017 – Granuloma Piógeno Gingival: Nuevos Enfoques de Tratamiento

Indice del articulo

El granuloma piógeno es una lesión benigna mucocutánea relativamente común. El término granuloma piógeno es un término equivocado en que, contrariamente a lo que su nombre indica, la lesión no contiene pus. La incidencia de esta lesión representa entre el 26,8% a 32% de todas las lesiones reactivas. Se ha reportado en todos los grupos de edad, con una incidencia máxima en la tercera década de vida. Las mujeres son más susceptibles, en especial las gestantes. El granuloma piógeno asociada al embarazo se produce  entre el 0,5% a 5%; por lo general la lesión tiende a regresionar o desaparecer por completo después del parto, y en otros casos permanecer o tener algún grado de recurrencia.

En cuanto a  su etiología, ésta es una lesión reactiva, se relaciona con lesiones leves, irritación gingival resultante de cálculo, placa, bordes sobresalientes, o que exista una  restauración áspera pueden representar los factores predisponentes en el desarrollo de granuloma piógeno gingival. La lesión  generalmente se desarrolla rápidamente, causando la impresión clínica errónea de un tumor maligno. El granuloma piógeno asociada al embarazo puede tener como causa primaria  la predisposición a  factores sistémicos (cambios hormonales).

El granuloma piógeno puede aparecer en cualquier parte de la cavidad bucal: encía, labios, lengua, mucosa bucal, y el paladar, siendo el gingival el de mayor frecuencia. La lesión suele aparecer como un bulto elevado localizado con una base sésil o  pediculado. La superficie puede ser lisa o lobulada, y cuando se exponen a la irritación traumática se vuelve ulcerada. El color puede variar del rosa al rojo o púrpura. La lesión es muy vascularizada, con una tendencia a la hemorragia en respuesta a una lesión. Las características clínicas de granuloma piógeno son indicativos pero no específico. Por tanto, un diagnóstico definitivo sólo puede hacerse por examen histopatológico de la biopsia.

El tratamiento de elección de un granuloma piógeno es la extirpación quirúrgica de la lesión desde el periostio subyacente. Los posibles resultados negativos, como para cualquier otro tipo de cirugía periodontal incluyen la estética periodontal, la sensibilidad dental, inflamación postoperatoria, infección y recu rrencia.

Actualmente aparecieron nuevos enfoques de tratamiento, dado que el granuloma piógeno gingival es en realidad una lesión inflamatoria que es altamente vascularizada, un tratamiento basado en  protocolos de control de placa y medicación podría tener un efecto beneficioso en la desaparición de esta lesión. En primer lugar se usa el  protocolo de control estricto de placa (hasta llegar a un valor menor al 15%) cada dos semanas. Luego se pasa a la siguiente fase mediante el uso de  fármacos  antiinflamatorios y antibacterianas como a clorhexidina 0.05% puede ser destinado a eliminar los irritantes y bajar la infección durante las siguientes semanas, La combinación de ambos protocolos llegan a ser un tratamiento eficaz que evita la necesidad de procedimientos quirúrgicos secundarios, junto con sus posibles consecuencias (fig 1 y 2).

El granuloma piógeno es una lesión relativamente frecuente y su tratamiento tradicional por mucho tiempo fue la extirpación quirúrgica. En la actualidad y como lo demuestran las investigaciones, existen nuevos enfoques de tratamiento sin la necesidad de realizar un procedimiento quirúrgico, éste consiste en la aplicación de un adecuado control de factores predisponentes como el control estricto de placa bacteriana más el uso de medicación antiinflamatoria y antibacteriana con clorhexidina al 0.05%. Sería muy necesario que introdujéramos nuevos protocolos de tratamientos en lesiones reactivas como el granuloma piógeno.

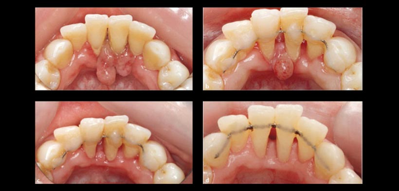
Fig. 1. Fases de tratamiento no quirúrgico de un paciente con granuloma piógeno gingival. (A) presentación inicial de la lesión (lesión en forma de coliflor exofítica en la encía lingual entre los incisivos centrales inferiores. (B) se realiza un control de placa estricto, que consiste en la eliminación de cálculo dental, se realiza instrucción de higiene bucal al paciente y un mes más tarde  la lesión exofítica se reduce en tamaño. Las raíces de los dientes afectados están más expuestas a la recesión de la encía circundante, que también es menos eritematosa y edematosa. (C) se introduce la terapia medicamentosa mediante el uso de clorhexidina al 0.05 % y dos meses más tarde  hay contracción sustancial de la lesión, y un eritema mínimo. (D) se sigue realizando un control estricto de placa y cuatro meses después del tratamiento  la encía parece saludable.

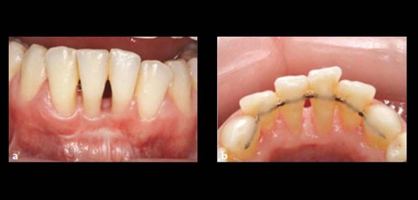
Fig. 2. Fotografías que pertenecen al paciente anterior. (A) vista vestibular (B) vista lingual. 2 años post tratamiento, muestra una encía saludable.

REFERENCIA:

Frumkin N, Nashef R, Shapira L, Wilensky A. Nonsurgical treatment of recurrent gingival pyogenic granuloma: A case report. Quintessence International. 2015; 46(6): 539-544

Elaborado por : C.D. Luis Alberto Cueva Principe, Mg. Esp. C.D. Andrés Agurto Huerta

Picture of C.D. Luis Alberto Cueva
C.D. Luis Alberto Cueva
Cirujano Dentista titulado de la Universidad Particular de San Martín de Porras. Miembro del Staff del Instituto de Diagnóstico Maxilofacial (IDM). Miembro del Colegio Odontológico del Perú. Cirujano Dentista en el Ministerio de Salud (MINSA). Autor del Artículo Científico en Colonización Microbiana de la cavidad bucal en Neonatos nacidos en el Instituto Nacional materno Perinatal, así como los factores que la condicionan. Rev. Peru. Investig. Matern. Perinatal. 2014; 3 (1): 8-12. Idioma Portugués cursado en el Centro Cultural Brasil - Perú CCBP.

Casos relacionados

Deja una respuesta

Tu dirección de correo electrónico no será publicada. Los campos obligatorios están marcados con *