El pseudotumor inflamatorio (IPT) es una condición idiopática rara que puede ocurrir en casi todos los sitios del cuerpo, aunque más comúnmente implica el pulmón, el hígado y la órbita (tercer tumor orbital primario más común). El IPT puede representar un reto diagnóstico debido a que sus características clínicas y radiológicas se asemejan a la de una lesión tumoral. Hasta donde sabemos, se han reportado pocos casos de IPT originario de los nervios craneales, pero ninguno con afectación bilateral.
La etiología sigue siendo desconocida, el IPT puede surgir después de algunos eventos desencadenantes tales como: traumas, infecciones o abuso de drogas que llevan a una respuesta común patológicamente dominado por células inflamatorias (como los linfocitos y células plasmáticas), histiocitos y células fusiformes, y una mezcla de fibroblastos y miofibroblastos. La detección del virus de Epstein-Barr (VEB), antígenos en la tinción inmunohistoquímica valida la hipótesis de una reacción post-infec ciosa autoinmune.
El IPT no es una condición estática, sino que cambia dinámicamente con el tiempo, suponiendo dos aspectos principales que se asocian con diferentes pronósticos. La forma aguda consiste en una infiltración de leucocitos polimorfonucleares que conduce progresivamente a los linfocitos y la infiltración de células fibrótico en la fase crónica. En esta última fase IPT suele ser resistente a esteroides y el paciente tiene que someterse a radiación o tratamiento quirúrgico.
El diagnóstico diferencial de otras patologías puede ser un problema debido a la ausencia de características radiológicas y clínicas distintivas del IPT y debido a su comportamiento clínico heterogéneo. Si no se tiene un adecuado entrenamiento se puede conducir al diagnóstico errado de tumores malignos tales como carcinomas o linfomas, especialmente si la erosión ósea y de infiltración signos o síntomas están presentes. Una serie de condiciones clínicas inflamatorias y autoinmunes tales como sarcoidosis, granulomatosis de Wegener y síndrome de Sjögren tiene que ser considerado en el diagnóstico diferencial, especialmente en IPTs bilaterales.
Hasta donde sabemos, existe solo un caso reportado de IPT perineural bilateral de la primera y segunda ramas del nervio trigémino. Los exámenes mediante imágenes son una herramienta fundamental al momento de evaluar, para ello es eficaz la utilización de la resonancia magnética o la tomografía computarizada.
El pseudotumor inflamatorio (IPT) es una entidad poco frecuente, a menudo se caracteriza por la agresividad local con efectos de compresión y desplazamiento de las estructuras circundantes, puede aparecer en diferentes regiones del cuerpo, rara vez se involucra a estructuras perineurales unilateralmente y aún más raro es la presentación bilateral. Por todo lo expuesto anteriormente es recomendable tener en cuenta esta entidad patológica para realizar un adecuado diagnóstico diferencial. Se evidencia también muy poca literatura de esta patología, por lo que se hace necesario realizar mayores estudios de epidemiologia y criterios precisos para su diagnóstico.
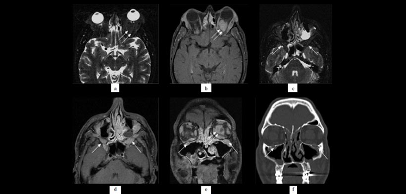
Figura 1. Pseudotumor inflamatoria Bilateral en un paciente masculino de 42 años que presentaba hinchazón periorbital indolora bilateral y proptosis, principalmente en el lado izquierdo: La Resonancia magnética (RM) (a, b) muestra masas bilaterales que ocupan el espacio en ambas órbitas encajonan al nervios ópticos (a, flechas) y que implican fosa pterigopalatino bilateral especialmente en el lado izquierdo (b, flechas). Imágenes de resonancia magnética después de la administración de gadolinio demuestran aumento del contraste leve de las mismas masas (C, D, flechas). No hay extensión a lo largo de los nervios infraorbitario a la fosa pterigopalatino bilateralmente (d, e). El remodelado óseo en el canal infraorbitario se muestra tanto en la RM y también en las imágenes de la tomografía computarizada (E, F, flechas).
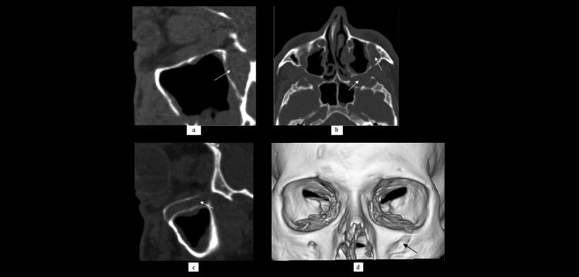
Figura 2. El remodelado óseo: TC sagital muestran efectos de la remodelación ósea en la fosa pterigopalatina (a, flecha) y el canal infraorbitario (c, flecha) de la parte izquierda. Las mismas estructuras se muestran en el plano axial (B, flechas). Reconstrucción computarizada tridimensional muestra la ampliación del foramen infraorbitario del lado izquierdo (d, flecha).
REFERENCIA:
Romano A, Espagnet MCR, Galassi S, Monti S, Caprioli S, Pulcini F. Bilateral inflammatory pseudotumour of the trigeminal nerve: a diagnostic challenge. Dentomaxillofacial Radiology. 2012; 41: 432–435.
Elaborado por : C.D. Luis Alberto Cueva Principe, Mg. Esp. C.D. Andrés Agurto Huerta




