
127 – Cirugía guiada en implantología
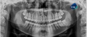
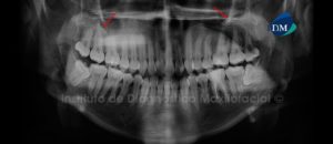
Paciente masculino, 54 años es referido al Instituto de Diagnóstico Maxilofacial para planificación de cirugía guiada con el objetivo de colocar implantes dentales en el

Paciente masculino, 54 años es referido al Instituto de Diagnóstico Maxilofacial para planificación de cirugía guiada con el objetivo de colocar implantes dentales en el

Paciente de sexo femenino de 32 años de edad acude al Instituto de Diagnóstico Maxilofacial para evaluación general de ambos maxilares. A la evaluación panorámica

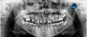
Paciente masculino de 16 años de edad es referido al Instituto de Diagnóstico Maxilofacial (IDM) para su evaluación y diagnóstico. A la evaluación de la

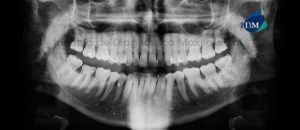
Paciente masculino, 71 años de edad, es referido al Instituto de Diagnóstico Maxilofacial – IDM para evaluación de pieza dentaria 13 por presentar dolor y

Paciente de sexo femenino de 28 años de edad, acude al Instituto de Diagnóstico Maxilofacial (IDM) dado que anteriormente se le había realizado una extracción

Paciente femenino de 38 años de edad, procedente de República Dominicana, es referida para su evaluación y diagnóstico. A la evaluación de la radiografía Panorámica

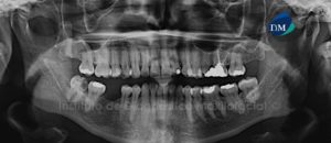
Paciente masculino, 49 años de edad, es referido al Instituto de Diagnóstico Maxilofacial – IDM (Sede Miraflores) para evaluación tomográfica por presentar molestia a nivel

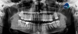
Paciente de 51 años de edad acude al Instituto de Diagnóstico Maxilofacial (IDM) para su evaluación general. A la evaluación de la radiografía panorámica se aprecia

Paciente de sexo femenino, 54 años de edad, es referido al Instituto de Diagnóstico Maxilofacial (IDM) para evaluación tomográfica con motivo de colocación de implantes

Paciente masculino, 24 años de edad, es referido al Instituto de Diagnóstico Maxilofacial (IDM) para exámenes radiográficos con motivo de control de tratamiento de ortodoncia.En

Paciente masculino de 22 años de edad es referido al Instituto de Diagnóstico Maxilofacial (IDM) para su evaluación y diagnóstico. A la evaluación de la

Paciente masculino d 10 años de edad, acude al Instituto de Diagnostico maxilofacial por evaluación general. A la evaluación de la radiografía panorámica (Figura 1),

Paciente femenino, 42 años de edad, es referido al Instituto de Diagnóstico Maxilofacial – IDM (Sede Miraflores) para evaluación tomográfica para evaluar posibles lesiones en

Paciente femenino de 46 años de edad que es referida para la evaluación previa a la colocación de implantes dentales. En la radiografía panorámica se

Paciente femenino de 57 años de edad, es referido al Instituto de Diagnóstico Maxilofacial (IDM) por evaluación para la planificación de implantes dentales en zona

Paciente de 68 años de edad acude al Instituto de Diagnostico Maxilofacial para evaluación de general. A la evaluación de la radiografía panorámica, se aprecia

Paciente femenino, 51 años de edad, es referido al Instituto de Diagnóstico Maxilofacial (IDM) para evaluación tomográfica de las piezas anterosuperiores por traumatismo. En la

Paciente femenina de 20 años de edad que es referida al Instituto de Diagnóstico Maxilofacial, por manifestar dolor a nivel de la pieza 26. En

Paciente femenino, 21 años de edad, es referido al Instituto de Diagnóstico Maxilofacial (IDM) por presentar un aumento de volumen a nivel del paladar duro.

Paciente masculino, 58 años de edad, es referido al Instituto de Diagnóstico Maxilofacial (IDM) para evaluación del sector posterior izquierdo del maxilar superior por presencia
© Copyright 2025