagnóstico, la planificación y el manejo de los casos de endodoncia. Este método de creación de imágenes proporciona imágenes de alta resolución debido a los tamaños de vóxel submilimétricos, la navegación dinámica de imágenes en múltiples planos y la capacidad de cambiar los parámetros de volumen, como el grosor de corte y los intervalos de corte y la corrección de datos.
Aplicando filtros de imagen y manipulando brillo y contraste. Las principales diferencias de éstos con otros paquetes de software son: compatibilidad con todos los escáneres CBCT actuales con la capacidad de exportar datos DICOM, una biblioteca más completa de brillo y contraste, como otras aplicaciones, en las que los ajustes son limitados, generalmente no son compatibles todas las características de rango dinámico DICOM; ajuste de espesor de corte personalizado, a menudo limitado y predefinido en otras aplicaciones; Ajuste de intervalo de cortes personalizado, a menudo limitado en otras aplicaciones; algoritmo avanzado de reducción de artefactos y eliminación de ruido que mejora la calidad de la imagen; filtros de imagen preestablecidos, filtros de procesamiento de volumen endodónticos dedicados con la capacidad de ampliar la imagen a más de 1000x (reconstrucciones 3D) sin pérdida de resolución y personalización de parámetros de imagen automática para una mejor estandarización y oportunidades de investigación; captura una resolución de pantalla de 192 ppp, con una opción de 384 ppp, en contraste con los 96 ppp de la mayoría de las aplicaciones similares.
Este nuevo paquete de software CBCT puede respaldar la toma de decisiones para el tratamiento de casos complejos de endodoncia y mejorar los resultados de diagnóstico y tratamiento. La mejora efectiva de la calidad de imagen favorece la prescripción y la interpretación racionales de las exploraciones CBCT
Figura 1: (A-B) El informe de CBCT producido por e-Vol DX muestra los dientes # 11 y 21 con artefactos de contraste blancos, lo que dificulta la identificación del tratamiento fallido del conducto radicular; (C-H) en las imágenes de e-Vol DX CBCT, se usó el filtro y se conservó el contraste de la escala de grises, lo que reduce las áreas blancas de la imagen original.
Figura 2: (A-B) las imágenes de e-Vol DX CBCT que muestran el diente n. ° 21 con artefactos de contraste blanco evitan la visualización de una fractura de raíz vertical y ocultan una rarefacción lateral; (C-F) En las imágenes CBCT producidas con un filtro para el contraste normal de la escala de grises, se reducen las áreas claras y la fractura radicular vertical palatina se puede identificar más fácilmente. Figura 3: (A-B) Las imágenes de e-Vol DX CBCT revelan un canal lateral en el diente # 37; (C-F) El filtro favorece la visualización de los detalles anatómicos de este canal lateral interno y su superficie externa (ligamento periodontal) se puede ver claramente a mayores aumentos.
Figura 4: (A) Otro filtro transforma las imágenes CBCT en imágenes en modo transparente, como se muestra en el diente # 26; (B-D) Los detalles específicos de la cámara coronal, así como el volumen y las estructuras adyacentes se visualizan claramente.
Figura 5: (A) Otro filtro transforma las imágenes CBCT en imágenes en modo transparente, como se muestra en el diente # 26; (B-D) Los detalles específicos de la cámara coronal, así como el volumen y las estructuras adyacentes se visualizan claramente.
Figura 6: (A-B) Las imágenes de e-Vol DX CBCT muestran la forma y la posición del foramen apical del diente # 35.
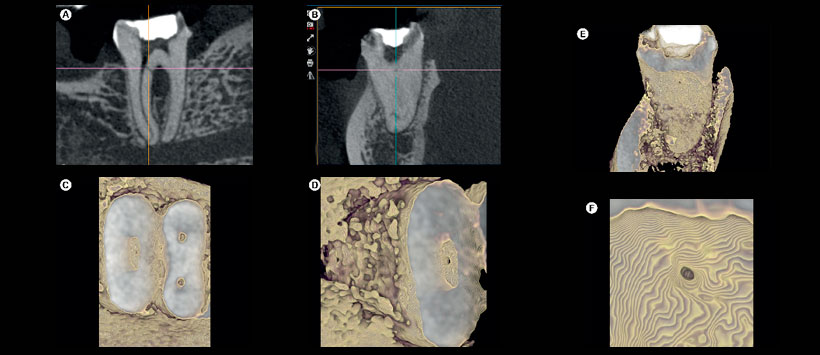
Figura 7: Las imágenes e-Vol DX CBCT (A-C) muestran el canal radicular mesial medio del diente # 36 que se ve fácilmente con un filtro de reconstrucción.
Referencia:
Bueno Mike R., Estrela Carlos, Azevedo Brunno C., Diogenes Anibal. Development of a New Cone-Beam Computed Tomography Software for Endodontic Diagnosis. Braz. Dent. J. [Internet]. 2018 Dec [cited 2018 Dec 21] ; 29( 6 ): 517-529. Available from: Enlace aquí Enlace aquí.
Dpto. de Investigación IDM









