Un traumatismo de incisivos maxilares se evidencia en uno de cada cuatro adultos. Las principales complicaciones después de la lesión dentoalveolar incluyen la desvitalización de los dientes y la reabsorción de la raíz. Por lo tanto, el tratamiento posterior al trauma puede implicar el reemplazo de dientes perdidos mediante endodoncia o Intervenciones reconstructivas. Se puede desarrollar una periodontitis apical. Una consecuencia directa del proceso inflamatorio es una osteólisis periapical progresiva.
El canal nasopalatino (CNP) es una estructura anatómica importante del maxilar anterior, ubicado en la línea media y posterior a los incisivos maxilares (IM). El foramen incisivo es la abertura palatina del CN y se encuentra debajo de la papila incisiva de la mucosa. El CNP contiene el nervio nasopalatino (incisivo), las ramas terminales de la arteria nasopalatina y las venas del paladar anterior formando un haz neurovascular rodeado de tejido conectivo, grasa y glándulas seromucosas.
En la última década, la introducción y el uso generalizado de la tomografía computarizada de haz cónico (CBCT, por sus siglas en inglés) en medicina dental permitió una investigación detallada de la anatomía. Así, diferentes variaciones anatómicas del CNP fueron descritas en la literatura. Mraiwa et al. informó por primera vez detalles anatómicos con respecto a las variaciones de la morfología de CNP, y Bornstein et al. clasificó al CNP en tres tipos diferentes: canal único (45% de incidencia), dos canales paralelos separados (15% de incidencia) y un tipo de canal en Y con dos o más aberturas nasales (40% de incidencia). Otros estudios introdujeron más subclasificaciones, dependiendo del número de aberturas nasales.
Suter VG, et al. en el 2016 realizaron una investigación con el objetivo de analizar cualquier asociación entre un historial de lesión dentoalveolar de los incisivos centrales superiores con la forma y tamaño del canal nasopalatino mediante tomografía computarizada de haz cónico (CBCT). Los pacientes fueron asignados al grupo de traumatismo si tenían antecedentes de lesión dentoalveolar, ausencia de un incisivo o tratamiento de endodoncia en alguno de ellos. Como controles, se seleccionaron 100 pacientes pareados (edad y género).
Las dimensiones del CNP, incluyendo la longitud, el ancho a la mitad y el diámetro del foramen incisal y nasal, se midieron en planos sagitales y axiales de CBCT. Además, se realizó una evaluación de los signos de abultamiento, la osteólisis apical del incisivo y su fusión con el CNP.
Los resultados mostraron que en el grupo de trauma (n = 96), el 31,3% tenía al menos un incisivo maxilar perdido y el 95,8% tenía incisivos con tratamiento de endodoncia. La dimensión anteroposterior del foramen incisivo (p = 0.02) y del CNP a mitad de camino (p = 0.04) fue significativamente mayor en el grupo de trauma. Significativamente se evidenció más casos con un signo abultado en el grupo de trauma (n = 19) que en el grupo control (n =3, p = 0,001). Se identificó una osteólisis apical en el 5,1% de incisivos, y 12/38 mostraron una fusión con el CNP.
El estudio concluyó que dimensiones más amplias del CNP y un signo abultado puede sugerir una lesión dentoalveolar anterior en el maxilar anterior. La osteólisis periapical del incisivo central de más de 5 mm de diámetro tiende a fusionarse con el CNP.
En pacientes con antecedentes de lesión dentoalveolar y / o periodontitis apical, se debe evaluar el CNP. Cualquier proceso inflamatorio en los dientes vecinos debe ser reconocido y eliminado, ya que pueden iniciar el abultamiento del CNP y / o la formación de un quiste del conducto nasopalatino (QNP). El CNP con signos de abultamiento debe ser monitoreada clínica y radiográficamente para diagnosticar un posible QNP en estadio temprano
- Figura 1: Vista esquemática de las diferentes medidas realizadas en los planos sagitales de las imágenes CBCT (nº 1 a nº 4).
- Figura 2: Vista esquemática de un CNP abombada.
- Figura 3: Imagen representativa de CBCT (Accuitomo 170, campo de visión de 6 × 6 cm, tamaño de vóxel 0,125 mm) en el plano sagital que ilustra un canal nasopalatino con un agrandamiento notable, identificado como signo abultado (flechas)
- Figura 4: Ilustración esquemática de una lesión osteolítica apical de la raíz de un incisivo maxilar que muestra la fusión con el canal nasopalatino
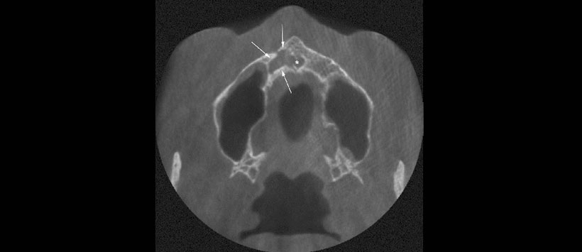
- Figura 5: Lesión osteolítica de forma irregular (flechas) en la vista axial de una imagen CBCT (Scanora 3D, campo de visión 13 × 14,5 cm, tamaño de vóxel de 0,25 mm), que se ha fusionado con el canal nasopalatino (asterisco)
Dpto. de Investigación IDM








