La calcificación metastásica (CM) es una condición patológica caracterizada por la deposición de minerales en los tejidos blandos, causada por una hiperfosfatemia con o sin hipercalcemia concurrente. La CM puede verse en pacientes con insuficiencia renal crónica (CRF), hiperparatiroidismo, sarcoidosis, neoplasia maligna de tejido óseo, hipervitaminosis D, mieloma múltiple, y otras entidades. La deposición de minerales se han reportado en varios tejidos, como los pulmones, bajo la piel, los vasos sanguíneos, los riñones, el sistema nervioso central, glándulas mamarias, entre otros, sin embargo el depósito en los tejidos blandos de la cavidad bucal es extremadamente rara.
La etiopatogenia de la CM es compleja y no se entiende claramente. En general, se acordó que la hiperfosfatemia con o sin hipercalcemia, junto con alteración en el pH local juega un papel importante en la patogénesis.
La Insuficiencia renal crónica (IRC) se asocia comúnmente con el calcio y el desequilibrio de fósforo junto con hiperparatiroidismo. Como la función tubular renal disminuye progresivamente, la capacidad de reabsorber calcio y fósforo se ve afectada de manera significativa que conduce a la hiperfosfatemia. El fosfato sérico elevado estimula la síntesis y liberación de la hormona paratiroidea que a su vez estimula la actividad osteoclástica. En base a sus propiedades cristalográficas, los depósitos en CM se han dividido en dos grupos.
-Tipo I; tiene un patrón de difracción de rayos X de hidroxiapatita idéntica a la encontrada en el hueso.
-Tipo II; tiene un patrón de difracción de un compuesto amorfo con propiedades termoquímicas de whitlockita.
Si la calcificación metastásica no es tratada puede llegar a producirse una calcifilaxis, una forma potencialmente mortal de la calcificación extraesquelética, caracterizada por calcificación de las arteriolas que conducen a la isquemia y necrosis subcutánea.
Las proyecciones de imágenes basadas en rayos x son de importancia para encontrar estas calcificaciones, basta con una radiografía panorámica más una exposición adicional como una radiografía oclusal para encontrar las calcificaciones (fig.1 y 2). La tomografía computarizada cone beam (CBCT) y la ecografía también tienen una sensibilidad alta al momento de encontrar calcificaciones en el tejido blando, e inmediatamente se busca una relación clínica directa para llegar al diagnóstico. Todos los casos de calcificación de los tejidos blandos deben ser sometidos a investigaciones para descartar desequilibrio de calcio-fósforo, insuficiencia renal e hiperparatiroidismo, como la insuficiencia renal es generalmente el punto de partida.
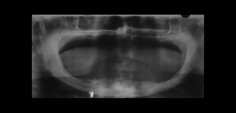
Fig. 1. Radiografía panorámica que muestra calcificaciones granulares en la región mandibular zona de premolares del lado derecho. Radiografía que pertenece a una paciente femenino de 65 años de edad con diagnóstico de insuficiencia renal crónico
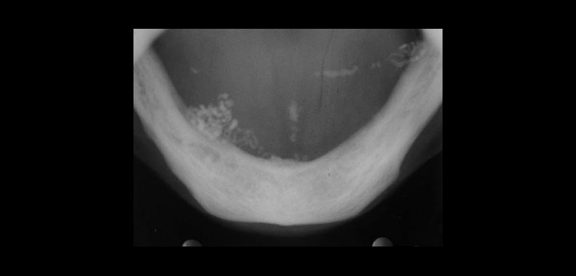
Fig. 2. Radiografía oclusal inferior de la misma paciente, que muestran las calcificaciones
en el piso de boca.
REFERENCIA:
Verma DK, Thelekkat Y, Bansal S. Metastatic calcification of floor of the mouth secondary to chronic renal failure—report of a rare case with atypical presentation. Dentomaxillofacial Radiology (2015) 44, 20140023.
Elaborado por : C.D. Luis Alberto Cueva Principe, Mg. Esp. C.D. Andrés Agurto Huerta




