La expansión rápida de la sutura media palatina (ERP) fue introducido por primera vez en la década de 1860 por Angell para el tratamiento de la constricción maxilar, más tarde se convirtió en el tratamiento de ortodoncia convencional. La ERP se utiliza en la práctica de ortodoncia para mejorar la mordida cruzada posterior para facilitar la corrección de las maloclusiones clase II y clase III de Angle.
El objetivo general de la ERP es ampliar el maxilar superior mediante la separación de la sutura media palatina. Las radiografías convencionales intraorales y la tomografía computarizada (CT) son utilizadas comúnmente para evaluar la zona de expansión del paladar, pero la radiografía o la CT Implica radiación. Especialmente la CT implica la exposición repetida a la radiación ionizante de alta dosis durante todo el período de expansión activa, por ende el uso de CT está limitado por lo repetitivo que implicaría su uso, por la presencia de artefactos del metal y el elevado costo. Sumer et al. Sugieren que la ecografía o ultrasonografía (USG) (fig. 1) podría ser un método útil y preciso para evaluar la sutura media palatina en pacientes sometidos a ERP asistida quirúrgicamente. En la literatura ortopédica, la USG ha demostrado que es exacta y fiable para la evaluación de pacientes tratados con distracción osteogénica en la mandíbula.
En las imágenes de la USG, las estructuras anatómicas normales se pueden evaluar al inicio del tratamiento (fig. 2), antes de la expansión, y luego durante el tratamiento, definiendo de esta manera etapas en el proceso de expansión de la sutura palatal.
En las etapas de la ERP (T0, T1 y T2), el área de expansión se caracteriza por una imagen hiperecoica (similar a imágenes radiopacas en las radiografías) no homogéneas, zonas bien delimitadas.
Pre-expansión etapa (T0)
En la USG se observan las estructuras anatómicas normales (fig. 3 y 5). Las superficies del hueso cortical son fácilmente identificadas. Sin embargo, la evaluación de la sutura palatina media es casi imposible, debido a la presencia de hueso cortical intacto y grueso, en la superficie que refleja rayos de ultrasonido, lo que hace imposible que el equipo pueda hacer lectura a ese nivel. La sutura palatina media aparecen en las radiografías oclusales como una línea radiolúcida delgada en la línea media entre las dos partes de la pre-maxilar.
Estadio (T1)
Estadio en el cual se evidencia una expansión de la sutura media palatina. Los márgenes son claramente identificados. El área de expansión se caracteriza por una imagen hiperecoica no homogénea y zonas bien delimitadas (fig. 5). Las imágenes de una radiografía oclusal superior muestra un área radiolúcida más grande, paralela a la mitad de la sutura palatal o forma triangular, con su base hacia la región anterior de la cara.
Estadio (T2)
Se evidencia un aumento en la cantidad de expansión. Se puede hacer mejor las mediciones de la expansión (fig. 3 y 5).
Gumussoy I, et al. Realizaron un estudio experimental para evaluar la eficacia de la ecografía en la evaluación de la sutura media palatina y concluyeron que la ecografía es un método útil y eficaz para evaluar pacientes sometidos a expansión rápida de la sutura media palatina.
Figura 1. Ecografía (Ultrasonografía) a un paciente sometido a expansión rápida de la sutura media palatina.
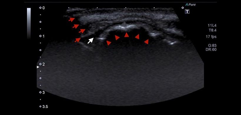
Figura 2. Imágenes de una ecografía del maxilar superior, se muestran las estructuras anatómicas normales en un paciente con pre-expansión de la sutura media palatina. Flechas superiores muestran al músculo orbicular de los labios, la flecha blanca muestra el área del vestíbulo, las flechas inferiores muestran el hueso cortical y las fronteras del maxilar superior.
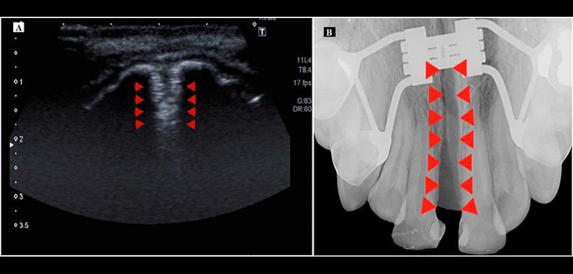
Figura 3. (A) Ecografía del maxilar superior antes de la expansión, casi no se observa la sutura palatina (puntas de las flechas). (B) Radiografía oclusal del maxilar superior, antes de la expansión de la sutura palatina (puntas de las flechas).
Figura 4. (A) Ecografía del maxilar superior durante la expansión, se observa la sutura palatina (puntas de las flechas). (B) Radiografía oclusal del maxilar superior, durante la expansión de la sutura palatina (puntas de las flechas).
Figura 5. ETAPAS DE LA ERP, medición de la expansión de la sutura palatina en la ecografía. (A) (T0) sin expansión. (B) Expansión en estadio (T1), las puntas de las flechas muestran expansión de sutura de 2,8 mm. (C) Expansión en estadio (T2), las puntas de las flechas muestran expansión de 5,8-mm.
REFERENCIA:
Gumussoy I, Miloglu O, Bayrakdar I S, Dagistan S, Caglayan F. Ultrasonography in the evaluation of the mid-palatal suture in rapid palatal expansión. Dentomaxillofacial Radiology (2014) 43, 20140167.
Elaborado por : C.D. Luis Alberto Cueva Principe, Mg. Esp. C.D. Andrés Agurto Huerta







