
021 – Caries de Infancia Temprana: Diagnóstico y Factores de Riesgo
En 1978 La Academia Americana de Odontopediatría introdujo el término “Nursing Bottle Caries” para definir una forma severa de caries asociada al uso prolongado del

En 1978 La Academia Americana de Odontopediatría introdujo el término “Nursing Bottle Caries” para definir una forma severa de caries asociada al uso prolongado del

Durante las últimas décadas, el desarrollo de las técnicas no invasivas de imágenes ha permitido la visualización sin precedentes de las estructuras anatómicas de la

Las enfermedades cardiovasculares (ECV) abarcan un conjunto de afecciones que incluyen: la fiebre reumática / cardiopatía reumática, enfermedades hipertensivas, enfermedades cardíacas isquémicas (coronaria), enfermedad cardíaca

El éxito del tratamiento de las reducciones de fracturas de los huesos del macizo craneofacial así como la disminución de la morbilidad posoperatoria. Para un

El granuloma piógeno es una lesión benigna mucocutánea relativamente común. El término granuloma piógeno es un término equivocado en que, contrariamente a lo que su

El pseudotumor inflamatorio (IPT) es una condición idiopática rara que puede ocurrir en casi todos los sitios del cuerpo, aunque más comúnmente implica el pulmón,

La neuralgia del trigémino es una entidad dolorosa que afecta al V nervio craneal (trigémino) y se caracteriza por la presencia de episodios de dolor

La expansión rápida de la sutura media palatina (ERP) fue introducido por primera vez en la década de 1860 por Angell para el tratamiento de

La radiografía lateral cefalométrica se utiliza en ortodoncia para evaluar la morfología craneofacial, permitiendo distinguir entre las maloclusiones dentoalveolares y discrepancias esqueléticas. La mayoría de

Las fracturas radiculares verticales (VRFs) representan aproximadamente el 2-5% de todas las fracturas dentales y están presentes en el 10-20% de los dientes extraídos que

El linfoma es una neoplasia maligna de linfocitos (células de defensas). Las dos clases principales reconocidos de linfoma son la enfermedad de Hodgkin (LH) y

El examen radiográfico siempre precede a la exodoncia simple o quirúrgica de un tercer molar inferior. La imagen radiográfica contribuye al diagnóstico, plan de tratamiento

La calcificación metastásica (CM) es una condición patológica caracterizada por la deposición de minerales en los tejidos blandos, causada por una hiperfosfatemia con o sin

La radiografía lateral cefalométrica es una de la que se utiliza con mayor frecuencia para planificar y evaluar el tratamiento de ortodoncia. Además de ello

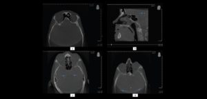
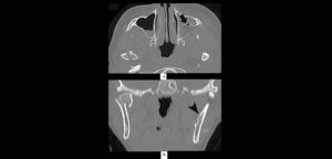
La anquilosis temporomandibular es una enfermedad que afecta a la ATM. Suele causar limitación de la apertura bucal y deformidad facial, especialmente en pacientes jóvenes.

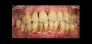
La evaluación correcta de la condición del hueso periodontal es esencial para el diagnóstico, planificación, tratamiento y el pronóstico de la enfermedad periodontal, en conjunto

El conducto dentario inferior o canal mandibular se extiende desde el foramen mandibular por debajo de la espina de Spix al foramen mentoniano y dentro

La osteoporosis es una enfermedad metabólica muy común, caracterizada por la reducción progresiva de la densidad mineral ósea (DMO) y cambios en la microarquitectura del
© Copyright 2025