El Linfoma es el término genérico dado a los tumores malignos del sistema linfoide. Esta lesión puede afectar los ganglios linfáticos, el bazo y, a veces, los tejidos no hematopoyéticos. El linfoma puede aparecer en todas las partes del cuerpo y puede tener diversas manifestaciones radiográficas.
Este tumor se puede dividir en dos categorías principales: el linfoma de Hodgkin y el linfoma no Hodgkin (LNH). El LNH es un grupo heterogéneo de tumores malignos caracterizado por una proliferación clonal anormal de células T, células B o ambas. La mayoría de los LNH adultos son de origen de células B. 24 a 84% de los LNH surgen de sitios nodales adicionales.
La región de cabeza y cuello es la segunda más común para el linfoma extra nodal después del tracto gastrointestinal. El LNH es la segunda neoplasia más común de la región de la cabeza y cuello después del carcinoma escamoso y el tercer grupo más común de lesiones malignas de la región oral despues de los carcinomas y neoplasias de las glándulas salivales.
Los linfomas nasales y palatinos son raros, y la mayoría de los linfomas en esta región se originan a partir de células B. Debido a que la detección temprana de los tumores del paladar duro es difícil por el examen clínico, la gran mayoría de estos tumores se detectan después de la invasión del hueso maxilar o esfenoides. El presente informe muestra un caso de linfoma de células B en un paciente masculino de 60 años de edad se manifiesta como un crecimiento ulcerativo en la cresta alveolar maxilar derecha que se extiende hasta el paladar duro, pero en la imagen se trataba de una lesión extensa que afectaba al seno maxilar, la cavidad nasal y la órbita.
Las imágenes radiológicas son vitales por muchas razones, permite la evaluación de la extensión del tumor, de la destrucción ósea, la evidencia de engrosamiento de la mucosa, la elección del sitio de la biopsia. La TC es la mejor modalidad de imagen para demostrar el detalle óseo. El linfoma puede causar destrucción ósea no específica en y alrededor de los senos paranasales. Los senos maxilares son los más afectados, seguidos de los senos etmoidales y frontales. Los senos esfenoides son raramente afectados. A medida que el proceso de destrucción continúa, los márgenes óseos de los senos maxilares pueden erosionarse, especialmente las paredes mediales y posteriores.
Figura 1: En la fotografía extraoral se observa una leve hinchazón difusa en la mejilla derecha y se observa una proptosis del ojo derecho. La fotografía intraoral muestra un crecimiento ulcerativo en la cresta alveolar maxilar derecha que se extiende hacia el paladar.
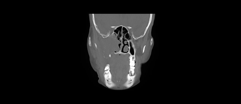
Figura 2: La imagen de TC en corte coronal muestra una gran lesión de densidad de los tejidos blandos con destrucción de todas las paredes del seno maxilar derecho y la extensión hacia la cavidad nasal.
Figura 3: La imagen de reconstrucción tridimensional de la TC (configuración ósea) muestra la destrucción de la cresta maxilar, perdida de pared anterior del seno maxilar en el lado derecho. La imagen de reconstrucción tridimensional de la TC (ajuste de tejido blando) muestra asimetría facial debido a la hinchazón y la proptosis del ojo en el lado derecho.
Referencia:
Nadendla, L. K., Meduri, V., & Paramkusam, G. (2012). Imaging characteristics of diffuse large cell extra nodal non-Hodgkin’s lymphoma involving the palate and maxillary sinus: a case report. Imaging science in dentistry, 42(2), 111-4.
Dpto. de Investigación IDM





