La anquilosis temporomandibular es una enfermedad que afecta a la ATM. Suele causar limitación de la apertura bucal y deformidad facial, especialmente en pacientes jóvenes. La causa más común de la anquilosis de la ATM es un trauma que el paciente haya sufrido, éstos representan el 75 – 98% de todos los casos.
Existen dos tipos de anquilosis de la ATM traumática. En un tipo, el cóndilo residual se encuentra en el lado medial de la fusión de la articulación ósea y está presente en el lado lateral. Alternativamente, en el otro tipo de anquilosis de la ATM, la fusión ósea es completa y el cóndilo residual no es observado. Estos dos tipos pueden ser tratados con artroplastia, artroplastia de interposición y la reconstrucción de la ATM con materiales autógenos o aloplásticos. Sin embargo, estas técnicas, utilizadas para liberar la anquilosis, han demostrado resultados variables y a menudo insatisfactorios.
En el 2011, Yang et al, propusieron una clasificación más de anquilosis de la ATM en función del tamaño del cóndilo residual visto en tomografía computarizada (CT ). Así tenemos dos tipos de anquilosis de ATM con cóndilo residual:
-TIPO A2: Anquilosis con la fusión ósea en el lado lateral de la articulación, donde el fragmento condilar residual es más grande que la mitad de la cabeza del cóndilo en el lado medial (fig.1).
-TIPO A3: Es similar a A2 pero el fragmento condilar residual es menor que la mitad de la cabeza condilar (fig. 1).
El estado del disco en la ATM, es algo que poco se ha estudiado al momento de que se produce una anquilosis temporomandibular, la alteración puede ser con desplazamiento del disco con o sin reducción. Sin embargo, no existe ningún estudio con respecto al estado del disco en varios tipos de anquilosis de la ATM traumático.
El disco articular solo es posible estudiarlo mediante Resonancia magnética (RM), así podremos localizarla y evaluarla en estática y dinámica mandibular, para poder ofrecer un mejor tratamiento (fg.3 y 4).
Fig 1. Clasificación de la anquilosis traumática de ATM según Yang. a) Tipo A2, b) Tipo A3.
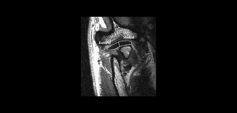
Fig. 2. Evaluación del disc articular mediante resonancia magnética (RM). El disco se divide en dos mitades: partes lateral y medial.
Fig.3 La forma de disco lateral en la anquilosis Tipo A2. (A) Hemiconvexo, (b) biplanar, (c) bicóncava, (d) biconvexa, (e) amorfo. Las flechas indican el disco
Fig. 4. La forma de disco lateral en la anquilosis de ATM Tipo. (A) Biplanar, (b) hemiconvexo, (c) biconvexa, (d) amorfo. Las flechas indican el disco.
REFERENCIA:
J S Zheng, Z X Jiao, S Y Zhang, C Yang, A Abdelrehem, M J Chen, D M He and M J Dong. Correlation between the disc status in MRI and the different types of traumatic temporomandibular joint ankylosis. Dentomaxillofacial Radiology (2015) 44, 20140201.
Elaborado por : C.D. Luis Alberto Cueva Principe, Mg. Esp. C.D. Andrés Agurto Huerta






