El conducto dentario inferior o canal mandibular se extiende desde el foramen mandibular por debajo de la espina de Spix al foramen mentoniano y dentro de su estructura contiene al van dentario inferior comprendido por el nervio, arteria y vena.
Esta estructura al igual que muchas en el cuerpo humano puede sufrir muchas variantes; así su ubicación anatómica y su configuración han sido estudiadas por diversos investigadores. Una de las más importantes fue dada por Carter y Keen, quienes clasifican el curso del canal mandibular en tres tipos sobre la base de su estudio anatómico:
-TIPO I, el van dentario inferior es una sola gran estructura situada en un solo canal óseo.
-TIPO II, el van dentario transcurre en un solo canal pero ésta se encuentra sustancialmente más abajo cerca a la cortical basal de la mandíbula.
-TIPO III, el van o dentario inferior se separa posteriormente en dos grandes ramas. El Tipo III corresponde al canal mandibular bífido, y existe una subclasificación para esta variante dada por Nortjé et al. (fig1)
| Clasificación del canal mandibular bífido según Nortjé et al. | |
| Tipo I | Existen dos canales que nacen de un mismo foramen mandibular (fig.1) |
| Tipo II | Existe un canal superior suplementario que nace del mismo foramen mandibular y se extiende a la región de molares (fig 2) |
| Tipo III | Existen dos canales que nacen de dos formanes mandibulares se extienden la región de molares donde se unen. |
| TIpo IV | Existe un canal superior suplementario que nace en la región retromolar. |
La importancia del conocimiento del canal mandibular bífido radica sobre todo en los procedimientos quirúrgicos que implican la zona posterior de la mandíbula. Existen muchas maneras de estudiar esta variante anatómica, los estudios radiológicos convencionales, en especial la radiografía panorámica, también se han usado para la evaluación de la incidencia del canal mandibular bífido. En estos estudios, la incidencia tiene una variación amplia, desde el 0,08% al 8,3%. Recientemente, con la introducción de los exámenes tridimensionales, en especial con la tomografía computarizada de haz cónico (CTCB) la incidencia ha aumentado hasta llegar incluso al 15 %. Estos métodos proporcionan una alta resolución tridimensional de las imágenes la cual permite una evaluación detallada de los canales mandibulares. Existen pocos estudios sistemáticos que han evaluado el canal mandibular bífido.
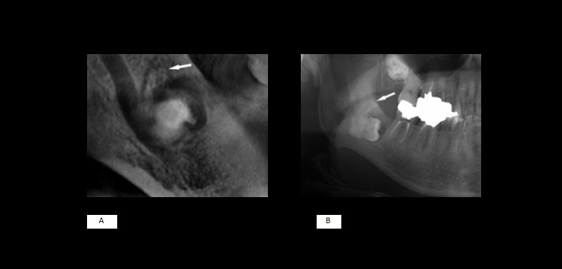
Fig1. (A y B) imágenes de la CTCB. Mandíbula izquierda (varón, 54 años). Las imágenes de la tomografía revelan claramente un canal estrecho superior procedente del foramen mandibular (Tipo I, flechas)
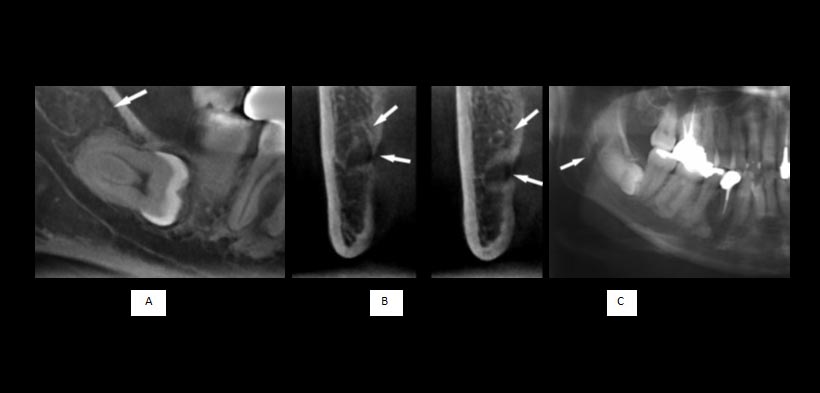
Fig 2. (A y B) imágenes de CBCT de la mandíbula derecha (varón, 52 años). (C) imagen de la radiografía panorámica. Las imágenes de la tomografía (A y B) revelan claramente un corto canal mandibular bífido que se extiende a la tercera molar inferior (Tipo II, flechas), que no se ve en (c) (flecha)
Fig 3. (A) imagen de la de la mandíbula derecha. (B) Imagen panorámica. La imagen de la tomografía (A) revela claramente un canal accesorio que surgió en la región retromolar y se unió al canal principal en la zona de la tercera molar (Tipo IV, flecha). El canal accesorio no se ve en (B) (flecha)
REFERENCIA: Kuribayashi A, Watanabe H, Imaizumi A, Tantanapornkul W, Katakami K, Kurabayashi T. Bifid mandibular canals: cone beam computed tomography evaluation. Dentomaxillofacial Radiology (2010) 39, 235–239.
Elaborado por : C.D. Luis Alberto Cueva Principe, Mg. Esp. C.D. Andrés Agurto Huerta





